Prise en charge d’un kyste dentigère par décompression

  • Par
  • Publié le . Paru dans L'Information Dentaire n°18 - 5 mai 2020

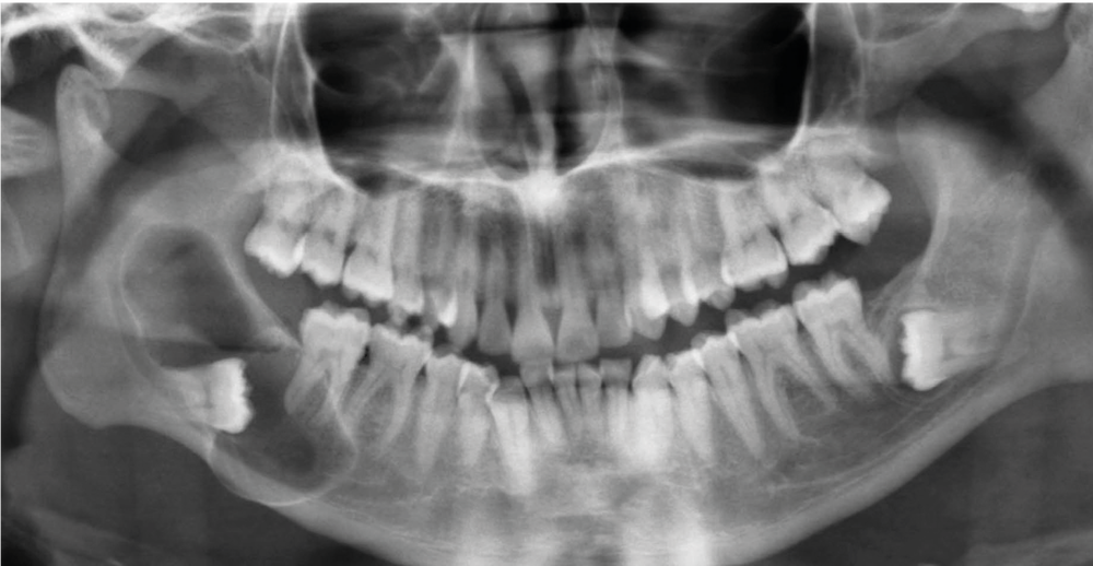
1. Panoramique initiale.

Information dentaire

Coordination : Kinz Bayet

Les kystes dentigères, anciennement appelés kystes folliculaires ou corono-dentaires, sont des tumeurs odontogènes bénignes [1]. Ils intéressent préférentiellement les troisièmes molaires mandibulaires, et sont les plus fréquents des kystes odontogènes maxillo-mandibulaires.

Présentation du cas

Un patient âgé de 37 ans, en bonne santé (ASA 1), se présente en consultation. Il est adressé par son chirurgien-dentiste, suite à la découverte fortuite par panoramique d’une volumineuse lésion radio-claire mandibulaire, associée à une 48 incluse (fig. 1).

L’examen endobuccal met en évidence une voussure vestibulaire, sans signe muqueux associé, et l’ensemble des dents répond aux tests de sensibilité pulpaire.

La radiographie panoramique montre une large lésion radio-claire mandibulaire centrée sur la 48 incluse et s’étendant de la branche montante à la racine mésiale de 46. La lésion englobe la couronne de 48, elle est unique, homogène, ovalaire, à grand axe mésio-distal, bien délimitée par un liseré d’ostéocondensation.

Un examen complémentaire tridimensionnel par Cone Beam Computed Tomography (CBCT) révèle une lésion de 50 mm sur 20 mm, en rapport direct avec le nerf alvéolaire inférieur. Les corticales vestibulaire et linguale sont soufflées et partiellement préservées.

Diagnostics

Face à ces observations cliniques et radiographiques, les diagnostics qui peuvent être évoqués sont ceux d’un kyste dentigère, d’un kératokyste et d’un améloblastome.

Options thérapeutiques

La littérature fait état de différentes propositions thérapeutiques dans la prise en charge des kystes dentigères. Ces thérapeutiques vont des traitements conservateurs (énucléation simple, décompression, marsupialisation) à des traitements plus ou moins agressifs (résection large), la prise en charge la plus répandue étant celle de l’énucléation et de l’avulsion de la dent causale.

L’énucléation simple est réalisée en cas de lésion de petite étendue, inférieure à 2 cm.

La marsupialisation consiste à maintenir le kyste ouvert dans la cavité buccale en suturant la muqueuse kystique à la muqueuse buccale, alors que la décompression maintient le kyste ouvert par le biais d’un tube de…

Cet article est réservé aux abonnés.
Pour lire la suite :

Vous êtes abonné.e ? Connectez-vous
Mot de passe
oublié ?

Vous pouvez également :

Acheter l'article En version numérique
Acheter le numéro À l'unité

Thèmes abordés