Formation

Endodontie

Article réservé à nos abonnés Traiter, retraiter endodontiquement, pour implanter

Indications des traitements et retraitements endodontiques Les principales pathologies endodontiques ont une étiologie bactérienne : le plus souvent, le point de...
Pathologie

Article réservé à nos abonnés Du microbiote oral symbiotique au microbiote parodontal dysbiotique

Le microbiote oral se forme pendant les premières années de la vie sous l’influence de nombreux facteurs, génétiques mais aussi...
Parodontologie

Article réservé à nos abonnés Prise en charge des défauts parodontaux dans le cadre des traitements orthodontiques : avant, pendant ou après le traitement ?

Les critères diagnostiques Un certain nombre de critères doivent être pris en considération afin d’évaluer le secteur incisif mandibulaire et...
Odontologie pédiatrique

Article réservé à nos abonnés Perte des incisives temporaires maxillaires : faut-il les remplacer ?

La littérature relative à la prise en charge de la perte précoce de dents temporaires est généralement abordée en considérant...
Prothèse

Article réservé à nos abonnés Covid-19 : Biologie, transmission, exposition, protection et précautions en prothèse dentaire

Les premières épidémies sont d’apparition récen-tes dans l’histoire de l’humanité. Du temps des chasseurs-cueilleurs, les Hommes vivaient en petits groupes...
Odontologie pédiatrique

Article réservé à nos abonnés Gestion atypique d’une agénésie de prémolaires

Présentation du patient En 2013, un jeune patient de 16 ans est adressé au cabinet par le spécialiste qualifié en...
Prothèse

Article réservé à nos abonnés Une prothèse d’usage identique à sa prothèse provisoire grâce aux empreintes optiques

Principe Une empreinte numérique est une succession de photos faites par un scanner intra-oral. Un logiciel, fourni avec la caméra,...
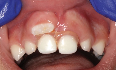
Esthétique

Article réservé à nos abonnés Érosion/infiltration Les clefs de la réussite par une bonne validation de l’accès à la lésion

La procédure d’érosion/infiltration est une thérapeutique connue et abondamment décrite dans la littérature [2, 3]. Il s’agissait au départ de...
Santé publique

Article réservé à nos abonnés Covid-19, gouttelettes, bio-aérosols, bouche et nez

Dans l’état actuel des connaissances, la contamination par le SARS-CoV-2 (Severe Acute Respiratory Syndrome CoronaVirus-2) passe essentiellement par les muqueuses...
Parodontologie

Article réservé à nos abonnés La prise en charge de la gingivite liée à la plaque

La gingivite liée à la plaque est une inflammation non spécifique résultant de l’interaction entre le biofilm bactérien et les défenses...
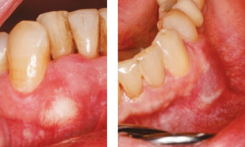
Dermatologie buccale

Article réservé à nos abonnés Que cache cette gencive ?

CAS 1 Motif de la consultation. Patient de 72 ans venu consulter sur les conseils de son hygiéniste dentaire [la prise...

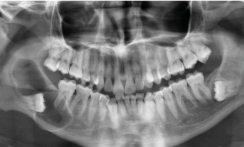
Article réservé à nos abonnés Prise en charge d’un kyste dentigère par décompression

Présentation du cas Un patient âgé de 37 ans, en bonne santé (ASA 1), se présente en consultation. Il est...
ODF

Article réservé à nos abonnés Un challenge pluri-disciplinaire : à propos d’un cas ortho-paro-occlusodontique

Présentation du cas (fig. 1 à 9) Madame J, âgée de 49 ans, nous est adressée par son occlusodontiste pour...
ODF

Article réservé à nos abonnés Décompensation d’une classe II.1 par mini-plaques vissées

Examen clinique (fig. 1 à 7) La patiente âgée de 16 ans et 2 mois, sans antécédent médical ni chirurgical,...
ODF

Article réservé à nos abonnés Apport du Digital Smile Design dans l’analyse esthétique interdisciplinaire

L’esthétique est devenue un objectif prioritaire du traitement d’orthodontie. C’est le motif de consultation principal de nos patients dont les...
ODF

Article réservé à nos abonnés Déplacements dentaires à l’aide de gouttières orthodontiques thermoformées “in office”

Présentation du cas clinique (fig. 1 à 3) Le patient, âgé de 58 ans, présente un encombrement dentaire mandibulaire de 5 mm dans...