Formation

Prothèse amovible

Article réservé à nos abonnés Couronnes en zircone et prothèses amovibles à infrastructure métallique

Les prothèses amovibles à infrastructure métallique (PAPIM) nécessitent des préparations des dents support pour recevoir les éléments constitutifs du châssis...
Esthétique

Article réservé à nos abonnés Le projet esthétique 3D : la voie du futur

La photographie permet, depuis quelques années, de développer la planification d’un projet esthétique en deux dimensions (voir l’article précédent). L’analyse...
Endodontie

Article réservé à nos abonnés Coiffage pulpaire direct, pulpotomie, pulpectomie : où en sommes-nous en 2020 ?

Les stratégies thérapeutiques contemporaines fondées sur la préservation tissulaire ont permis une nouvelle émergence des thérapeutiques de préservation de la...
ODF

Article réservé à nos abonnés Traitement d’une classe II division 2 dysfonctionnelle chez l’adulte

2e lauréat du grand prix Orthodontiste – Orthoplus Les cas de classe II division 2 nous posent la question de...
Esthétique

Article réservé à nos abonnés Restauration prothétique fixée dans l’enfance : les couronnes pédiatriques en zircone

Les anomalies de structure des dents temporaires se manifestent par des atteintes très diverses : des anomalies de teinte, de morphologie,...
ODF

Article réservé à nos abonnés Désinclusion d’une deuxième molaire mandibulaire à l’aide d’un Abalakov

3e lauréat du Grand Prix de l’Orthodontiste – Orthoplus Diagnostic Julien nous consulte à l’âge de 11 ans et 4...
Biomatériaux, Odontologie restauratrice, Parodontologie

Article réservé à nos abonnés Ingénierie tissulaire en odontologie

Les biomatériaux de régénération osseuse sont utilisés en chirurgie implantaire (préservation d’alvéole, chirurgie sinusienne, traitement des péri-implantites), en chirurgie préprothétique...
Esthétique

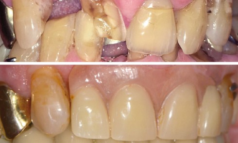
Article réservé à nos abonnés Recouvrement antérieur et abrasions sévères : traitement par prothèse composite

Il est intéressant et enrichissant de pouvoir suivre des patients sur plusieurs années. La confiance et la fidélité réciproques échangées...

Article réservé à nos abonnés Le sens du geste : La préparation de l’alginate

Il faut souvent bien des mots pour expliquer une technique, un tour de main ou un geste clinique. Pourtant, l’observation...
Médecine

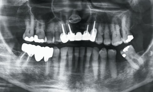
Article réservé à nos abonnés À propos d’une lésion maxillaire

1. La panoramique (fig. 1) montre « une image » maxillaire antérieure. Il s’agit : a. d’une image radioclaire maxillaire b. d’une image radio-opaque...
Pathologie

Article réservé à nos abonnés Les apnées du sommeil : un partage des connaissances au service du patient

Un dispositif amovible, utilisé tout d’abord par les orthodontistes, a été détourné et évalué avec succès dans le traitement des...
Odontologie restauratrice

Article réservé à nos abonnés Fracture traumatique de l’incisive centrale : quelles solutions ?

Les causes des traumatismes dentaires chez l’adulte sont variées, pouvant résulter d’un impact avec un objet en mouvement, d’une chute,...
Esthétique

Article réservé à nos abonnés Le veneerlay : une RECC indispensable dans le traitement des usures/érosions avancées

Le terme veneerlay est une combinaison des termes anglo-saxons veneer et overlay. Difficilement traduisible en français, il caractérise une Restauration...
Santé publique

Article réservé à nos abonnés Le patient en situation de handicap : est-ce si difficile ?

Il est généralement admis que l’état bucco-dentaire des personnes en situation de handicap est moins bon que celui de la...
ODF

Article réservé à nos abonnés Réforme du 3e cycle en science odontologiques

Réflexion de la Conférence des Doyens d’odontologie La Conférence des doyens, en tant qu’association fédérant les seize facultés de chirurgie...
Odontologie restauratrice

Article réservé à nos abonnés Quand l’orthodontie se fait réparatrice

Diagnostic Le niveau d’hygiène est alarmant, car le rituel du brossage des dents n’est pas instauré dans la famille. Des...