Les pathologies de la muqueuse buccale sont des pathologies aiguës ou chroniques qui s’accompagnent, pour certaines d’entre elles, de douleurs pouvant constituer le motif principal de consultation. La douleur ne peut pas être corrélée à la gravité des pathologies de la muqueuse buccale. Par exemple, une lésion cancéreuse est souvent peu douloureuse alors qu’une lésion bénigne, comme un aphte, est très douloureuse. Le traitement de la douleur secondaire aux pathologies de la muqueuse buccale repose davantage sur le traitement de la pathologie ou son étiologie que sur la prise en charge du symptôme. Il en découle, pour le chirurgien-dentiste, la nécessité d’être formé au diagnostic des principales pathologies de la muqueuse buccale et de connaître les principes thérapeutiques qui en découlent.
Dans cet article, nous aborderons les principales lésions élémentaires et pathologies de la muqueuse buccale douloureuses ainsi que la conduite à tenir en odontologie pour maîtriser la douleur aiguë. Nous n’aborderons pas les douleurs muqueuses chroniques telles que les stomatodynies, qui sortent du cadre de cet article.
Principales lésions élémentaires susceptibles de générer une douleur aiguë [1]
L’examen de la muqueuse buccale repose sur l’analyse des lésions élémentaires qui correspondent aux variations morphologiques et de couleur de la muqueuse (fig. 1 à 7).
Les principales lésions élémentaires susceptibles d’être associées à une douleur sont résumées dans le tableau ci-dessus.
|
Principales lésions élémentaires susceptibles d’être associées à une douleur aiguë |
|
|
Lésion élémentaire |
Définition |
|
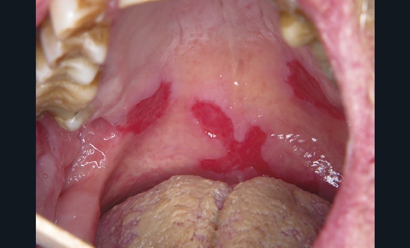
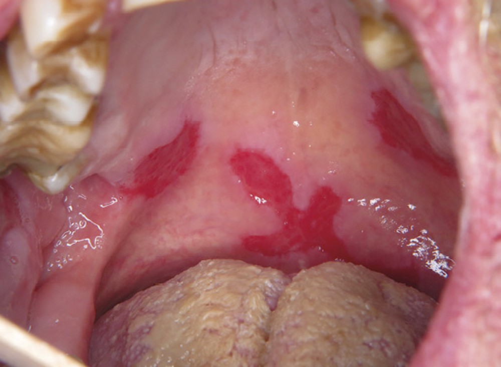
Érythème (fig. 1) |
Rougeur congestive plus ou moins localisée, s’effaçant à la vitropression. Il est le plus souvent le signe d’une réaction inflammatoire |
|
Érosion (fig. 2) |
Perte de… |






