Dans le secteur antérieur maxillaire, il est fondamental de pouvoir prédire le résultat esthétique à l’issue de la phase chirurgicale et de la phase prothétique. Les radiographies 2D et 3D apportent beaucoup d’informations quant au volume osseux disponible et de son adéquation avec le couloir prothétique. Elles permettent également d’avoir une bonne prédictibilité de la présence complète ou partielle des papilles. Le guide esthétique, outil complémentaire, apporte lui aussi de nombreuses autres informations qui permettront d’envisager sereinement le traitement implantaire. Ce guide esthétique réalisé avec des dents du commerce est très simple de mise en œuvre. Cet article a pour objectif d’illustrer ses avantages à travers un cas clinique.
Cas clinique
Un patient de 55 ans vient consulter pour avis prothétique. Il désire connaître les solutions envisageables pour le remplacement de ses incisives qu’il sait non conservables.
Lors de l’anamnèse, il peut exposer leur long passé thérapeutique, le fait qu’elles aient été dépulpées et couronnées. Suite à l’apparition de lésions inflammatoires d’origine endodontique (LIPOE), deux chirurgies de résections apicales avaient été réalisées, sans succès car des abcès persistent, occasionnant des douleurs chroniques au niveau du secteur antérieur maxillaire.
L’interrogatoire médical révèle une allergie à la roxithromycine et des allergies respiratoires à certains pollens. Aucun tabagisme n’est signalé.
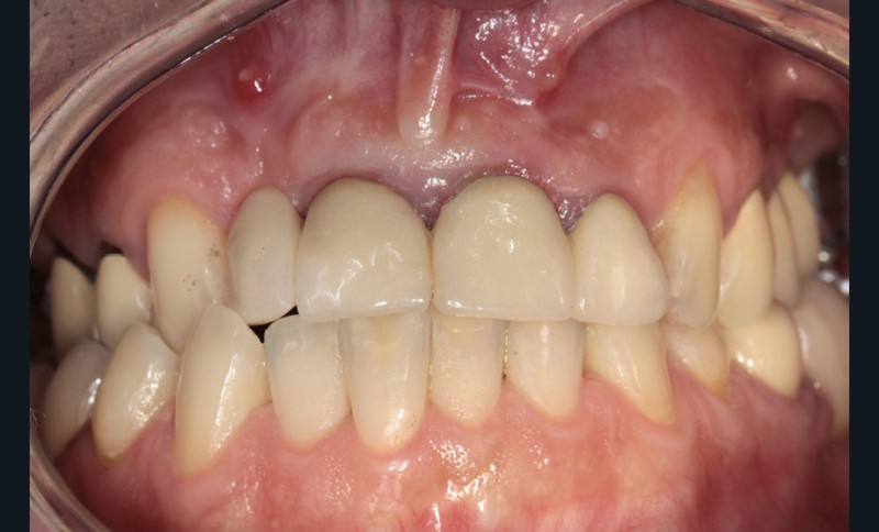
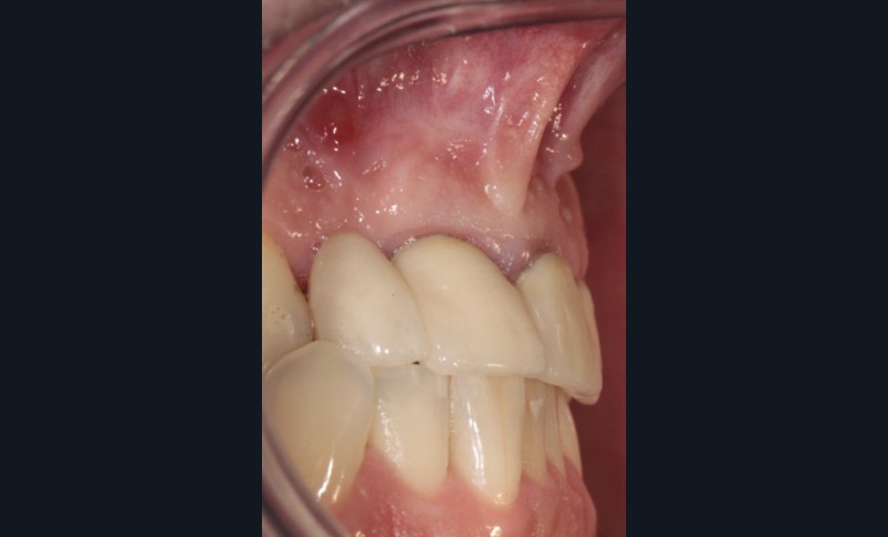
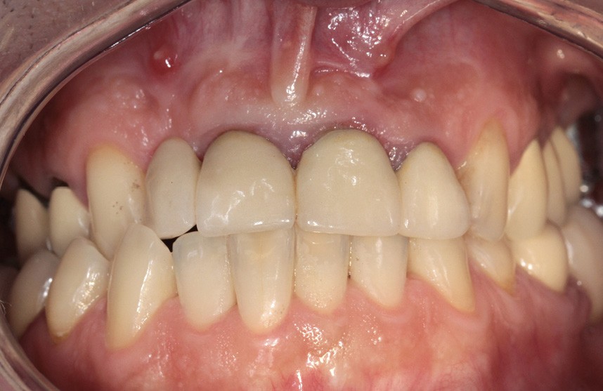
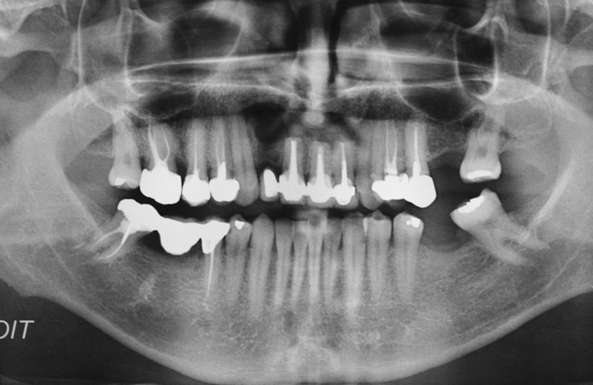
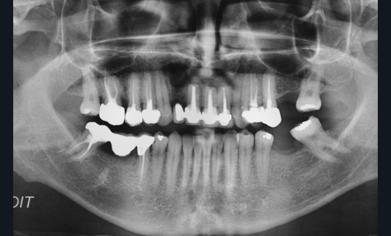
L’examen endobuccal montre deux fistules en regard des apex de 12 et 21 (fig. 1). Nous notons la présence d’une classe III squelettique, d’une occlusion inversée du côté droit (fig. 2) et des édentements non compensés au niveau de 26 et 36. L’orthopantomogramme révèle la présence d’une volumineuse lésion kystique qui s’étend de la 12 à la 22 (fig. 3).
Une imagerie 3D est réalisée…


