Formation

Esthétique

Article réservé à nos abonnés Le maquillage des restaurations directes dans le secteur postérieur

Rappel sur les étapes de stratification La réalisation de la cavité et l’éviction du tissu carieux se font sous champ opératoire...
Dermatologie buccale, Odontologie pédiatrique

Article réservé à nos abonnés Tumeurs de la petite enfance

Cas 1 Motif de la consultation Enfant de 2 ans, adressé pour une tumeur linguale apparue en quelques semaines. Histoire...
Matériels

Article réservé à nos abonnés IDS 2019, de stand en stand…

L’IDS, c’est un bouillonnement permanent, des bousculades pour assister aux démonstrations, de longues minutes d’attente pour accéder aux explications techniques…...
Matériels

Article réservé à nos abonnés IDS 2019 à Cologne, Suivez le guide… et faire une bonne impression…

Côté affluence, exposants comme visiteurs, il semble que l’IDS ait atteint un plateau cette année : il faut dire que quasiment...

Article réservé à nos abonnés Le sens du geste – Toujours prêts, toujours chauds, les miroirs photos !

Il faut souvent bien des mots pour expliquer une technique, un tour de main ou un geste clinique. Pourtant, l’observation...
Matériels

Article réservé à nos abonnés Les risques professionnels de l’assistant(e) dentaire

Cette première partie dresse un état des lieux des risques les plus fréquents et les plus graves auxquels peut être...
Matériels

Article réservé à nos abonnés Le rôle de l’assistant(e) dentaire dans la photographie

Chaque cliché doit répondre à une intention photographique et doit s’intégrer dans un protocole adapté à la situation clinique rencontrée....

Article réservé à nos abonnés Réussir la première consultation en odontologie pédiatrique

La première consultation en odontologie pédiatrique revêt un enjeu majeur, et de sa réussite dépendent en grande partie les relations...

Article réservé à nos abonnés Rôle de l’assistant(e) dans la manipulation des pièces prothétiques implantaires

La phase prothétique du traitement implantaire se situe après avoir obtenu la cicatrisation osseuse et muqueuse. Le respect de l’environnement...

Article réservé à nos abonnés L’activité physique et l’assistant(e) dentaire : amis ou ennemis ?

Le métier d’assistant(e) dentaire est contraignant pour le corps et pour l’esprit. Il demande de rester de nombreuses heures debout...

Article réservé à nos abonnés Le gluten, mode ou réalité ?

Le gluten n’existe pas tel quel dans le blé. Il se forme lors des processus d’hydratation de la farine à...
CFAO

Article réservé à nos abonnés L’apport de la CFAO en prothèse amovible partielle à châssis métallique

Acquisition Depuis près de quarante ans, les avancées technologiques ont permis l’essor de la Conception et Fabrication assistées par ordinateur...
Médecine

Article réservé à nos abonnés Gingivite «&nbspréfractaire&nbsp»&nbsp: conduite à tenir

1. Quel est le diagnostic le plus probable ? a. Gingivite b. Lichen plan buccal (LPB), associé à un lichen plan...
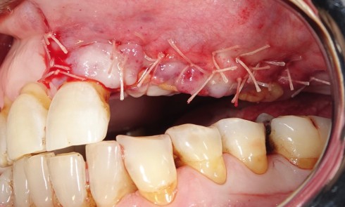
Implantologie, Implantologie chirurgicale

Article réservé à nos abonnés Reconstruction osseuse verticale pré-implantaire

Parmi les atrophies osseuses, le diagnostic de défauts verticaux osseux est assez fréquent lors de consultation en vue de chirurgie...
Prothèse

Article réservé à nos abonnés Recueil des données : une étape clé dans la réussite du traitement par prothèse amovible partielle à châssis métallique

Trois étapes semblent essentielles à respecter pour assurer l’équilibre prothétique : définir la classe d’édentement, sa problématique et réaliser le tracé...
Implantologie

Article réservé à nos abonnés Gestion des tissus parodontaux lors des thérapeutiques orthodontiques

Récessions parodontales Étiologie des récessions La gencive marginale est cliniquement représentée par une ligne festonnée qui suit le contour de...