L’amélogenèse imparfaite est une affection héréditaire qui se manifeste par des défauts amélaires en dentures temporaire et permanente. Cette anomalie génétique rare n’est pas nécessairement associée à une pathologie générale ou à une maladie systémique. Son incidence est de 1/700 à 1/14.000 selon la population étudiée et les critères de diagnostic utilisés [1-3]. La transmission génétique de cette affection peut se faire selon le mode dominant, récessif, ou lié au chromosome X [4, 5].
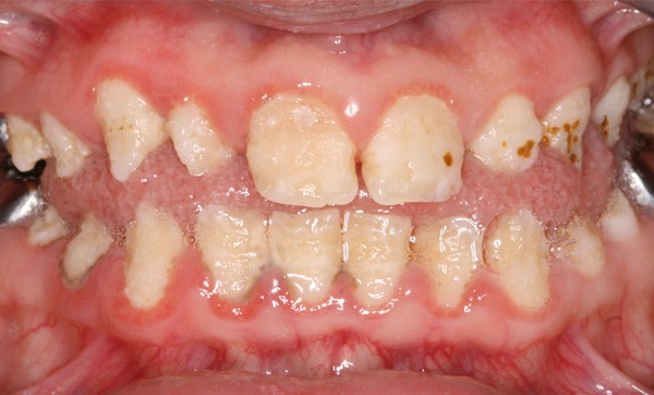
Sur le plan phénotypique, il existe 4 formes reconnues d’amélogenèse imparfaite : hypoplasique, hypomature, hypominéralisée et mixte [6]. La forme hypoplasique est caractérisée par un émail d’épaisseur réduite, dont la surface peut présenter des puits ou des fissures. Dans la forme hypominéralisée, l’émail est friable, décoloré et s’élimine rapidement. Dans le type hypomature, l’émail a un aspect opaque et crayeux. Ces défauts amélaires peuvent être associés à des problèmes éruptifs, une attrition sévère, une perte de dimension verticale d’occlusion (DVO) et des problèmes de béance [7]. Si les complications les plus sévères se rencontrent dans la forme hypominéralisée, les doléances esthétiques sont toujours exprimées par les patients, quelle que soit la forme d’amélogenèse imparfaite [8]. Radiologiquement cette affection se manifeste par des couronnes de morphologie altérée, parfois une disparition de la couche d’émail ou un émail de densité similaire à celle de la dentine.
Reposant sur l’examen clinique et radiographique, le diagnostic est parfois difficile du fait de la variabilité des caractères phénotypiques [9]. Il doit pourtant être réalisé précocement, afin de débuter idéalement le traitement en denture lactéale [10]. Le traitement esthétique et fonctionnel varie en fonction de la sévérité de l’atteinte : reconstitutions coronaires partielles (composites, inlays, facettes)…
Prise en charge « sociale » de l’amélogenèse imparfaite
- Par
- Publié le . Paru dans Stratégie Prothétique n°5 - 30 novembre 2017 (page 333-341)
Quels sont les types d’amélogenèse imparfaite ?
Comment envisager le traitement d’une jeune patiente en détresse psychologique et de condition précaire ?
Pourquoi et comment entreprendre les étapes prothétiques ?
Comment envisager le traitement d’une jeune patiente en détresse psychologique et de condition précaire ?
Pourquoi et comment entreprendre les étapes prothétiques ?
Cet article est réservé aux abonnés.
Pour lire la suite :
Vous êtes abonné.e ?
Connectez-vous
Pas encore abonné.e ?
Abonnez-vous
Abonnez-vous pour recevoir la revue et bénéficier des services en ligne et des avantages abonnés.
Vous pouvez également :
Acheter le numéro
À l'unité