Formation

ODF, Prothèse

Article réservé à nos abonnés Traitement orthodontique et prothétique d’une agénésie des incisives latérales supérieures chez un adolescent

L’agénésie des incisives latérales représente environ 20 % des agénésies [1], et est souvent bilatérale. L’absence des incisives latérales maxillaires peut...
Prothèse

Article réservé à nos abonnés Amélogenèse imparfaite et maladie rare : réhabilitation par prothèses amovibles

L’amélogenèse imparfaite (AI) est un groupe de maladies héréditaires hétérogènes sur le plan génétique et phénotypique qui affecte la qualité...
Prothèse

Article réservé à nos abonnés Esthétique du sourire et estime de soi

Dans de nombreuses cultures et à travers les âges, les dents symbolisaient la santé, la jeunesse, la beauté, la dignité,...
Prothèse

Article réservé à nos abonnés Traitement des usures dentaires grâce aux méthodes directes et indirectes en CFAO

La dentisterie adhésive a connu sa révolution [1] : nos soins ont un coût biologique quasi nul par rapport à...
Prothèse

Article réservé à nos abonnés La prothèse complète unimaxillaire : gestion occlusale et projet prothétique

L’ensemble des praticiens confirment que la réhabilitation prothétique d’un édentement complet maxillaire opposé à une arcade inférieure totalement ou partiellement...
Prothèse

Article réservé à nos abonnés Innovations technologiques des restaurations esthétiques fixes

La prothèse fixée est une prothèse unitaire ou plurale destinée, selon les cas, à renforcer et rétablir la morphologie des...
Dermatologie buccale

Article réservé à nos abonnés Maladies héréditaires et lésions blanches

Cas 1 Motif de la consultation. Patiente de 22 ans venue pour un examen dans le cadre d’une suspicion de...
CFAO

Article réservé à nos abonnés Empreinte optique et détection des caries

Thomas Sastre Pratique libérale (Pommiers, Rhône) Co-fondateur de Dentilis Digital Academy Fondateur et membre de Sens!, groupe d’experts en dentisterie...

Article réservé à nos abonnés Congrès ADF – Grand Angle

Coordinateur : Michel Bartala Avec : Louise Jacob, Amélie Riffault, Marie Guillet, Frédéric Jacob, Caroline Mocquot, Clément Dssouli, Guy Ravalec, Marie-Joséphine Crenn,...
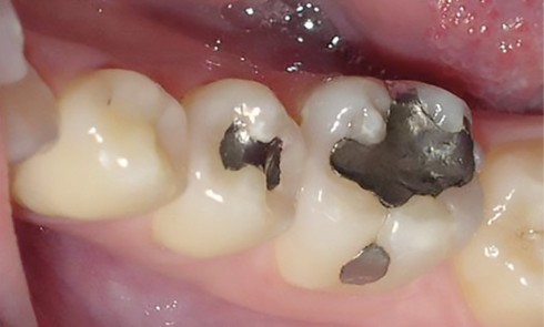
Odontologie restauratrice

Article réservé à nos abonnés Utilisation de différents matériaux composites pour la reconstruction, l’usinage et le collage

Cas clinique La patiente consulte pour des douleurs en secteur 1. À l’examen clinique, elle présente deux reprises de carie sous...
Odontologie restauratrice

Article réservé à nos abonnés Collage d’urgence : gestion d’un trauma chez l’enfant

Objectifs thérapeutiques Éric (8 ans) se présente en urgence une heure après une chute dans la cour de l’école. L’examen...
Odontologie restauratrice

Article réservé à nos abonnés Le guide de reconstruction au service de la restauration directe

Cas clinique Un patient, âgé de 22 ans, se présente en urgence car sa molaire mandibulaire droite (46) vient de...
Chirurgie orale

Article réservé à nos abonnés Syndrome d’apnées obstructives du sommeil et chirurgie

Tous les patients souffrant de SAOS ne peuvent bénéficier d’une solution chirurgicale ; une sélection rigoureuse est nécessaire afin d’obtenir un...
Dermatologie buccale

Article réservé à nos abonnés Des papules sur la muqueuse jugale

CAS 1 Motif de la consultation Patiente de 32 ans venue consulter pour la découverte fortuite de « taches » jaunes dans...
Médecine

Article réservé à nos abonnés QCM – Une hyperplasie fibreuse du vestibule inférieur

  Un homme âgé de 72 ans, suivi pour une hypertension artérielle équilibrée, est adressé pour avis. Il présente une...
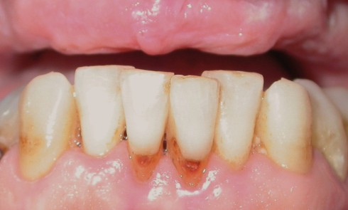
Parodontologie

Article réservé à nos abonnés Rendre le sourire à nos patients grâce à la chirurgie plastique parodontale

Un patient de 31 ans se présente dans l’Unité Fonctionnelle de Parodontologie de la Timone (APHM) pour des hyperesthésies radiculaires...