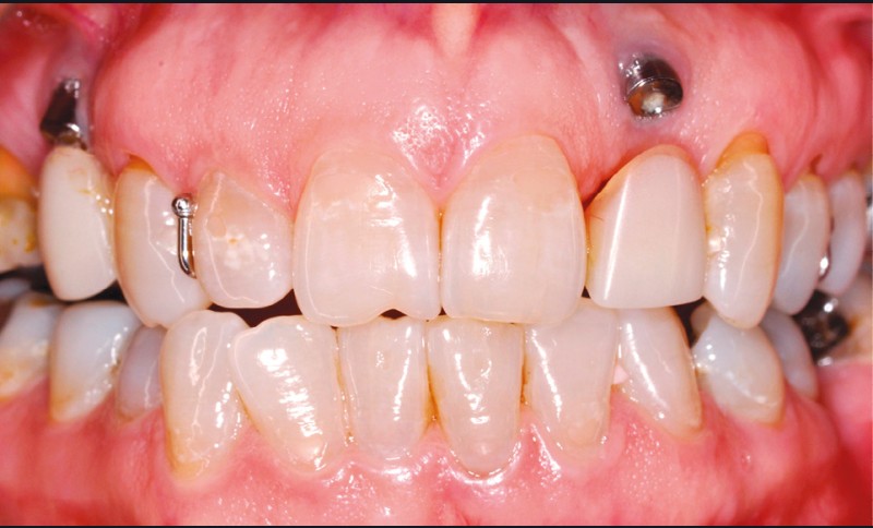
Les patients évaluent de plus en plus la réussite de leur traitement implantaire grâce à des critères esthétiques [1]. Dès 2004, Belser et coll. estimaient que l’esthétique figurait parmi les critères de réussite du traitement implantaire, et mettaient au point un système de notation permettant également de les documenter dans les études cliniques [2]. Furhauser et coll. proposèrent un système d’évaluation prenant particulièrement en compte les tissus mous péri-implantaires (Pink Esthetic Score) qui sont souvent problématiques [3]. En effet, les patients remarquent les moindres différences de profil des tissus mous, même quand il ne s’agit que de quelques millimètres, d’autant plus quand elles donnent lieu à une asymétrie [4]. Les variations de teinte des tissus mous sont aussi considérées comme problématiques par le patient, par exemple lorsqu’un positionnement inadéquat laisse transparaître le titane de l’implant [5] (fig. 1). Grunder et coll. ont décrit clairement en 2005 les critères de l’esthétique des implants antérieurs, notamment en ce qui concerne le profil des tissus mous et le positionnement de l’implant dans les trois plans de l’espace. Ils ont également proposé des recommandations et postulé les distances minimales à respecter entre dent et implant, mais aussi entre deux implants [6].
Depuis longtemps, il est possible de transférer le positionnement planifié d’un implant grâce à des guides préfabriqués, dans le cadre d’une implantation guidée. Aujourd’hui, en revanche, il devient facile de combiner des scans de surface, des wax-up et set-up, avec les données d’imagerie, et ainsi planifier en fonction d’un projet prothétique. Il est aussi possible d’opter pour un set-up entièrement numérique. Nous allons décrire dans les pages qui suivent les différentes options de planification implantaire numérique.
Historique
Par…
