Formation

Odontologie restauratrice

Article réservé à nos abonnés Articles références : économie tissulaire et approches mini-invasives selon Edelhoff

Le principe d’économie tissulaire sera cette année encore très présent parmi les thématiques présentées lors des séances de dentisterie restauratrice...
Endodontie

Article réservé à nos abonnés Jusqu’où peut-on aller en endodontie ?

Jusqu’où peut-on conserver la pulpe vitale ? L’European Society of Endodontology (ESE) a débuté une campagne d’information pour promouvoir les traitements de...
Dermatologie buccale

Article réservé à nos abonnés Méfiez-vous des kératoses idiopathiques !

Cas 1 Motif de la consultation. Patiente de 31 ans venue consulter après la découverte, lors de soins d’hygiène bucco-dentaire, d’une...

Article réservé à nos abonnés Spécial id Tendance – ID36-2019

Choisir un luminaire modulaire, nomade ou architectural, durable et économe ; aménager une salle d’attente aux tons de la terre ; découvrir...
Esthétique

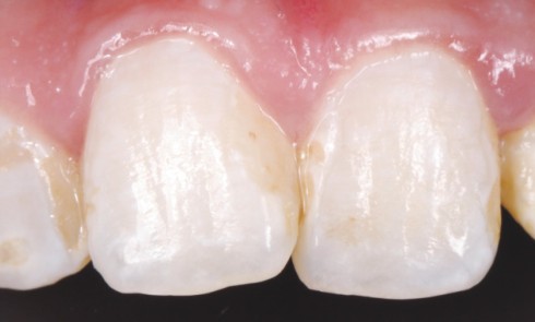
Article réservé à nos abonnés Temps par temps d’un traitement antérieur par érosion/infiltration

1. Rappels sur la technique d’érosion infiltration Le diagnostic initial de la lésion amélaire (fluorose, hypominéralisation molaires incisives (MIH), lésion...
Biomatériaux

Article réservé à nos abonnés Les substituts osseux en odontologie – Partie 2 – Classification

Les greffes osseuses L’inclusion des greffes dans la classification des biomatériaux est liée à leurs capacités de remplacement des tissus...
Biomatériaux

Article réservé à nos abonnés Le mouvement de coupe en fraisage

Après avoir présenté les généralités du fraisage [1], nous avons vu que, pendant l’usinage, l’enlèvement de matière est réalisé par...
Biomatériaux

Article réservé à nos abonnés Physiopathologie des hypersensibilités allergiques et implications en chirurgie bucco-dentaire

Plusieurs mécanismes physiopathologiques peuvent être impliqués dans le développement des hypersensibilités. Philip Gell et Robert Coombs ont classifié les réactions...
Biomatériaux

Article réservé à nos abonnés Approche micro-invasive des préparations pour restaurations esthétiques en céramique

La demande esthétique des patients ne cesse de croître et, bien souvent, des individus jeunes arrivent au cabinet avec une...
Biomatériaux

Article réservé à nos abonnés Les résines composites utilisées en méthode directe… en toute simplicité

Afin d’utiliser de manière optimale les résines composites en méthode directe, le praticien doit être guidé dans ses choix de...
Pathologie

Article réservé à nos abonnés Le bruxisme du sommeil

Le bruxisme du sommeil peut engendrer une pression importante sur les dents et les restaurations, sur le parodonte, et possiblement...
Parodontologie

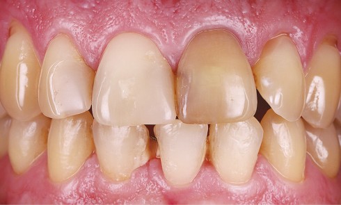
Article réservé à nos abonnés Migration dentaire pathologique : signe pathognomonique d’une lésion parodontale

Définitions La migration dentaire pathologique est un déplacement dentaire provoqué lorsque l’équilibre entre les forces qui maintiennent la position physiologique...
Biomatériaux

Article réservé à nos abonnés Enregistrement du profil transmuqueux en implantologie – Le transfert personnalisé

Réaliser une empreinte pour couronne unitaire sur implant est devenu une étape facile. Il suffit de s’équiper, en plus du...
Biomatériaux

Article réservé à nos abonnés Inlays, onlays, overlays : Quand faut-il recouvrir une paroi résiduelle ?

  Lors de la préparation d’une cavité pour inlay/onlay, il est fréquent d’être confronté, en fin de nettoyage, à la...
Biomatériaux

Article réservé à nos abonnés La photopolymérisation

De simples matériaux de restauration des secteurs antérieurs au début des années 80, les résines composites ont peu à peu...
Biomatériaux

Article réservé à nos abonnés Les couronnes tout céramique – Partie 1 – Couronne monolithique ou stratifiée ?

Il existe aujourd’hui plusieurs matériaux et techniques permettant au praticien de réaliser des couronnes tout céramique. Bien que l’indication des...