Qu’est-ce qu’une parodontite stade II grade A selon la classification de Chicago 2017 ?
Il s’agit d’une parodontite modérée à progression lente [1].
Les outils à notre disposition
Sonde parodontale.
Radiographie rétro-alvéolaire avec angulateur de Rhin.
Notions abordées
- Le stade est basé sur la sévérité et la complexité de prise en charge globale, l’étendue de la maladie (localisée ou généralisée si 30 % ou plus des dents sont atteintes) et sa distribution (incisive, prémolaire et/ou molaire).
- Le grade fournit des informations sur le risque de progression de la maladie, les aspects biologiques, le pronostic du traitement et les effets sur la santé générale.
Utilisation de ces notions
Le stade II est caractérisé par :
- une perte d’attache clinique (CAL)* interdentaire (dans le site le plus atteint et sur au moins 2 dents non adjacentes) de 3 à 4 mm ;
- une perte osseuse radiographique** de 15 à 33 % du support osseux initial et essentiellement horizontale ;
- l’absence de dent perdue pour raison parodontale ;
- une profondeur de sondage ≤ 5 mm ;
- l’absence de lésion inter-radiculaire de classe II ou III ;
- l’absence de besoin de réhabilitation complexe.
Le grade A est défini par :
- l’absence de perte d’attache clinique ou de perte osseuse radiographique sur les 5 dernières années ;
- un ratio pourcentage d’alvéolyse/âge*** < 0,25 ;
- une quantité de plaque bactérienne importante par rapport à la faible destruction parodontale.
Les facteurs de risque impliqués dans la progression de la parodontite comme le tabac et le diabète modifient le grade de la maladie. Concernant le grade A, le patient n’est pas fumeur et n’est pas diabétique.
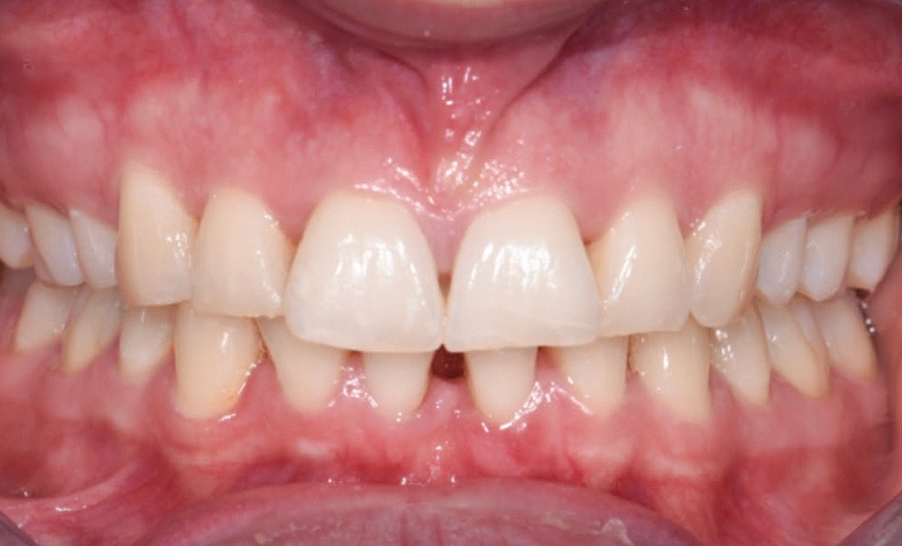
Application clinique
Une patiente, âgée de 25 ans, se présente en consultation pour des douleurs gingivales lors du brossage associées à des saignements et une gêne esthétique…
