Prise en charge des défauts parodontaux dans le cadre des traitements orthodontiques : avant, pendant ou après le traitement ?

  • Par
  • Publié le . Paru dans L'Information Dentaire n°21 - 27 mai 2020

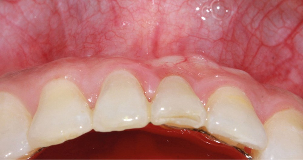
10. Contrôle à un an postchirurgie : environnement parodontal en regard des incisives mandibulaires : vue vestibulaire (a), vue occlusale (b). L’environnement musculaire est toujours pacifié (c). L’hygiène est encore à améliorer.

Information dentaire

Compte tenu de la relation entre traitement orthodontique et santé parodontale, l’orthodontiste et le parodontiste doivent coopérer avant, pendant et après le traitement orthodontique.

Deux types majeurs de défauts parodontaux peuvent survenir dans la région incisive mandibulaire dans le cadre des traitements orthodontiques : les récessions gingivales et les accroissements gingivaux. Les gencives fines sont beaucoup plus à risque de développer des récessions gingivales au cours du traitement orthodontique. Les gencives épaisses, quant à elles, sont susceptibles d’accroissements liés au matériel orthodontique et aux problèmes d’hygiène.

Dans ce travail, nous allons aborder la problématique des récessions gingivales, et plus particulièrement la conduite à tenir en présence d’une récession gingivale sur une incisive mandibulaire, présente en début de traitement orthodontique.

Les critères diagnostiques

Un certain nombre de critères doivent être pris en considération afin d’évaluer le secteur incisif mandibulaire et la situation parodontale.

Critères orthodontiques

Existence de dysfonctions : ventilation orale, incompétence labiale, déglutition atypique, musculature péri-orale hyperactive, pulsion linguale ; les déséquilibres musculaires vestibulaires et linguaux vont avoir une influence sur la position des dents, mais aussi sur le parodonte [1]. L’hyperactivité des muscles mentonniers lors de la fermeture labiale forcée va avoir des répercussions sur l’environnement parodontal des incisives mandibulaires à type de récessions gingivales et/ou déhiscences osseuses.

Anomalies occlusales avec leurs conséquences sur le parodonte (os/gencive) [2] : classe II dentaire, classe III dentaire, occlusion inversée antérieure, divergence faciale ; en effet, les vestibulo-versions sévères entraînent des récessions en cervical car la dent « sort » de son couloir osseux ; il en est de même dans les linguo-versions sévères en lingual. Il faut donc apprécier la position de la dent par rapport à son couloir osseux, cliniquement et sur la téléradiographie de profil [2, 3]. La typologie faciale est également à prendre en compte : les patients hyperdivergents ont une épaisseur d’os alvéolaire moindre que les patients normo ou hypodivergents [3, 4].

Malpositions incisives : encombrement, vestibulo-position, vestibulo-version, rotations ; étant donné que l’incisive mandibulaire est plus large dans la dimension vestibulo-linguale que mésio-distale, tout mouvement de rotation va faire sortir la dent de son couloir osseux.

Types de mouvements à réaliser : de manière générale, tous les traitements réalisés orthodontiquement sont à risque pour le parodonte. Cependant, une vigilance accrue s’impose dans les cas suivants : vestibulo-version [5], linguo-version, expansion dento-alvéolaire, correction…

Cet article est réservé aux abonnés.
Pour lire la suite :

Vous êtes abonné.e ? Connectez-vous
Mot de passe
oublié ?

Vous pouvez également :

Acheter l'article En version numérique
Acheter le numéro À l'unité

Thèmes abordés