Place de l’état de santé général dans le plan de traitement odonto-stomatologique

  • Par
  • Publié le . Paru dans L'Information Dentaire n°41 - 24 novembre 2021 (page 38-52)

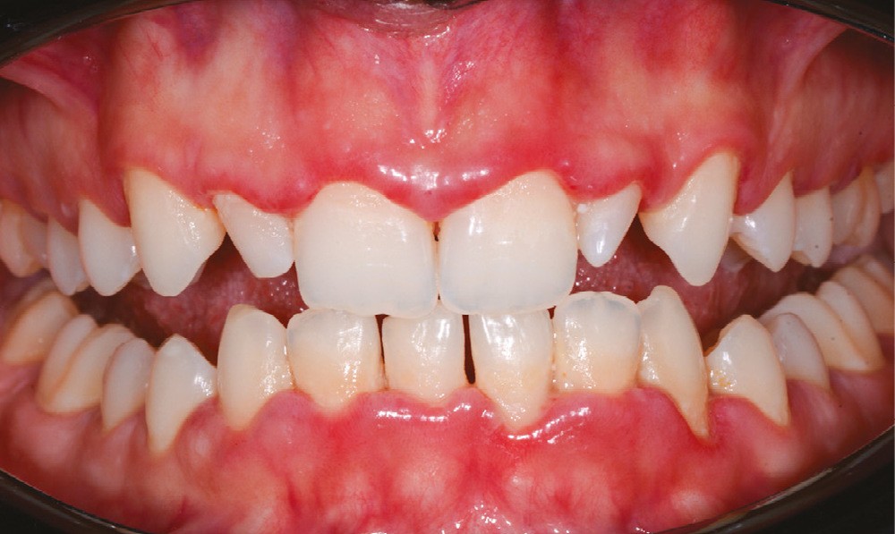
2. Patiente de 19 ans atteinte d’une parodontite de stade 2 grade B en épisode de parodontite nécrosante, suivie pour la maladie de Crohn.

Information dentaire

La première phase de la planification thérapeutique consiste en un recueil exhaustif de données. Avec l’écoute des motifs de consultation du patient, le recueil des données relatives à l’état de santé du patient en est la première étape.

En effet, la recherche consolide chaque jour un peu plus les liens bidirectionnels qui s’établissent entre la santé orale du patient et son état de santé général.

Le questionnaire médical, désormais bien intégré par la majorité des praticiens, ne se limite pas à une obligation médico-légale. S’il est systématique et correctement interprété, il pourra permettre de repérer les facteurs de risque susceptibles de dégrader l’état de santé oral ou d’interférer avec les soins et ainsi devenir un élément décisif de la prise de décision thérapeutique.

Influence de l’état de santé général sur les tissus parodontaux

La parodontite est actuellement définie comme la destruction progressive du système de support de la dent. Cette perte de tissu de soutien se caractérise cliniquement par la perte d’attache clinique et radiologiquement par la perte d’os alvéolaire la présence de poche parodontale et de saignements gingivaux. Le non-traitement de la parodontite peut provoquer la perte des dents atteintes bien que celle-ci puisse être évitable et traitable [1].

Les effets de la maladie sur la santé des patients et leur qualité de vie peuvent se ressentir à différents niveaux.

Les pertes dentaires agissent directement sur la capacité masticatoire des patients, le retentissement esthétique majeur influant alors sur leur santé et leur qualité de vie.

Mais la physiopathologie particulière de la maladie est le chaînon supplémentaire qui influence la santé des patients. En effet, la parodontite est une maladie inflammatoire chronique multifactorielle associée à une dysbiose du biofilm de la plaque dentaire [2].

Nous allons donc envisager les maladies les plus fréquentes que présentent les patients et qui sont en lien avec la parodontite. Les enjeux étant de mieux connaître les patients et de mettre en œuvre une prise en charge individualisée et efficace et donc les plans de traitement.

Tabac et diabète : les deux facteurs de risque indéniables

Les dernières recommandations de prise en charge des maladies parodontales invitent à commencer toute prise en charge parodontale en guidant le patient vers des changements comportementaux, c’est-à-dire : améliorer le contrôle de plaque et contrôler les facteurs de risque [2].

Le tabac [3]

Il n’y a pas plus sévère et mortel comme facteur de risque que le tabac, et ses effets vont bien entendu au-delà de la seule cavité orale. D’autant plus que de nouvelles pratiques apparaissent comme la cigarette électronique et que la…

Cet article est réservé aux abonnés.
Pour lire la suite :

Vous êtes abonné.e ? Connectez-vous
Mot de passe
oublié ?

Vous pouvez également :

Acheter l'article En version numérique
Acheter le numéro À l'unité

Thèmes abordés