Situation clinique
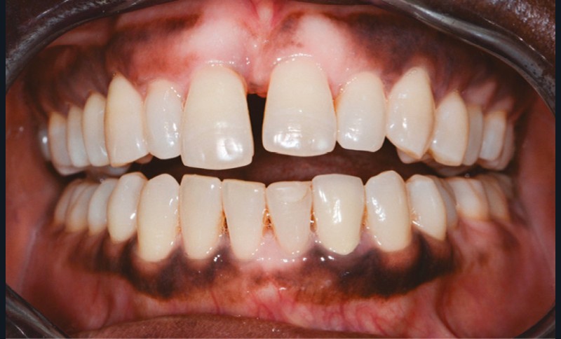
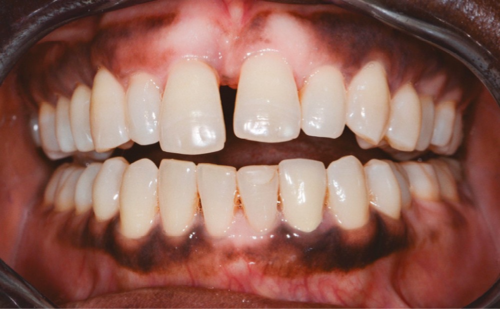
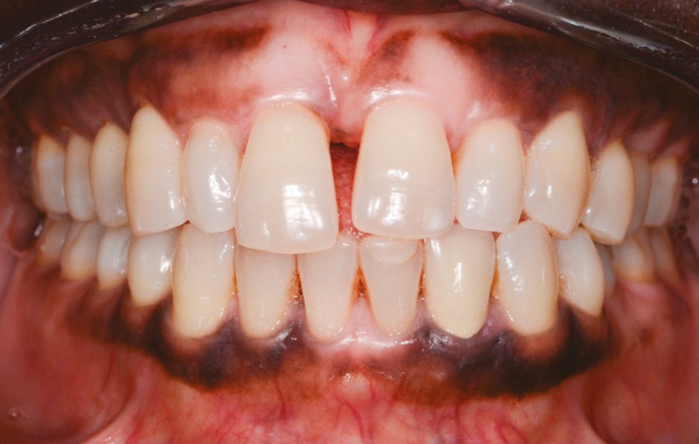
Une femme âgée de 33 ans, sans antécédents médico-chirurgicaux notables, consulte pour la correction de l’égression de son incisive centrale qu’elle juge disgracieuse dans le sourire (fig. 1).
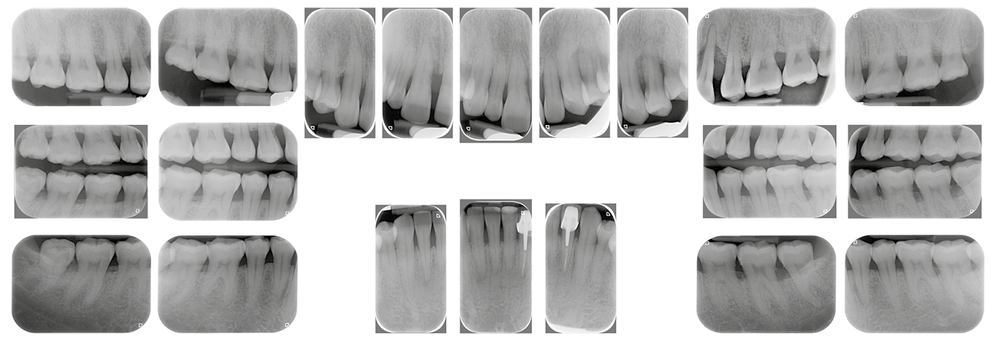
À l’examen clinique et radiologique, elle présente une parodontite de stade 4 grade C avec des poches profondes au niveau des dents 11 et 24, associées à des alvéolyses angulaires atteignant la moitié ou les deux tiers de la hauteur radiculaire au niveau du secteur incisivo-canin maxillaire, et le quart de la longueur radiculaire des premières molaires maxillaires et mandibulaires (fig. 2).
