Perte des incisives temporaires maxillaires : faut-il les remplacer ?

  • Par
  • Publié le . Paru dans L'Information Dentaire n°21 - 27 mai 2020
Information dentaire

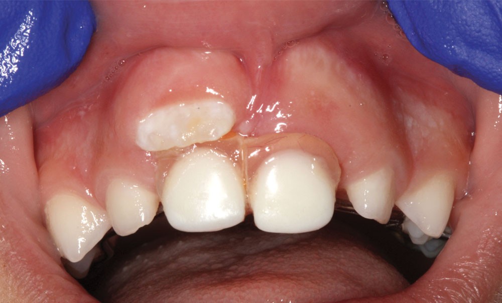
La perte précoce des incisives temporaires (IT) est généralement due à un traumatisme, la carie de la petite enfance ou plus rarement à un syndrome. Elle ne doit pas être perçue comme une fatalité. Non compensée, elle n’est pas sans conséquence : perte d’espace, troubles de la phonation, du développement affectif, difficultés d’alimentation et altération de la qualité de vie [1, 2]. La réhabilitation prothétique à envisager, fixée ou amovible, dépendra de l’âge de l’enfant, des parents et de la coopération de chacun. La formule dentaire, l’état des dents support de prothèse, la présence d’une éventuelle malocclusion à intercepter sont d’autres éléments à considérer [3].

La littérature relative à la prise en charge de la perte précoce de dents temporaires est généralement abordée en considérant le maintien de l’espace, pour optimiser la dentition permanente et l’occlusion [4] ; mais c’est faire abstraction des autres conséquences citées en introduction. Cette approche est probablement l’une des raisons pour lesquelles il n’y a pas de consensus sur les indications et les types d’appareils à préconiser en fonction des différentes situations cliniques, du patient lui-même et des parents. Cet article se propose de faire le point pour optimiser le choix thérapeutique au regard de différents éléments de décision.

Conséquences de la perte précoce non compensée des IT

Perte d’espace

La revue narrative de Holan et Needleman souligne le manque de preuve scientifique associée à la perte d’espace consécutive à l’absence des IT, sachant que la distance intercanine est généralement fixée une fois les canines temporaires en occlusion [1]. Cependant, le déplacement des incisives adjacentes à l’édentement antérieur reste une préoccupation importante [5], car elle peut engendrer la rétention des germes sous-jacents ou leur éruption ectopique [1]. Non seulement la perte des IT mandibulaires est moins fréquente que celle des maxillaires, mais elle n’a également pas les mêmes conséquences : la perte d’espace serait plus importante au maxillaire qu’à la mandibule, et cela d’autant plus s’il y a encombrement, absence de diastème physiologique, ou perte précoce des incisives [1, 4, 6].

Malocclusions

En conséquence d’une perte précoce des IT maxillaires et de la diminution de la distance intercanine consécutive à celle-ci, il peut y avoir une latérodéviation de la mandibule, en recherche de contacts pour trouver un calage, d’où une occlusion inversée postérieure [1, 7]. Quel que soit l’âge en denture temporaire, la perte de plusieurs IT maxillaires favorise l’interposition…

Cet article est réservé aux abonnés.
Pour lire la suite :

Vous êtes abonné.e ? Connectez-vous
Mot de passe
oublié ?

Vous pouvez également :

Acheter l'article En version numérique
Acheter le numéro À l'unité

Thèmes abordés