Formation

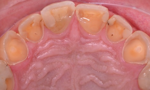
Odontologie restauratrice

Article réservé à nos abonnés Étiologie des lésions d’usure amélaires

L’usure est la détérioration que produit l’usage. Elle est physiologique dans la majorité des cas car elle n’engendre pas de...
Implantologie chirurgicale

Article réservé à nos abonnés Réhabilitation implantaire secteur postérieur mandibulaire et ROG

La question Il s’agit d’évaluer, selon la situation clinique, la pertinence du recours à la technique de la régénération osseuse...
Médecine

Article réservé à nos abonnés Agir devant une réaction allergique au fauteuil

Environ un quart de la population française présente une allergie. L’incidence de la maladie, c’est-à-dire le nombre de nouveaux cas...
Parodontologie

Article réservé à nos abonnés Rôle du chirurgien-dentiste chez les patients obèses éligibles à une chirurgie bariatrique

L’obésité (indice de masse corporelle, IMC > 30 kg/m2) est l’une des maladies chroniques les plus fréquentes dans le monde...
Implantologie

Article réservé à nos abonnés La zircone est-elle une alternative au titane en implantologie orale ?

La structure Le zirconium est un métal de transition du groupe IV et du sous-groupe du titane dans le tableau...
Prothèse amovible

Article réservé à nos abonnés Prothèse amovible complète immédiate et flux numérique

A propos de deux cas cliniques Les prothèses complètes immédiates réalisées avant les extractions et insérées en fin de phase...

Article réservé à nos abonnés ADF 2019 – Spécial – Partie 2

Sommaire >> Bibliograhie >> Parcours >> Réflexion : Transmettre, c’est rester vivant Karen Taieb >> Rencontre :  Gilmé Albuffy , à...
ODF

Article réservé à nos abonnés Intelligence artificielle en odontologie

L’intelligence artificielle (IA) est un domaine en grand développement qui trouve de plus en plus d’applications dans différents systèmes tels...
ODF

Article réservé à nos abonnés Pourquoi le premier bilan orthodontique doit-il se faire à 3 ans ?

L’étiologie des dysmorphoses oro-faciales est le plus souvent héréditaire ou congénitale, mais une très grande partie des troubles de croissance...
Odontologie pédiatrique

Article réservé à nos abonnés Réflexes nauséeux : une approche différente avec l’hypnose

Le travail du chirurgien-dentiste peut être à l’origine, ou tout au moins aggraver ces réactions spontanées, souvent incontrôlables, que sont...
Biomatériaux

Article réservé à nos abonnés Les 4 critères d’une « bonne évaluation »

Dans l’article précédent [1], j’ai tenté de définir ce que l’on peut appeler une « bonne évaluation » au regard de la...
Implantologie

Article réservé à nos abonnés L’importance de la vitamine D en chirurgie osseuse et implantaire

Les chiffres Selon les recommandations actuelles, le taux optimal de vitamine D (fig. 1) doit se situer entre 30 et...
Parodontologie

Article réservé à nos abonnés Jusqu’où peut-on aller en parodontologie ?

Place du traitement parodontal dans la santé orale et générale La santé parodontale est un préalable indispensable à toute réhabilitation...
Odontologie restauratrice

Article réservé à nos abonnés Jusqu’où peut-on conserver dans les cas de fêlures ?

Étiologie des fêlures dentaires Les causes occlusales Une malocclusion, une parafonction, ou encore une mastication unilatérale peuvent susciter des fêlures...
Odontologie restauratrice

Article réservé à nos abonnés Articles références : économie tissulaire et approches mini-invasives selon Edelhoff

Le principe d’économie tissulaire sera cette année encore très présent parmi les thématiques présentées lors des séances de dentisterie restauratrice...
Endodontie

Article réservé à nos abonnés Jusqu’où peut-on aller en endodontie ?

Jusqu’où peut-on conserver la pulpe vitale ? L’European Society of Endodontology (ESE) a débuté une campagne d’information pour promouvoir les traitements de...