Prise en charge multidisciplinaire d’un cas complexe concernant la zone esthétique antérieure maxillaire

  • Par
  • Publié le . Paru dans Parodontologie Implantologie Orale, un nouveau regard n°2 - 15 novembre 2021 (page 18-30)
Information dentaire

La réhabilitation de la zone antérieure maxillaire représente un défi pour tout chirurgien-dentiste voulant rendre le sourire à un patient. Dès lors que les deux incisives centrales sont concernées, la difficulté réside dans la pluridisciplinarité de la reconstruction de cette zone esthétique.

Dans cette situation clinique, plusieurs options sont à considérer et devront toujours être discutées avec le patient. Chaque solution présente ses avantages et inconvénients et la décision doit être guidée par la balance bénéfice/risque.

Résumé

La zone antérieure maxillaire est une zone esthétique carrefour des différentes spécialités odontologiques. Sa réhabilitation doit toujours passer par une concertation des disciplines et un plan de traitement global guidant les différentes étapes de traitement.

L’objectif ultime de ce plan de traitement doit être la réhabilitation fonctionnelle et esthétique du sourire du patient, à travers un projet thérapeutique en accord avec le patient.

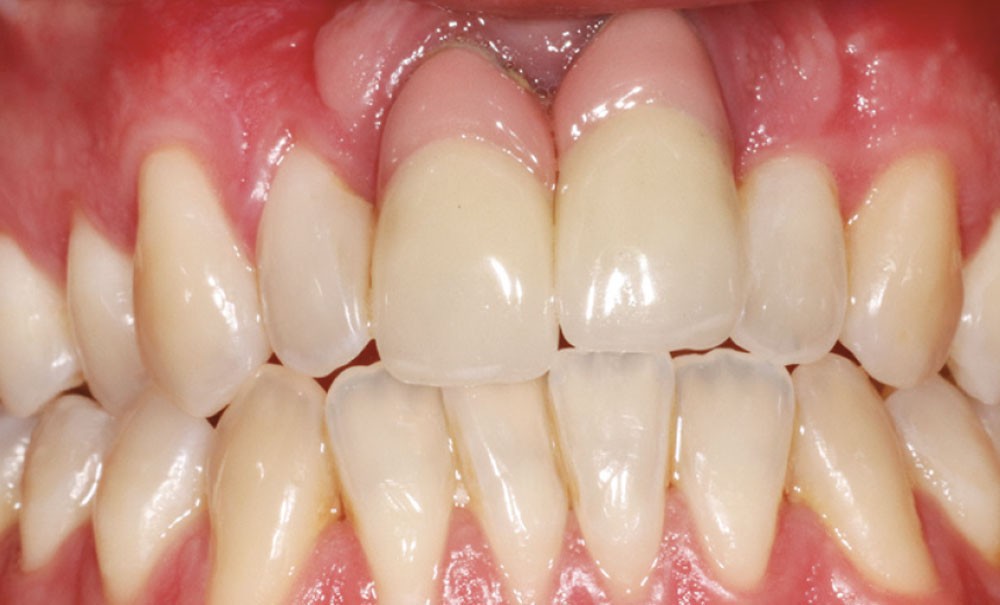
Présentation de la situation clinique initiale

Historique dentaire

Le patient, âgé de 32 ans, a un long historique dentaire remontant à l’âge de 6 ans.

  • 6 ans : perte des incisives centrales temporaires mais présence de dents surnuméraires empêchant la mise en place sur arcade de 11 et 21 dont les racines sont coudées.
  • 8 ans : extraction des dents surnuméraires.
  • 9-10 ans : traitement orthodontique pour traction des 11 et 21 car les dents n’ont pas fait leur éruption naturelle. En parallèle, le patient porte une « prothèse amovible » sur-mesure remplaçant 11 et 21 pour des raisons esthétiques et pour maintenir l’espace.
  • 12 ans : échec de ce traitement, les dents n’égressent pas. Intervention pour la mise en place de 11 et 21 par « extraction-réimplantation » [1] ; une technique qui n’est plus recommandée en 2021.
  • Traitement endodontique des 11 et 21. Présence de récessions gingivales et absence de tissu kératinisé au niveau des 2 incisives.
  • 13 ans : approfondissement vestibulaire et création de tissu kératinisé apicalement aux 11 et 21 par autogreffe gingivale [2].
  • 19 ans : traitement orthodontique pour préparation à une chirurgie orthognatique afin de traiter la classe 3 squelettique.
  • 20 ans (2008) : chirurgie d’avancée du maxillaire et de recul mandibulaire.
  • Entre 2008 et 2018 : le patient est perdu de vue.
  • En 2018 : épisode infectieux sur la 21 le conduisant à consulter dans le service de Parodontologie. La dent…

Cet article est réservé aux abonnés.
Pour lire la suite :

Vous êtes abonné.e ? Connectez-vous
Mot de passe
oublié ?

Vous pouvez également :

Acheter l'article En version numérique
Acheter le numéro À l'unité

Thèmes abordés

Sur le même sujet

Implantologie

Article réservé à nos abonnés Vertiprep versus congé et épaulement

Responsable scientifique : Anne Longuet Intervenant : Hugues De Belenet Photos et schémas : © Hugues de Belenet Il n’est plus nécessaire,...
Implantologie

Article réservé à nos abonnés Déposer un implant : quand et comment ?

Responsable scientifique : Karim Dada Conférencier : Léon Pariente Bien que les taux de survie des thérapeutiques implantaires soient élevés, équivalents à...
Implantologie

Article réservé à nos abonnés L’approche immédiate unitaire : toujours d’actualité ?

Responsable scientifique : Gary Finelle Intervenant : Joseph Kan L’approche implantaire immédiate du secteur antérieur est parfois appréhendée comme une indication thérapeutique...