Coordination : Kinz Bayet
Situation clinique initiale et synthèse diagnostique
Une patiente, âgée de 30 ans, se présente en consultation pour une demande de réhabilitation esthétique en vue de son mariage à venir. Elle rapporte une consommation quotidienne et importante de sodas. Elle ne présente pas de comorbidités, ni d’intoxication alcoolo-tabagique.
À l’examen exo-buccal, il est observé une ligne de sourire moyenne et la dimension verticale de l’étage inférieur ne semble pas altérée.
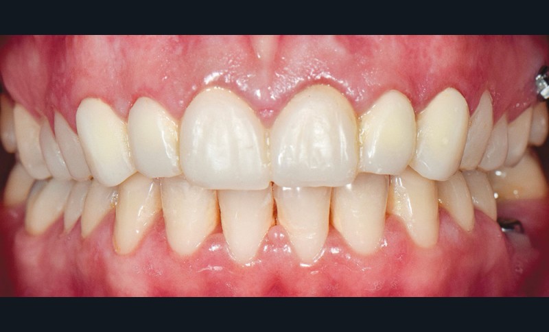
À l’examen endobuccal (fig. 1), une inflammation marginale et papillaire sur un parodonte de biotype fin est visible. Une gingivite généralisée induite par la plaque bactérienne est donc diagnostiquée.`
La ligne du sourire est inversée, malgré une perception atténuée par la présence de deux couronnes à armature zircone sur 11 et 21 réalisées une dizaine d’années auparavant. On note une irrégularité et une asymétrie de forme des festons gingivaux, ainsi qu’une dysharmonie de forme des incisives et canines quant à leur proportion.
L’arcade maxillaire présente des signes d’usure érosive caractéristiques d’attaques acides : surface lisse, de couleur satinée, présence d’un pourtour d’émail sain en regard du sulcus, et effacement des morphologies dentaires telles que la disparition des cuspides palatines des prémolaires et de la 16. En revanche, 26 et 46 ne présentent aucun problème d’usure. La patiente ne rapporte pas de signes d’hyperesthésie dentinaire. Par ailleurs, la dimension verticale d’occlusion (DVO) étant conservée, la patiente présente une usure majeure compensée par l’égression dentaire (ce qui montre une évolutivité lente).
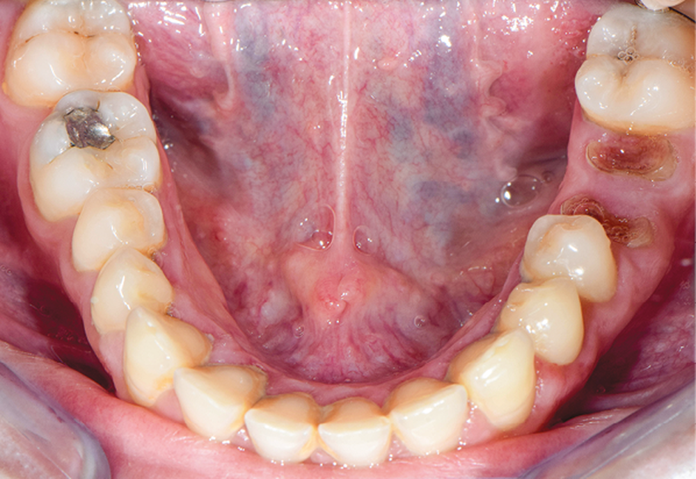
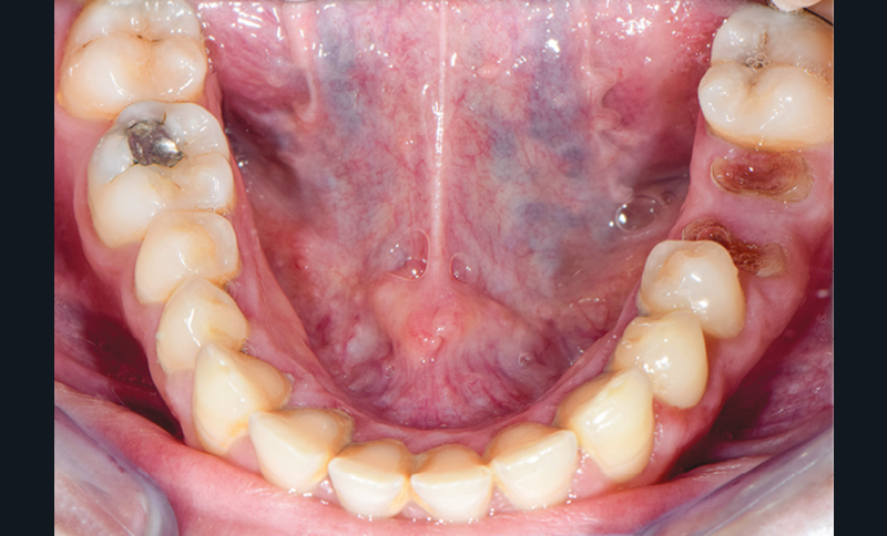
L’arcade mandibulaire présente un pseudo-édentement de classe III de Kennedy (36 à l’état de racines).
L’examen des moulages montre une perturbation de la courbe de Spee gauche avec une égression de 26, et un…


