Formation

Esthétique

Article réservé à nos abonnés Les composites antérieurs en technique directe

Pourquoi faire des composites antérieurs ? Le choix et l’application correcte de différentes masses de résine composite, par technique de stratification,...
Esthétique

Article réservé à nos abonnés Les sensibilités postopératoires : les comprendre pour les éviter

Pour appréhender ce sujet, il est utile de rappeler les caractéristiques des différents tissus qui composent la dent afin de...
Esthétique

Article réservé à nos abonnés Restauration des conséquences de l’usure par technique adhésive sans préparation

Lorsque l’usure dentaire entraîne des conséquences biologiques et/ou au niveau de la fonction et de l’esthétique, il nous est possible...
Médecine

Article réservé à nos abonnés Les probiotiques ont-ils un intérêt dans la santé bucco-dentaire ?

Trouver un équilibre buccal passe à la fois par l’écologie locale et par la bonne santé du patient. Il y...
Prothèse, Prothèse fixée

Article réservé à nos abonnés Prothèse fixée de grande étendue : démarche diagnostique et thérapeutique

La prothèse fixée regroupe un ensemble de moyens thérapeutiques dont les buts sont de restaurer des dents délabrées, remplacer des...

Article réservé à nos abonnés Le rôle de l’assistant(e) dentaire dans les hypersensibilités dentinaires

Les hypersensibilités dentinaires sont souvent décrites par les patients comme semblables à des douleurs provoquées par une carie. Un diagnostic...
Prothèse

Article réservé à nos abonnés La réfection des bases prothétiques en prothèse partielle

Les traitements prothétiques par des prothèses partielles à châssis métallique sont et demeurent des thérapeutiques d’actualité et ce, malgré l’apport...
Prothèse

Article réservé à nos abonnés Empreinte et scellement d’une couronne unitaire : un protocole simple pour un résultat fiable

Un rapport de la Commission de la sécurité sociale présentant les résultats pour l’année 2015 indique que « 3,6 millions d’actes de...
Prothèse

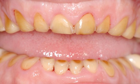
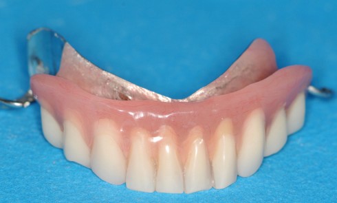
Article réservé à nos abonnés Traitement d’une usure avancée par réhabilitation bimaxillaire fixe globale

Un patient de 68 ans arrive au cabinet ; il présente de nombreux édentements ainsi qu’une usure parafonctionnelle très avancée. Il...
Prothèse

Article réservé à nos abonnés Érosions dentaires : stratégie et étapes de réhabilitation prothétique

L’usure dentaire est de plus en plus fréquente au sein de nos cabinets. Nos patients y sont sujets de par...
Prothèse

Article réservé à nos abonnés Destructions amélo-dentinaires sévères et reconstruction globale céramique sans temporisation

L’origine des pertes de substance dentaire sous l’effet de phénomènes d’usure et d’érosion, donc hors traumatologie et processus carieux, est...
Prothèse

Article réservé à nos abonnés La prise de teinte de demain, visuelle ou instrumentale ?

La détermination et la communication précise de la couleur des dents sont primordiales pour le succès d’une restauration esthétique harmonieuse....
Prothèse

Article réservé à nos abonnés Le transfert du modèle maxillaire sur articulateur en prothèse amovible complète : table ou arc facial ?

En quarante-cinq années d’exercice professionnel dans le domaine de la prothèse amovible complète, nous avons fréquemment été sollicités par les...
Parodontologie

Article réservé à nos abonnés Les Français et la peur de perdre leurs dents : une enquête IFOP/SFPIO

Saignement des gencives, halitose, déchaussement des dents : des signes d’alerte méconnus des Français Plus de 40 % des Français ont déjà eu peur...
Médecine

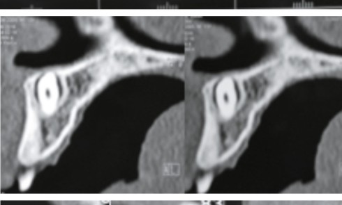
Article réservé à nos abonnés À propos d’une image radio-opaque du maxillaire

1. Quel diagnostic évoquez-vous ? a. Un ostéome b. Un améloblastome c. Un odontome complexe d. Un odontome composé e. Aucune...

Article réservé à nos abonnés Mesiodens anastrophique : quelle prise en charge ?

Les dents surnuméraires sont des anomalies de nombre qui représentent un taux d’incidence variant entre 0,15 % et 3,9 %. Elles peuvent...