Prise en charge ortho-chirurgicale des canines maxillaires incluses

  • Par
  • Publié le . Paru dans Réalités Cliniques n°1 - 15 mars 2018 (page 18-24)
Information dentaire
Les canines incluses sont régulièrement rencontrées en pratique quotidienne. Leur mise en place sur l’arcade, afin de leur permettre d’assurer leurs rôles fonctionnel et esthétique, est un véritable défi clinique. Un diagnostic précoce, une interception en temps utile et une prise en charge orthodontico-chirurgicale impliquant une étroite collaboration entre le chirurgien-dentiste traitant, l’orthodontiste et le chirurgien oral sont les clefs d’une prise en charge réussie.

L’omnipraticien doit être à même d’intercepter des canines maxillaires incluses et d’orienter précocement le patient vers des praticiens spécialisés. La gestion de ces dents implique une bonne coopération des différents intervenants.
 
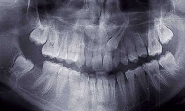
Les canines maxillaires incluses sont régulièrement rencontrées en pratique quotidienne : environ 1,7 % de la population générale est affectée [1]. Ce sont les dents les plus fréquemment incluses après les 3e molaires [2]. Les inclusions palatines sont deux fois plus fréquentes que les vestibulaires [3]. Les complications les plus fréquentes sont les résorptions externes des racines des incisives adjacentes, retrouvées dans 50 % des cas [4]. Dotées d’une longue racine, solidement ancrées dans l’os alvéolaire et positionnées aux angles de l’arcade maxillaire, elles sont considérées comme des dents stratégiques [5]. L’objectif de leur prise en charge est de les positionner correctement sur l’arcade, en reconstituant un parodonte sain, une occlusion fonctionnelle, et en améliorant l’esthétique [6].
 
Le traitement des canines incluses constitue un véritable défi clinique. Il requiert une approche pluridisciplinaire impliquant une étroite collaboration entre le chirurgien-dentiste traitant, l’orthodontiste et le chirurgien oral. Pour aider les praticiens à relever ce défi, des recommandations internationales de bonne pratique ont été émises en Angleterre [7], aux États-Unis [8] et en France [6]. Elles ont pour objectif de clarifier le diagnostic et la prise en charge des différents intervenants et de favoriser une décision thérapeutique pluridisciplinaire, précoce et adaptée.

Démarche diagnostique

Le diagnostic positif d’une canine incluse résulte de la confrontation des données cliniques et radiologiques. Les facteurs qui doivent faire suspecter l’inclusion d’une canine maxillaire sont au nombre de 4 : la persistance de la canine temporaire au-delà de la date normale…

Cet article est réservé aux abonnés.
Pour lire la suite :

Vous êtes abonné.e ? Connectez-vous
Mot de passe
oublié ?

Vous pouvez également :

Acheter l'article En version numérique
Acheter le numéro À l'unité

Thèmes abordés

Sur le même sujet

Chirurgie orale

Article réservé à nos abonnés Lorem ipsum dolor sit amet

Lorem ipsum Lorem ipsum dolor sit amet, consectetur adipiscing elit, sed do eiusmod tempor incididunt ut labore et dolore magna...