Prise en charge ortho-chirurgicale des incisives maxillaires incluses

  • Par
  • Publié le . Paru dans Réalités Cliniques n°1 - 15 mars 2018 (page 26-33)
Information dentaire
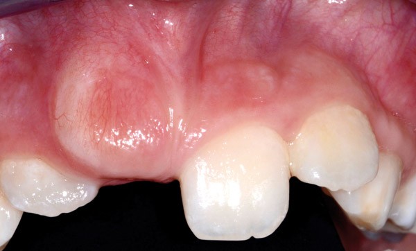
L’inclusion des incisives maxillaires est certes moins fréquente que celles des canines (0,4  % de la population pour les incisives contre 0,8 à 2,8 % pour les canines), mais la prise en charge de celles-ci, surtout pour des raisons esthétiques, est tout aussi importante. Les causes les plus fréquentes d’inclusion des incisives maxillaires sont la présence d’un obstacle, comme par exemple un mésiodens, et les antécédents de traumatismes sur les dents temporaires. Toute différence d’éruption entre deux incisives controlatérales ou tout retard d’éruption des deux incisives doit amener les parents à consulter, et le clinicien à rechercher une éventuelle inclusion. La détection, le diagnostic et la prise en charge nécessitent d’être réalisés rapidement pour éviter les complications. L’arsenal thérapeutique, variable en fonction de la situation clinique, peut inclure l’avulsion de la dent temporaire, et/ou l’élimination de l’obstacle empêchant l’éruption de l’incisive, et/ou la mise en place d’un traitement chirurgico-orthodontique.

Les incisives centrales maxillaires font leur éruption entre 7 et 8 ans et les incisives latérales maxillaires entre 8 et 9 ans [1]. Des variabilités individuelles existent sans phénomène pathologique, mais il est fondamental lors de la consultation, face à des parents souvent inquiets de ce retard d’éruption, de faire un examen complet suivi d’un diagnostic (voir arbre décisionnel ci-dessous).
 
Plus fréquente et plus connue pour les canines, l’inclusion des incisives maxillaires concerne 0,4 % de la population générale. De par l’importance esthétique et fonctionnelle des incisives, ces protocoles doivent être connus de tous pour une prise en charge rapide et efficace.
Une dent incluse est une dent qui n’a pas fait son apparition sur l’arcade à la date normale d’éruption. Elle peut être intra-osseuse ou sous muqueuse, mais le sac folliculaire est non perforé et entoure la dent. Une dent retenue est une dent immature non présente sur l’arcade à l’âge où elle aurait dû faire son éruption et qui peut devenir incluse en ayant achevé son édification radiculaire.
 
Il existe deux facteurs étiologiques associés à l’inclusion d’une incisive maxillaire [2] :
• La présence d’un obstacle, comme par exemple un mésiodens. Ce terme désigne une dent dysmorphique surnuméraire, souvent conoïde, avec une racine courte située près de la suture médiane du maxillaire. L’odontome simple, ou odontoïde, est un élément dentaire dystrophique, surnuméraire. Il désigne un organe qui a l’aspect, la forme ou la texture d’une dent. L’odontome complexe ou composé est une tumeur bénigne composée des tissus impliqués dans l’odontogenèse, sans morphologie dentaire précise.
Ces obstacles vont créer une obstruction physique qui empêchera l’éruption normale de la dent [3, 4].
La présence d’un germe surnuméraire est retrouvée dans 1,5% à 3,5% de la population. Dans 28 à 60 % des cas, il y aura des répercussions sur…

Cet article est réservé aux abonnés.
Pour lire la suite :

Vous êtes abonné.e ? Connectez-vous
Mot de passe
oublié ?

Vous pouvez également :

Acheter l'article En version numérique
Acheter le numéro À l'unité

Thèmes abordés

Sur le même sujet

Chirurgie orale

Article réservé à nos abonnés Lorem ipsum dolor sit amet

Lorem ipsum Lorem ipsum dolor sit amet, consectetur adipiscing elit, sed do eiusmod tempor incididunt ut labore et dolore magna...