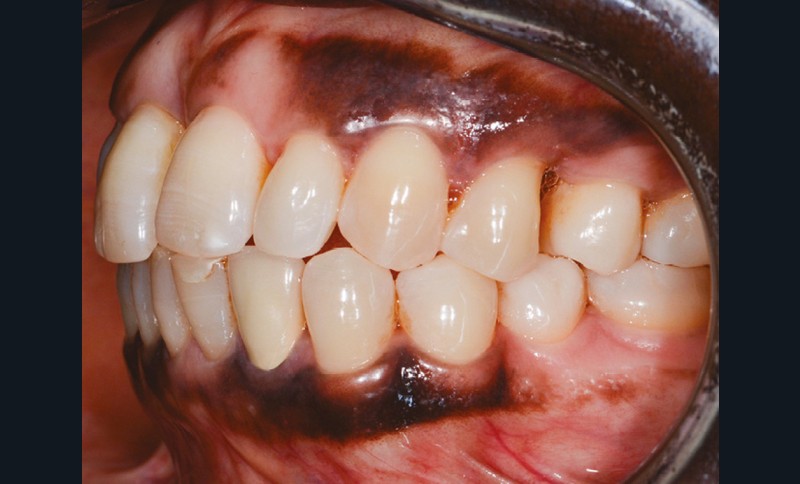
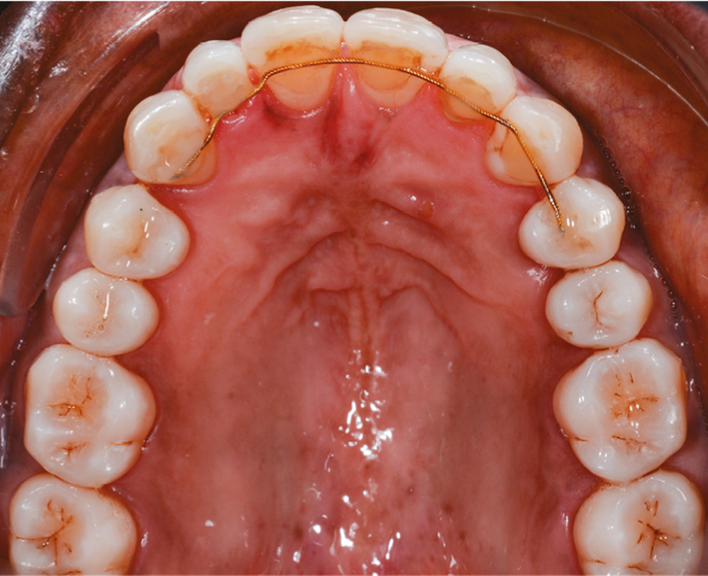
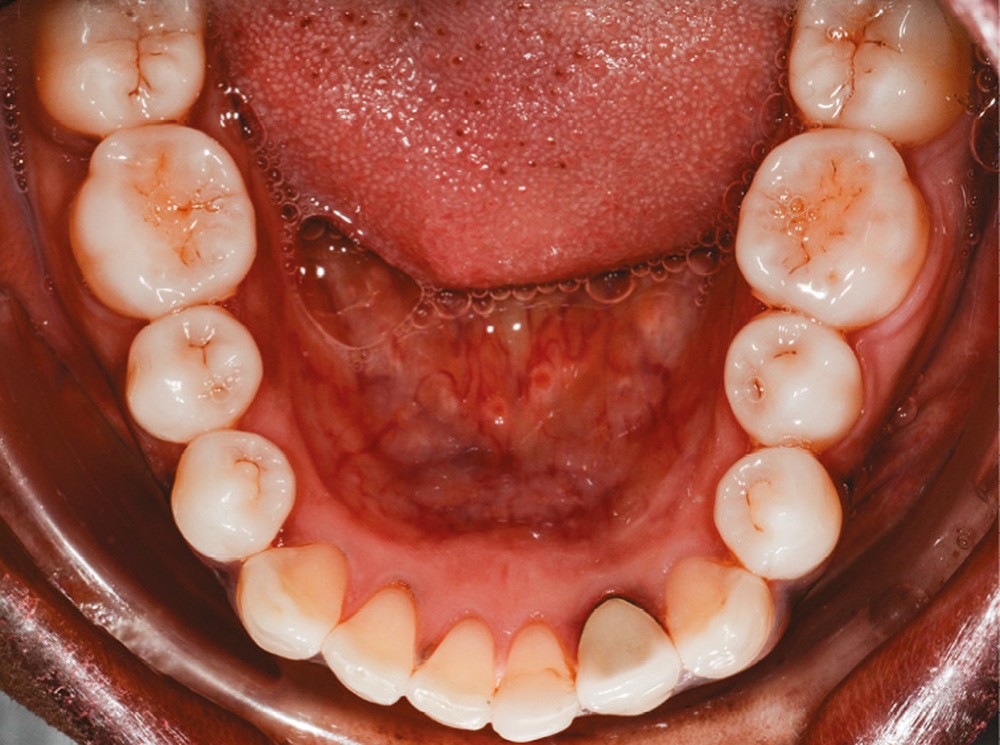
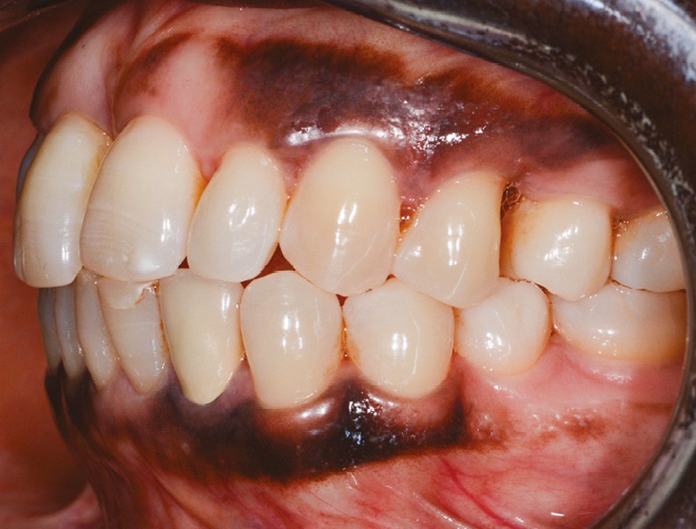
L’observation clinique après traitement parodontal initial révèle, au niveau interarcade, des rapports de classe I molaire bilatéraux associés à des rapports de bout à bout incisif. Dans la dimension verticale, elle présente une légère infraclusion antérieure. On ne note pas d’anomalie de la dimension transversale (fig. 3 à 5). À l’examen intra-arcade, on constate des diastèmes maxillaires interincisifs (1 mm), en distal de 13 (0,5 mm) et de 24 (1 mm) ainsi que des malpositions unitaires (linguoversion de 12, rotation mésio-vestibulaire disto-linguale de 24). À la mandibule, on observe une couronne céramométallique au niveau de 32 plus large de 1,5 mm que les autres incisives ainsi qu’une rotation mésio- linguale de 35 (fig. 6 à 8). En diduction, on note une interférence au niveau de 24.
L’analyse céphalométrique de profil révèle des rapports de classe II de Ballard par prognathie maxillaire sur un schéma facial normodivergent associés à une forte proalvéolie mandibulaire (IMPA : 108°) et une légère retroalvéolie maxillaire (I/FH : 108°) (fig. 9 et 10).
Objectifs de traitement
L’objectif du traitement parodontal est de préserver, maintenir ou améliorer la santé des tissus de soutien…









