Présentation du patient, anamnèse, choix thérapeutiques

  • Par
  • Publié le . Paru dans Stratégie Prothétique n°2 - 15 avril 2017 (page 91-93)
Information dentaire
Quel est l’historique dentaire de ce patient ?Quel est le diagnostic ?Quelle est la solution thérapeutique adoptée ?

Nous avons pris en charge ce patient en mai 2014. Il s’agit d’un homme, âgé à l’époque de 56 ans, édenté total récent, ancien fumeur, sans problème de santé interférant (arrêt du tabac en 2013).

Ce patient a été fortement traumatisé par la perte de ses dents et nous a d’emblée confié son angoisse liée à cet édentement total, qui lui a fait différer au maximum sa prise en charge thérapeutique.

Nous avons pu reconstituer globalement son passé dentaire, grâce à la collecte d’anciennes radiographies et d’éléments de son parcours de soins.

Situation initiale (1998)

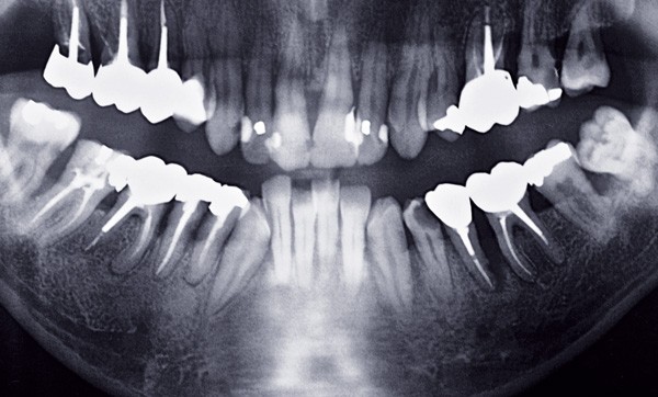
Le patient a fait l’objet à l’époque d’un bilan dentaire sous la forme d’un cliché panoramique (OPT) (fig. 1). Il présentait alors 14 dents au maxillaire (absence de 18 et 25), et une arcade complète à la mandibule.

Maxillaire
Bilan dentaire

– 17, 16, 15 : présentent des restaurations par couronnes coulées (métal non précieux), avec des inlays core sous-jacents ;

– 14 : obturation coronaire volumineuse sans obturation radiculaire visible ;

– 13 : lésion carieuse mésiale, peu évoluée ;

– 12 : obturations proximales ;

– 11 et 21 : obturations distales et petites lésions carieuses du côté mésial ;

– 22 : obturations proximales et palatines ;

– 23 : dent indemne ;

– 25 obturation occluso-distale sur dent probablement vitale ;

– 26 : dent couronnée, inlay core sous-jacent ;

– 27 : obturation occluso-mésiale et lésion carieuse distale évolutive ;

– 28 : dent indemne de carie.

Bilan parodontal

Côté droit : on note une poche parodontale entre 17 et 16, atteignant les deux tiers de la hauteur radiculaire des dents (supérieure à 5 mm), une poche plus modérée entre 16 et 15, une atteinte parodontale au niveau 11 et 12 (plus avancée sur la 12).

Côté gauche : au niveau de la dent 28 :

– une atteinte dépassant la moitié de la hauteur radiculaire. De plus, la dent possède une racine conique et devait présenter une mobilité ;

-…

Cet article est réservé aux abonnés.
Pour lire la suite :

Vous êtes abonné.e ? Connectez-vous
Mot de passe
oublié ?

Vous pouvez également :

Acheter l'article En version numérique
Acheter le numéro À l'unité

Thèmes abordés