Traumatisme dentaire et orthodontie
Les complications post-traumatiques à redouter
Elles peuvent intéresser l’organe dentaire et/ou son parodonte.
L’atteinte du complexe dentino-pulpaire peut avoir des expressions diverses et variées : pulpite réversible ou irréversible, oblitération canalaire, résorption interne ou externe, nécrose… Si la dent est immature au moment du choc, la perte de vitalité pulpaire entraîne généralement l’arrêt de l’édification radiculaire, avec, à terme, une susceptibilité accrue pour les fractures.
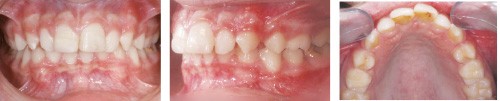
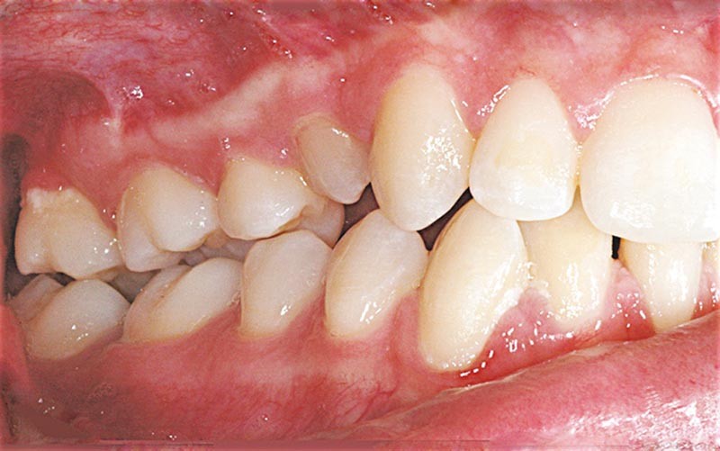
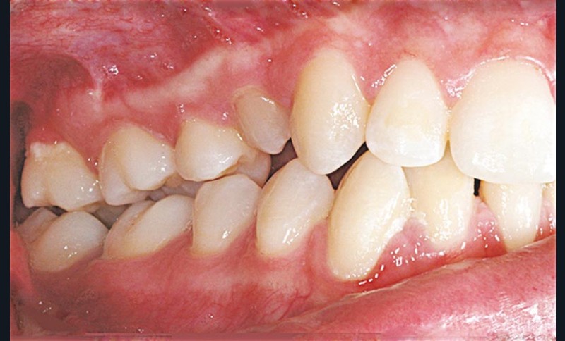
L’atteinte desmodontale, en particulier le risque d’ankylose, constitue un facteur limitant pour l’orthodontie. En effet, le déplacement orthodontique d’une dent dépourvue de desmodonte est tout simplement inconcevable sur le plan histologique ; sans compter les effets parasites engendrés au niveau des dents voisines (fig. 1).
La marche à suivre pour un déplacement sécurisé
Avant d’entreprendre un traitement orthodontique, il faut s’enquérir de la bonne santé pulpaire et parodontale des dents touchées de près ou de loin, et réaliser les soins qui s’imposent. Pour ce faire, il suffit de se référer aux recommandations de l’IADT [1] qui détaillent la prise en charge adaptée pour chaque type de traumatisme en fonction du stade d’édification radiculaire.
L’orthodontie pourra ensuite avoir lieu normalement, sous réserve qu’il n’y ait pas de dents ankylosées ; les examens cliniques (son métallique à la percussion, infraclusion) et radiologiques (absence de ligament alvéolo-dentaire) nous auront permis de poser le bon diagnostic. Des forces légères devront être appliquées, en particulier si des mouvements radiculaires sont envisagés (ingression, torque). En effet, les traumatismes dentaires potentialisent les risques de résorptions radiculaires post-orthodontiques [2, 3].
Il faut bien garder à l’esprit que les complications…

