Quels sont les signes qui doivent nous alerter ?
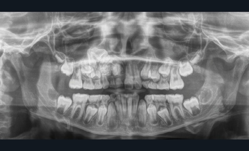
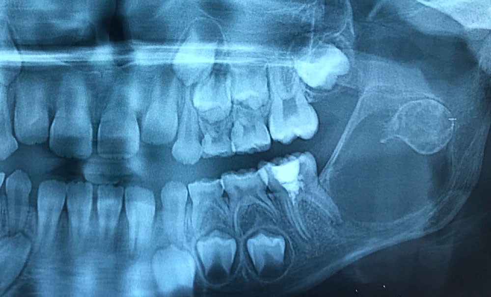
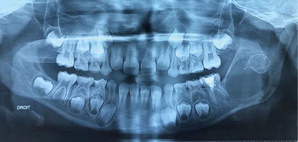
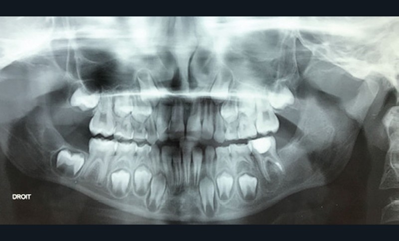
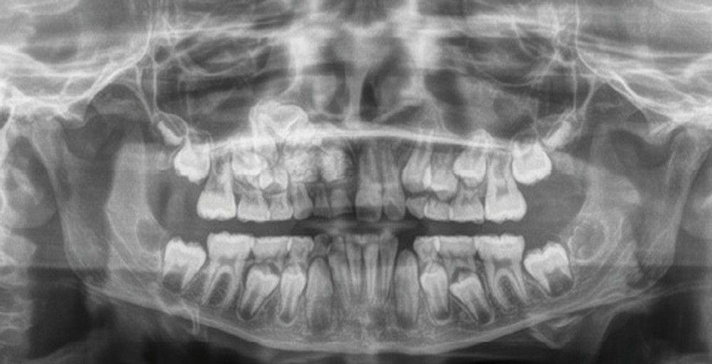
Les kystes et tumeurs bénignes osseuses maxillaires ou mandibulaires chez l’enfant sont le plus souvent asymptomatiques. Ces lésions osseuses sont découvertes de façon fortuite lors d’un bilan radiographique de routine réalisé par l’odontologiste pédiatrique ou l’orthodontiste [1-3]. Néanmoins, des lésions peuvent parfois se développer rapidement et être destructrices [1, 2]. Certains signes cliniques spécifiques à la chronologie de l’éruption dentaire chez l’enfant doivent nous alerter tels qu’un retard d’éruption dentaire ou une éruption dentaire asymétrique (fig. 1). D’autres manifestations cliniques, moins spécifiques à l’enfant, peuvent également orienter le clinicien sur la présence d’une pathologie osseuse sous-jacente : mobilité dentaire, douleur, tuméfaction, limitation de l’ouverture buccale, trouble neurosensoriel, etc. [3]. C’est la radiographie panoramique qui va ensuite mettre en évidence/confirmer la présence d’une lésion intra-osseuse (fig. 2).
Quelle est la conduite à tenir face à la découverte d’une lésion osseuse maxillaire ou mandibulaire ?
La radiographie panoramique permet une première interprétation de la lésion osseuse (localisation, nombre, taille approximative, etc.). Cet examen est souvent complété par un bilan d’imagerie en trois dimensions de type Cone Beam [4]. Il précisera le volume et les limites de la lésion ainsi que ses rapports avec les structures anatomiques avoisinantes (tableau 1). Ces données radiologiques confrontées à l’examen clinique et à la fréquence relative des lésions permettent de réaliser un diagnostic d’intuition qui orientera la prise en charge.
|
Tableau 1 – Critères d’analyse radiologique des lésions osseuses maxillaires et mandibulaires chez l’enfant |
|||
|
Éléments à rechercher |
Critères… |
||







