Principes de la planification thérapeutique globale – Partie 1 – Diagnostic et pronostic

  • Par
  • Publié le . Paru dans L'Information Dentaire n°41 - 24 novembre 2021 (page 22-29)
Information dentaire

« Il peut y avoir différentes manières de traiter une maladie, mais il n’y a qu’un seul diagnostic correct. » Pr M. Amsterdam

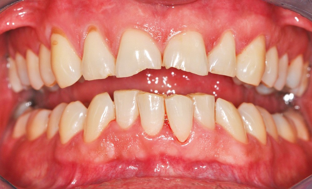
La planification thérapeutique est un processus décisionnel visant à définir, à partir de la situation d’un patient donné, des objectifs de traitement puis à déterminer quels sont les meilleurs moyens thérapeutiques disponibles pour les atteindre et les maintenir. La première partie de cet article montrera que le plan de traitement doit reposer sur des critères diagnostiques, à savoir : les causes des problèmes observés et les facteurs de risque susceptibles de les aggraver. La deuxième partie abordera les éléments de la prise de décision thérapeutique.

Historique des concepts de planification

Historiquement, les critères de choix thérapeutiques en odontologie se sont basés sur la symptomatologie locale, se limitant à une ou à un petit nombre de dents. Seules les dents douloureuses, cassées, mobiles ou absentes recevaient un traitement, l’une après l’autre, et l’on attendait le moment où un autre problème se déclarerait, ailleurs. Les premiers concepts de dentisterie globale ont commencé à émerger avec la prothèse complète et les traitements occluso-prothétiques pour lesquels la détermination d’un rapport intermaxillaire et l’établissement des contacts occlusaux constituaient le point de départ. Ce fut de l’ère de la relation centrée et des gnathologistes.

Dans les années 1980, deux praticiens américains, les Docteurs Franck Spear et John Kois, profitant des récentes avancées de la parodontologie, de l’orthodontie, de la chirurgie orale et maxillo-faciale, mais aussi en raison de la demande esthétique croissante des patients, ont proposé une nouvelle approche de la planification thérapeutique basée sur l’idée que si les dents sont correctement positionnées au sein de la bouche et du visage du patient, alors une fonction efficace en découlerait. A un plan de traitement ayant pour point de départ la position condylienne, ils ont préféré un plan de traitement ayant pour point de départ l’analyse dento-faciale et dento-gingivale.

Aujourd’hui, l’avènement d’une médecine dite « de précision » permet d’envisager des traitements préventifs précoces et individualisés, et c’est l’analyse des facteurs de risque et la recherche des moyens permettant de les réduire qui guident la stratégie de traitement pour une amélioration de la santé et de la qualité de vie à long terme des patients. Le décloisonnement des disciplines odontologiques et médicales, ainsi que leurs liens désormais réciproques orientent vers une vision plus large et globale…

Cet article est réservé aux abonnés.
Pour lire la suite :

Vous êtes abonné.e ? Connectez-vous
Mot de passe
oublié ?

Vous pouvez également :

Acheter l'article En version numérique
Acheter le numéro À l'unité