Rappels des principes d’un laser
Le mot laser est l’acronyme de light amplification by stimulated emission of radiation qui signifie en français « amplification de la lumière par émission stimulée de radiation ». Il s’agit donc d’un phénomène physique artificiel, qui tend à concentrer une énergie lumineuse en un point sur le tissu cible.
Si l’énergie est suffisante, le laser peut couper le tissu. En odontologie, il existe deux grandes familles de lasers : les lasers absorbés et les lasers pénétrants. Le laser diode, qui sera décrit ici, fait partie de cette dernière famille. Cela signifie qu’au-delà de la fibre, le laser diode a une action de biostimulation sur les tissus sous-jacents. Ces actions, de l’ordre de l’invisible, favorisent la vascularisation et une bonne cicatrisation (fig. 1). Les patients ressentent souvent moins de douleur à l’utilisation du laser qu’à celle du bistouri électrique car il n’y a pas de brûlure lors de la coupe. De même, la douleur est moindre qu’avec une lame froide car cela engendre moins de stress tissulaire. Lors d’une chirurgie effectuée au laser, une diminution de la phase inflammatoire est constatée. Les douleurs postopératoires sont mieux vécues.

Champs d’application cliniques
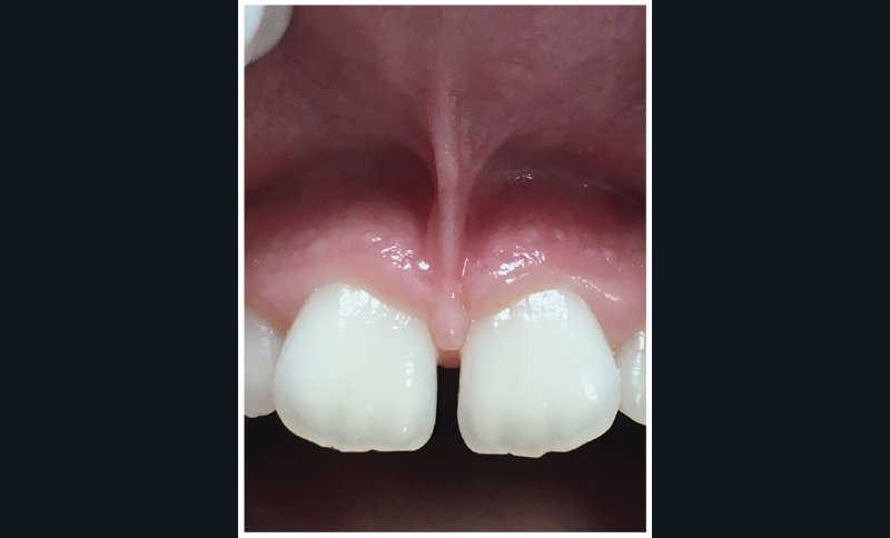
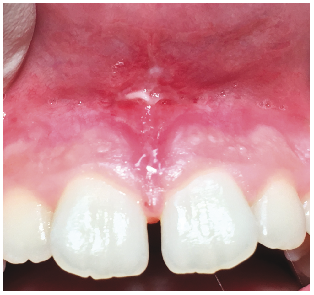
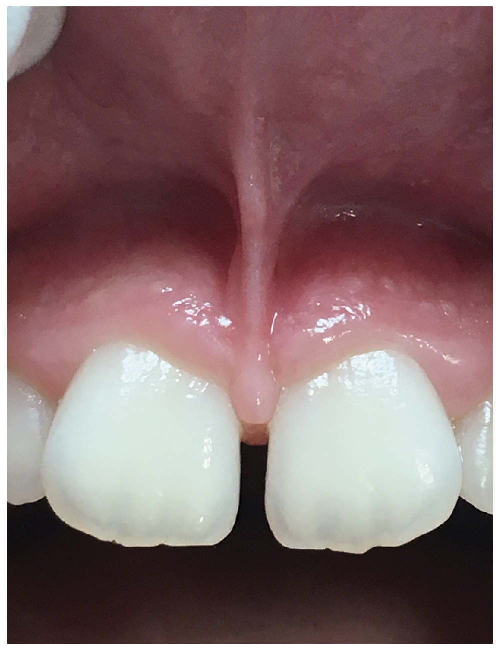
Le laser diode peut être utilisé en microchirurgie pour sectionner les tissus sans effet de carbonisation : il est idéal dans les cas de frénectomie, qui ne nécessiteront donc plus de points de sutures (fig. 2a-c). L’apparition, très tôt, de la fibrine favorise une cicatrisation rapide et sans douleur. Cet effet ablatif sera également appréciable pour la gingivectomie, l’ouverture du sulcus, l’hémostase, l’ablation de mucocèles, de diapneusies, ou encore pour traiter des hémangiomes.
Les lasers pénétrants sont aussi beaucoup…


