Prise en charge parodontalede récessions gingivales iatrogènes

  • Par
  • Publié le . Paru dans L'Orthodontiste n°1 - 15 février 2021 (page 40-43)
Information dentaire
La prévalence des récessions parodontales augmente avec l’âge. Ainsi, 36 % de la population a au moins une récession à 30 ans et 79 % à l’âge de 55 ans [1]. L’étiologie des récessions est essentiellement anatomique, associée à des facteurs exogènes déclencheurs. Parmi ces facteurs, on notera l’inflammation (liée à la présence de plaque et de tartre), un brossage traumatique, des restaurations débordantes iatrogènes et certains déplacements dentaires orthodontiques.

Les facteurs anatomiques prédisposant sont le biotype parodontal et la hauteur de gencive attachée. Ainsi, plus le parodonte sera fin et la hauteur de gencive kératinisée faible, plus le risque de récession parodontale sera important. On notera également l’influence des malpositions et du point d’éruption de la dent [2] : une dent évoluant en vestibulotopie ou en linguotopie aura un parodonte plus fin qu’une dent évoluant au milieu du procès alvéolaire et enfin des insertions hautes des brides et freins.

L’âge du patient intervient également [3]. Un bilan parodontal est donc toujours indiqué avant de démarrer un traitement orthodontique, afin d’évaluer la présence et le risque de survenue de récession parodontale en lien avec notre thérapeutique.

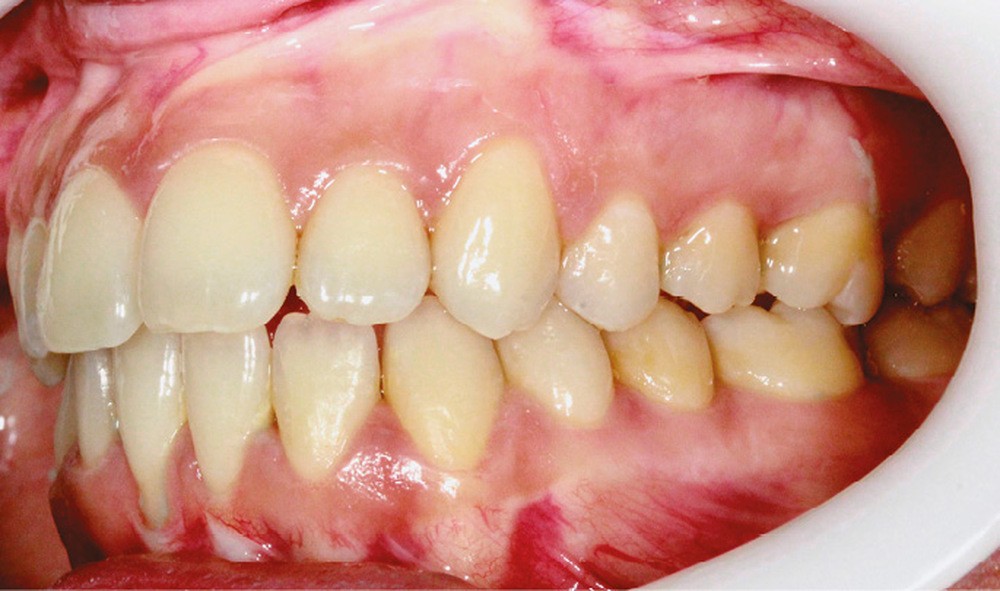
Situation clinique

Une femme âgée de 27 ans, sans antécédents médico-chirurgicaux notables, vient consulter pour la correction de son encombrement dentaire.

À l’examen clinique et radiologique, elle ne présente pas de maladie parodontale. L’examen clinique révèle un parodonte fin avec une récession de type RT1 au niveau de la dent 41, c’est-à-dire une récession sans perte d’attache proximale [4]. Il n’y a pas de tissu kératinisé immobile apicalement à la récession et la jonction amélo-cémentaire est visible sur la face vestibulaire, sans marche. Cette récession est une classe I de Miller [5]. Elle n’est pas associée à une hypersensibilité. Parmi les facteurs ayant contribué au développement de cette récession, on retiendra la position de la dent et la finesse des tissus parodontaux.

L’observation clinique orthodontique fait apparaître des rapports de classe I molaire et canine avec un surplomb et un recouvrement physiologique. À l’examen intra arcade, on observe un encombrement incisivo-canin modéré au maxillaire et modéré à sévère à la mandibule (fig. 1 à 5). L’analyse céphalométrique de profil révèle des rapports de légère…

Cet article est réservé aux abonnés.
Pour lire la suite :

Vous êtes abonné.e ? Connectez-vous
Mot de passe
oublié ?

Vous pouvez également :

Acheter l'article En version numérique
Acheter le numéro À l'unité

Thèmes abordés