2e lauréat - Concours étudiant
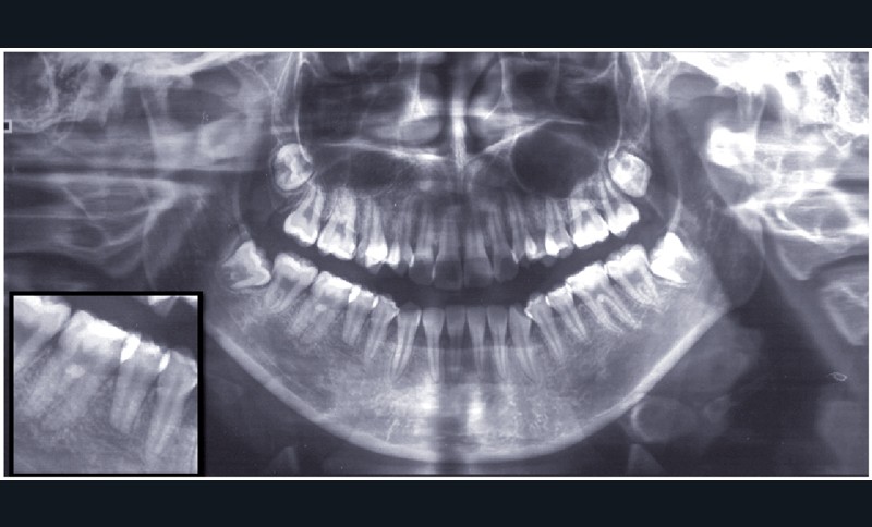
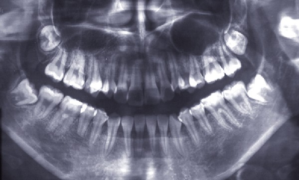
Diagnostic (fig. 1 à 3)
Sylvie se présente à l’âge de 15 ans avec une classe III squelettique (ANB -7,6°) d’origine maxillaire et mandibulaire sur un schéma facial à tendance hyperdivergent (FMA 31°) (fig. 1).
La classe III d’Angle et l’occlusion inversée s’accompagnent de signes de compensations alvéolo-dentaires : vestibuloversion des incisives supérieures (I/SN 114°) et linguoversion des incisives inférieures (IMPA 86°). L’encombrement à l’arcade maxillaire est important, souligné par des canines en infra-mésio-vestibulo-position.
Le choix du plan de traitement s’est porté sur un traitement chirurgico-orthodontique avec réalisation d’une classe II thérapeutique afin de limiter les déplacements dentaires à l’arcade mandibulaire suite au dépistage de rhizalyses idiopathiques sur les prémolaires inférieures (fig. 3) et de l’absence d’encombrement.
Traitement multi-attaches (fig. 4, 5, 6 et 7)
Les extractions orthodontiques ont été réalisées avant le collage de l’appareillage multi-attache Roth 022x.028.
Une séquence d’arcs Niti (.014, .018, .018x.025) a permis de réaliser l’alignement et le nivellement de l’arcade mandibulaire, avant de passer en acier (.019x.025).
La séquence d’arcs a été différente au maxillaire : un acier .014 en by-pass sur les incisives latérales a dans un premier temps été mis en place afin d’éviter tout effet néfaste de vestibuloversion.
Ensuite un arc avec des boucles de fermeture acier .018 a été utilisé afin de permettre le rabitting compte tenu de l’encombrement majeur.
Une fois les espaces d’extractions fermés, nous avons poursuivi le nivellement avec des arcs aciers .016x.022 puis .018x.025 afin de programmer la chirurgie orthognathique.
De plus, ce choix thérapeutique permet, dans l’éventualité d’une récidive tardive…





