Pourquoi et comment analyser le phénotype parodontal en pratique orthodontique quotidienne ?

  • Par
  • Publié le . Paru dans L'Orthodontiste n°1 - 15 février 2022 (page 30-37)
Information dentaire
Les bénéfices fonctionnels mais également esthétiques des traitements orthodontiques intéressent de plus en plus les adultes [1]. En effet, l’image de soi et l’importance du sourire préoccupent davantage de personnes dans notre société actuelle [2].

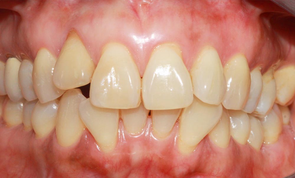
Cependant, à la différence des enfants ou des adolescents, les adultes peuvent présenter un historique dentaire plus complexe, tant au niveau prothétique (édentements, prothèses fixées ou amovibles) que parodontal (récessions, déhiscences, parodontite) ou même orthodontique (récidives, syndrome du fil).

De plus, comme le soulignent Meyer-Marcotty et coll. [3], les patients adultes représentent un défi orthodontique et parodontal, notamment à cause d’une incidence élevée de migrations dentaires pathologiques, de dégradation parodontale ou de besoin en traitement orthodontique. Cependant, les problèmes parodontaux complexifient les mouvements orthodontiques, considérés comme à risque [4].

Par conséquent, ce groupe de patients spécifiques nécessite une attention particulière : l’analyse minutieuse du parodonte apparaît alors comme capitale afin de travailler dans de bonnes conditions et d’anticiper d’éventuelles complications.

L’augmentation du risque de perte d’attache et du support osseux, si le traitement orthodontique est effectué sur un terrain de maladies parodontales induites par la plaque (gingivite ou parodontite), est connue [5]. Mais en dehors de ce contexte pathologique, le risque d’altération de la gencive (perte d’épaisseur et/ou récession) est sous-estimé. Or, plusieurs études font le lien entre le développement et l’aggravation des récessions gingivales et les phénotypes gingivaux et osseux [6,7].

Par conséquent, la systématisation de l’analyse des paramètres parodontaux dans les examens cliniques, et notamment du phénotype parodontal, est indispensable pour établir une démarche diagnostique et thérapeutique fiable, et déterminer s’il est nécessaire d’adresser les patients à des confrères spécialistes.

De fait, il apparaît essentiel de rappeler que l’orthodontie et la parodontologie sont deux disciplines complémentaires, unies autour du parodonte [8]. L’objectif de…

Cet article est réservé aux abonnés.
Pour lire la suite :

Vous êtes abonné.e ? Connectez-vous
Mot de passe
oublié ?

Vous pouvez également :

Acheter le numéro À l'unité

Thèmes abordés