Les maladies parodontales entraînent des destructions irréversibles des tissus muqueux et osseux, qui peuvent avoir d’importantes répercussions esthétiques et altérer la qualité de vie des patients. Les destructions sévères provoquent la disparition des papilles, donnant l’aspect inésthétique de « trous noirs » entre les dents, difficilement acceptables, et favorisent des migrations secondaires. Si la demande esthétique n’est pas systématiquement le motif de consultation des patients, nombreux sont ceux qui marquent l’envie de retrouver un sourire naturel et de corriger les conséquences inesthétiques qu’entraînent les maladies parodontales. Pour gérer l’esthétique, des traitements pluridisciplinaires, du plus simple au plus complexe, peuvent être envisagés pour ces patients, compliants et motivés, dès lors que la parodontite est stabilisée et maintenue. Chaque thérapeutique, parodontale, orthodontique, restauratrice, répond à des objectifs spécifiques et la décision est guidée par le concept du gradient thérapeutique [1] afin de privilégier systématiquement les thérapeutiques les moins invasives (fig. 1).
Le traitement parodontal
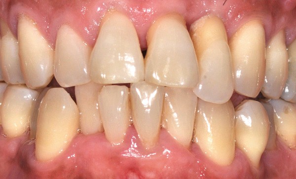
Les maladies parodontales sont des pathologies d’origine plurifactorielle. Elles correspondent à la destruction des tissus de soutien de la dent, provoquée par la succession de processus inflammatoires, survenant chez un hôte susceptible. Les parodontites se caractérisent par une perte d’attache et une alvéolyse plus ou moins profonde, et sont qualifiées de sévères lorsque la perte d’attache est supérieure à 5 mm. Cette atteinte entraîne des lésions irréversibles, tant osseuses que muqueuses avec l’apparition de récessions parodontales et des pertes d’ancrage à l’origine de migrations dentaires secondaires dans 50 % des cas (fig. 2 a et b). Le traitement parodontal permet d’arrêter l’évolution de la maladie…
