Formation

Prothèse

Article réservé à nos abonnés Réhabilitation d’un maxillaire résorbé par quatre implants zygomatiques

Longtemps considérée comme une chirurgie extrême, répondant aux cas de maxillectomie suite à des cancers ou à des personnes accidentées,...
Prothèse

Article réservé à nos abonnés Innovations en prothèse transvissée avec les solutions MultiLevel et AxIN sur l’implant Axiom

L’un des principaux objectifs des praticiens exerçant l’implantologie chirurgicale est le maintien d’une stabilité osseuse péri-implantaire au long terme. Comprendre...
Prothèse

Article réservé à nos abonnés Intérêt de l’impression 3D pour les guides de gingivoplastie dans les cas de réhabilitation esthétique

La fabrication additive ou impression 3D a déjà inondé un grand nombre de secteurs d’activité de l’industrie et touche, depuis...
Prothèse

Article réservé à nos abonnés Gestion d’une complication implantaire d’une réhabilitation par prothèse composite

L’association d’implants à la prothèse amovible partielle (PAP) est de plus en plus fréquente et permet de répondre à de...
Prothèse

Article réservé à nos abonnés Le déprogrammeur occlusal de Kois

La détermination et l’enregistrement du rapport intermaxillaire (RIM) sont des étapes capitales pour le diagnostic occlusal et le bon déroulement...
Prothèse amovible

Article réservé à nos abonnés Prothèse amovible partielle combinée : à propos d’un cas clinique

L’apparition et la démocratisation de l’implantologie ont diminué les indications de PAP composite. Toutefois, dans certaines situations, conserver quelques dents...
Dermatologie buccale

Article réservé à nos abonnés Chéilites exfoliatives chroniques

Les chéilites exfoliatives sont un motif de consultation en raison de leur caractère affichant, plus ou moins douloureux. Ce sont...
Implantologie

Article réservé à nos abonnés Flux digital en implantologie à propos d’un cas sur une incisive centrale

Analyse pré-implantaire Recueil des données Une patiente de 32 ans est reçue en consultation au cabinet. Elle ne présente pas...
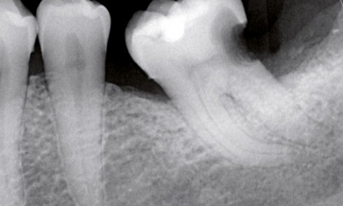
Endodontie

Article réservé à nos abonnés Les biocéramiques : une évolution pour l’obturation canalaire ?

Connus depuis le milieu des années 1990 en endodontie [1-3], les biocéramiques continuent de trouver de nouvelles applications. Alors qu’ils...
Endodontie

Article réservé à nos abonnés Traitement thermique des instruments endodontiques en nickel-titane : quel apport pour les praticiens ?

L’utilisation mécanisée des limes endodontiques en nickel-titane (NiTi), à la place des limes manuelles en acier, a profondément changé la...
Endodontie

Article réservé à nos abonnés Irradiation directe des parois canalaires vs irrigation activée par laser

Le taux de succès du traitement endodontique est estimé autour de 85 % [1-4]. La principale cause d’échec est la persistance...
Endodontie

Article réservé à nos abonnés La cavité d’accès a minima

La perte de substance tissulaire de l’organe dentaire, qu’elle soit d’origine carieuse, traumatique ou consécutive à une thérapeutique de préparation...
Endodontie

Article réservé à nos abonnés Guides et planification endodontique

L’endodontie est une discipline majeure de l’odontologie, souvent redoutée par les praticiens. L’anatomie parfois complexe, l’accès visuel et instrumental et/ou...
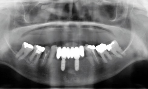
Implantologie

Article réservé à nos abonnés Le traitement des péri-implantites

Coordination scientifique : Philippe Khayat, Benjamin Pomès Dans cette édition spéciale, onze articles et 17 auteurs font le point sur...
Odontologie restauratrice

Article réservé à nos abonnés Matériaux et usures dentaires

La perte de tissus dentaires est fréquemment associée aux lésions carieuses. Or les bactéries ne sont pas toujours impliquées dans...
Odontologie restauratrice

Article réservé à nos abonnés Les usures irrégulières : gérer la réalisation du mock-up

La sévérité des usures, comme leur étiologie (attrition, abrasion, érosion ou, plus fréquemment, une combinaison de ces dernières [1]), est...