Quelles sont les indications de soin d’une dent temporaire ?
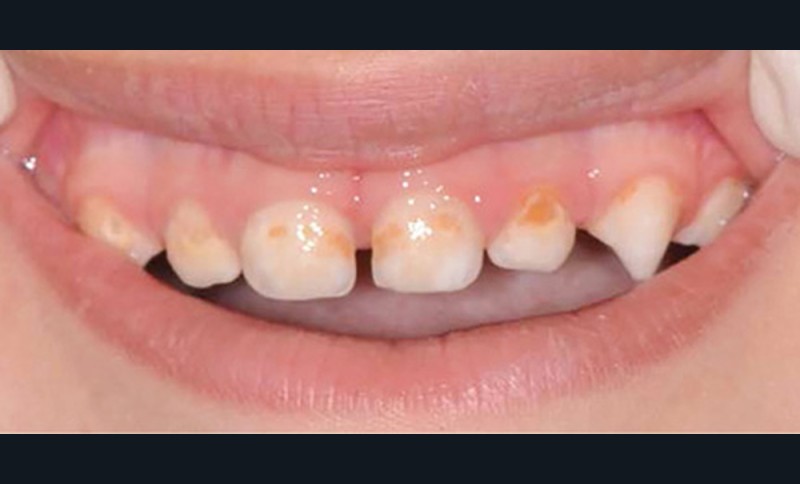
Dès l’atteinte d’une face de l’émail de la couronne dentaire, un traitement doit être proposé. Les traitements généralement conservateurs seront gradués selon la sévérité et l’activité de la lésion carieuse (fig. 1).
Quels sont les risques de l’absence de soin sur les dents temporaires ?
- Le développement de la douleur et de l’infection : laisser évoluer le processus carieux entraîne chez l’enfant, quand la dent est au stade de maturation, de la douleur provoquée puis spontanée, comme chez l’adulte. Ces douleurs perturbent le sommeil et l’alimentation de l’enfant. L’évolution infectieuse évolue parfois à bas bruit en passant par l’étape de l’abcès parulique pouvant aller jusqu’à la cellulite.
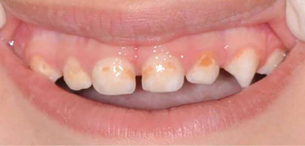
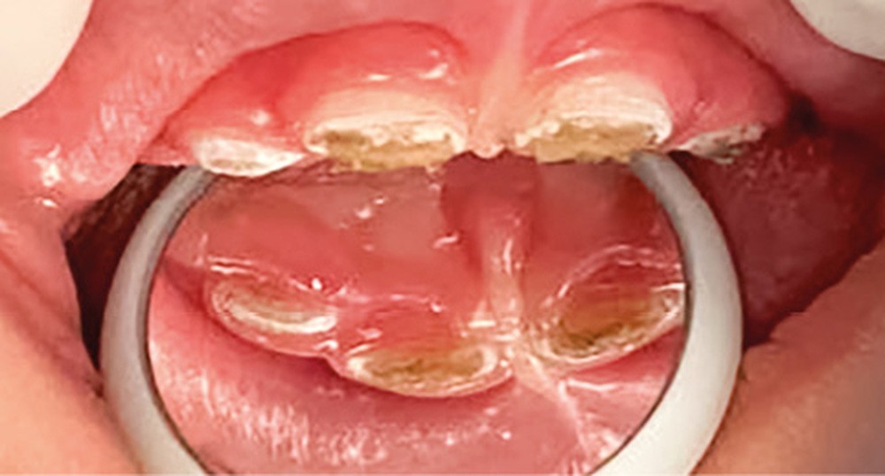
- L’évolution de la maladie carieuse : cette pathologie bactérienne, multifactorielle, se transmet très vite d’une dent à une autre dans la cavité orale de l’enfant. Ainsi, avant l’âge de 6 ans, la carie précoce de l’enfant (CPE) peut atteindre un stade sévère et ne plus permettre à l’enfant de mastiquer sans douleur (fig. 2).
- La perte de chance pour le développement : la CPE non traitée va entraîner l’avulsion précoce de certaines dents, induisant des troubles alimentaires pouvant se répercuter sur le développement général de l’enfant (croissance et développement cognitif), voire de sa vie sociale (absences scolaires répétées, pas de sourire). La CPE a un impact négatif sur la qualité de vie de l’enfant.
- L’interaction avec des pathologies générales : la circulation de bactéries pathogènes d’origine pulpaire en grande quantité et l’inflammation qu’elle génère peut déclencher ou accentuer certaines maladies comme augmenter le risque d’endocardite infectieuse, déstabiliser un diabète ou une épilepsie par exemple.
- Le retard à la…


