Les molaires permanentes sont issues d’une prolifération du bord libre de la lame dentaire qui évolue en direction distale (fig. 1). La dernière différenciation à apparaître est celle du bourgeon de la troisième molaire [1].
L’éruption des dents de sagesse a donc lieu tardivement, en fin de croissance. Dans un contexte de dysharmonie dento-maxillaire, le manque de place favorise non seulement les malpositions, versions inclusions, mais conduit également à des morphologies souvent complexes des racines qui s’édifient en fonction des contraintes anatomiques.
Indications d’extraction des dents de sagesse
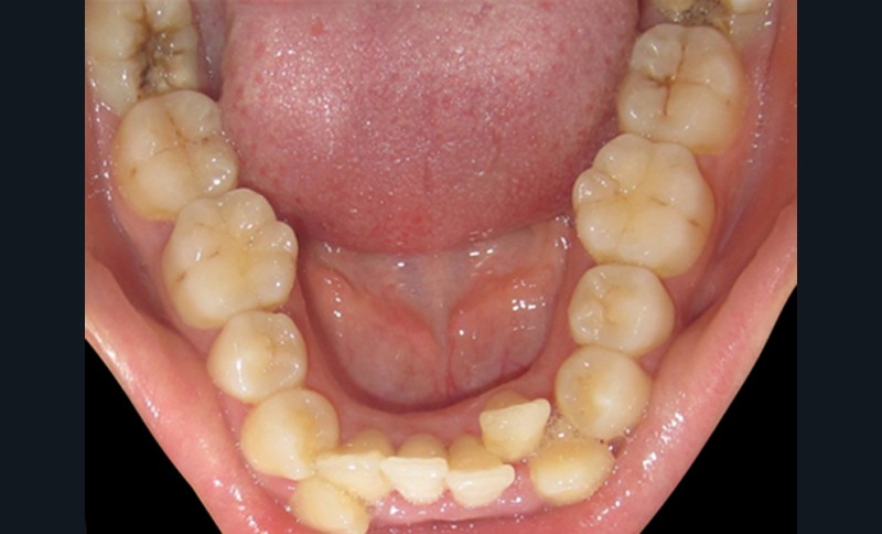
Manque d’espace en distal de la 2e molaire
Il est très important d’évaluer la distance rétromolaire avant l’indication de l’extraction de dents de sagesse incluses pour éviter des extractions abusives et systématiques (manque de bénéfices démontrés et procédures qui ne sont pas sans risques) (fig. 2).
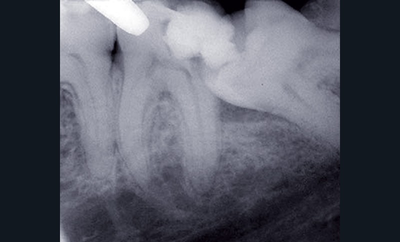
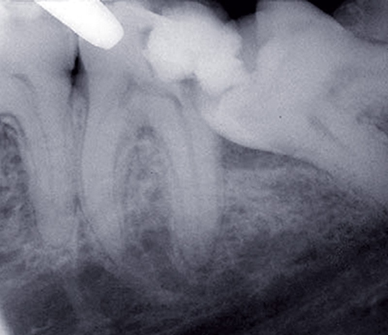
Lésion carieuse de la dent de sagesse et/ou de la deuxième molaire adjacente
Ces lésions sont d’autant plus probables que la dent de sagesse est en situation mésioversée et bloquée par la 2e molaire (fig. 3). L’appui continu de la couronne de la 3e molaire sur la face distale de la 2e peut provoquer des lésions carieuses du collet ou de la couronne, une rhizalyse ou conduire à la mortification.
Accidents infectieux : péricoronarite
La péricoronarite est une infection du sac péricoronaire de la dent de sagesse qui peut évoluer vers la formation d’un abcès. Trois formes peuvent être observées : la péricoronarite congestive, la péricoronarite suppurée (fig. 4) et la forme chronique.
Complications muqueuses
Elles succèdent ou accompagnent une péricoronarite. On décrit des ulcérations de la région du trigone rétromolaire, des gingivostomatites de gravité variable…


