Existe-t-il des marqueurs de l’inflammation dans le fluide gingival ?
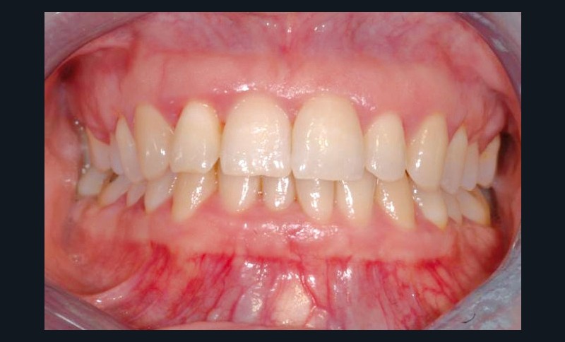
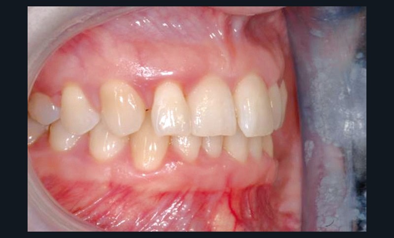
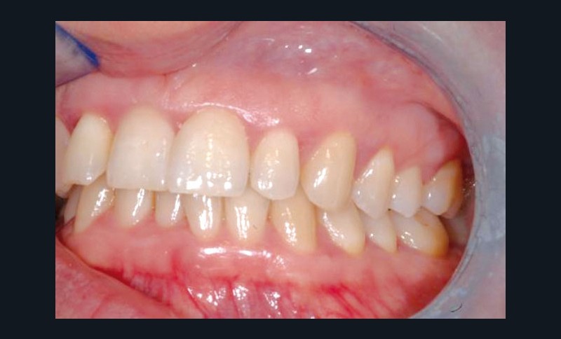
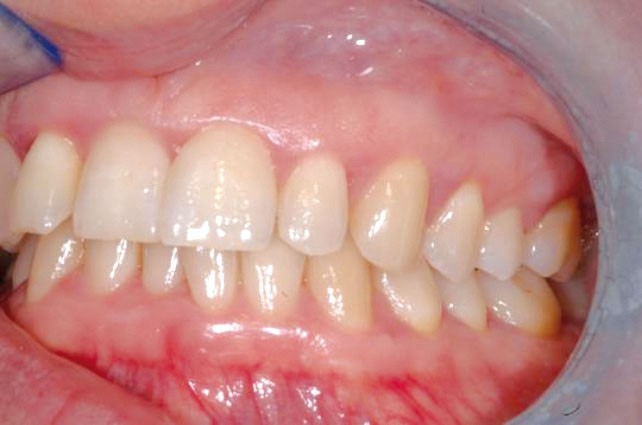
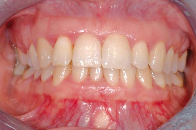
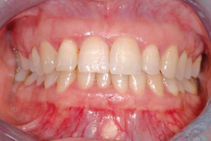
Les éléments du diagnostic parodontal que sont la profondeur de poche, le niveau d’attache, le saignement au sondage et l’examen radiographique ne donnent pas d’indication sur l’évolution des phénomènes pathologiques. Ils signent la présence et la sévérité de la maladie (fig. 1 à 4).
Existe-t-il des outils de diagnostic permettant de prévoir l’évolution de la pathologie comme des marqueurs biochimiques ?
Certains auteurs ont proposé d’utiliser des biomarqueurs salivaires et de les associer à la présence de pathogènes parodontaux [11] pour prévoir la progression des maladies parodontales [5].
Il semble cependant que le fluide gingival soit davantage le reflet de la situation inflammatoire de chaque site parodontal. Cet exsudat prélevé dans le sillon gingival ou la poche parodontale, issu de la microcirculation, traverse les tissus parodontaux enflammés et transporte les marqueurs biologiques.
Il y a quelques années, Offenbacher et al. [8] ont proposé de classer les pathologies parodontales en fonction de critères cliniques, microbiologiques, inflammatoires, et des réactions de l’hôte. Il est intéressant de noter que ces auteurs ont associé la présence de poches parodontales profondes et de saignement au sondage à des niveaux élevés d’interleukine 1B (IL1B) et 6 (IL6) dans le fluide gingival.
Les biomarqueurs à rechercher dans le fluide
• Protéine C Réactive (PCR)
Cette protéine surtout produite par le foie en réponse à une augmentation d’interleukine 6 (IL6) et de Tumor Necrosis Factor (TNF), cytokines pro inflammatoires produites par les monocytes et les macrophages, fait partie de la réponse non spécifique à l’inflammation, l’infection et les dommages tissulaires [10].
Il s’agit d’un biomarqueur de l’inflammation systémique avec une valeur prédictive pour les maladies cardiovasculaires [12]. Recherché dans le sérum, son niveau…



