Formation

Endodontie

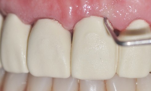
Article réservé à nos abonnés Le choix d’une reconstitution corono-radiculaire

Présentation du cas clinique Une patiente de 18 ans, sans antécédents médicaux, se présente en consultation pour des douleurs à...
Chirurgie orale

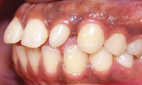
Article réservé à nos abonnés Langue framboisée chez l’enfant

La pandémie à SARS-CoV-2 (Covid-19) s’est accompagnée d’une augmentation de l’incidence des cas de syndrome de Kawasaki, relançant le débat...
Hygiène et Asepsie

Article réservé à nos abonnés Covid-19, gouttelettes, bio-aérosols, bouche et nez

Dans l’état actuel des connaissances, la contamination par le SARS-CoV-2 (Severe Acute Respiratory Syndrome CoronaVirus-2) passe essentiellement par les muqueuses...
Prothèse

Article réservé à nos abonnés Désinfection des empreintes : le point en 2020

Les empreintes dentaires sont recouvertes de salive, de matières organiques et parfois de sang. 67 % des éléments transmis au laboratoire...
Prothèse

Article réservé à nos abonnés Évaluation de la qualité des châssis métalliques de prothèse partielle au laboratoire

La prothèse amovible partielle (PAP) est une thérapeutique performante et fiable pour réhabiliter les édentements partiels et restaurer les fonctions...
Prothèse

Article réservé à nos abonnés Réhabilitation prothétique d’un maxillaire atrophique

Cet article est une illustration de la pluridisciplinarité intervenant dans des situations complexes de réhabilitation prothétique avec atrophie du maxillaire....
Prothèse

Article réservé à nos abonnés Apport du numérique à la prothèse amovible partielle à infrastructure métallique

La prothèse amovible partielle à infrastructure métallique (PAPIM) est une thérapeutique toujours d’actualité dans la réhabilitation des édentements partiels. Elle...
Prothèse

Article réservé à nos abonnés La chirurgie préprothétique chez l’édenté total : chirurgie des tissus durs

La chirurgie préprothétique des tissus mous concerne surtout les patients édentés appareillés avec des prothèses complètes inadaptées. En revanche, l’indication...
Prothèse

Article réservé à nos abonnés La chirurgie préprothétique chez l’édenté total : chirurgie des tissus mous

La population de patients totalement édentés est parfois traitée par des prothèses amovibles complètes inadaptées qui sont responsables d’atteintes au...
Prothèse

Article réservé à nos abonnés Remontée de marge ou élongation coronaire avant restauration partielle collée ?

La réalisation de restaurations prothétiques partielles collées s’est imposée depuis plusieurs années dans la reconstruction des dents postérieures (molaires et...
Hygiène et Asepsie

Article réservé à nos abonnés Utilisation des instruments ultrasonores : réduire les risques de l’aérocontamination

Par son action dans un milieu septique, le détartrage ultrasonique s’accompagne de gouttelettes très chargées en microbes, à la différence...
CFAO, Occlusodontologie

Article réservé à nos abonnés Nouveaux formats pédagogiques en occlusodontologie grâce à l’outil Modjaw®

Avec les récents progrès technologiques, les méthodes pédagogiques tendent à évoluer pour répondre aux demandes des étudiants et de la...
Prothèse

Article réservé à nos abonnés Le numérique en prothèse odontologique

Le numérique, qui permet la dématérialisation et la reproduction à coûts plus réduits, permet également, au prix certes d’étapes et/ou...
Esthétique

Article réservé à nos abonnés La pluridisciplinarité au cœur de la gestion thérapeutique des réhabilitations esthétiques

Écouter, observer et… savoir dire non La première étape consiste, avant toutes choses, à écouter le patient afin de pouvoir...
Endodontie

Article réservé à nos abonnés Traiter, retraiter endodontiquement, pour implanter

Indications des traitements et retraitements endodontiques Les principales pathologies endodontiques ont une étiologie bactérienne : le plus souvent, le point de...
Pathologie

Article réservé à nos abonnés Du microbiote oral symbiotique au microbiote parodontal dysbiotique

Le microbiote oral se forme pendant les premières années de la vie sous l’influence de nombreux facteurs, génétiques mais aussi...