Cas clinique
Traumatisme bucco-dentaire chez un enfant de 7 ans
► Un garçon de 7 ans se présente aux urgences dentaires pour un traumatisme bucco-dentaire survenu 48 heures auparavant au domicile. Il est accompagné de sa mère.
► L’anamnèse médicale ne relève aucun antécédent médical, ni allergies, ni traitements en cours. La vaccination antitétanique est à jour.
► L’examen exo-buccal ne montre aucune lacération des lèvres ni œdème ou hématome.
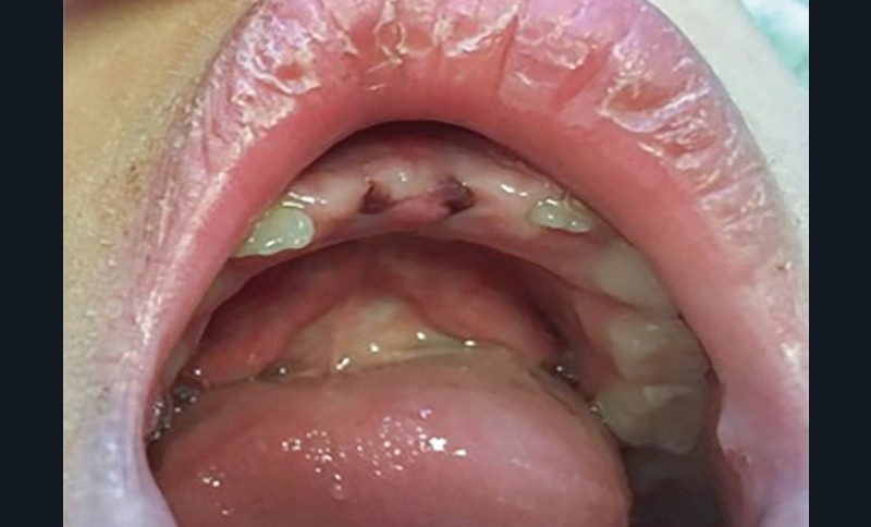
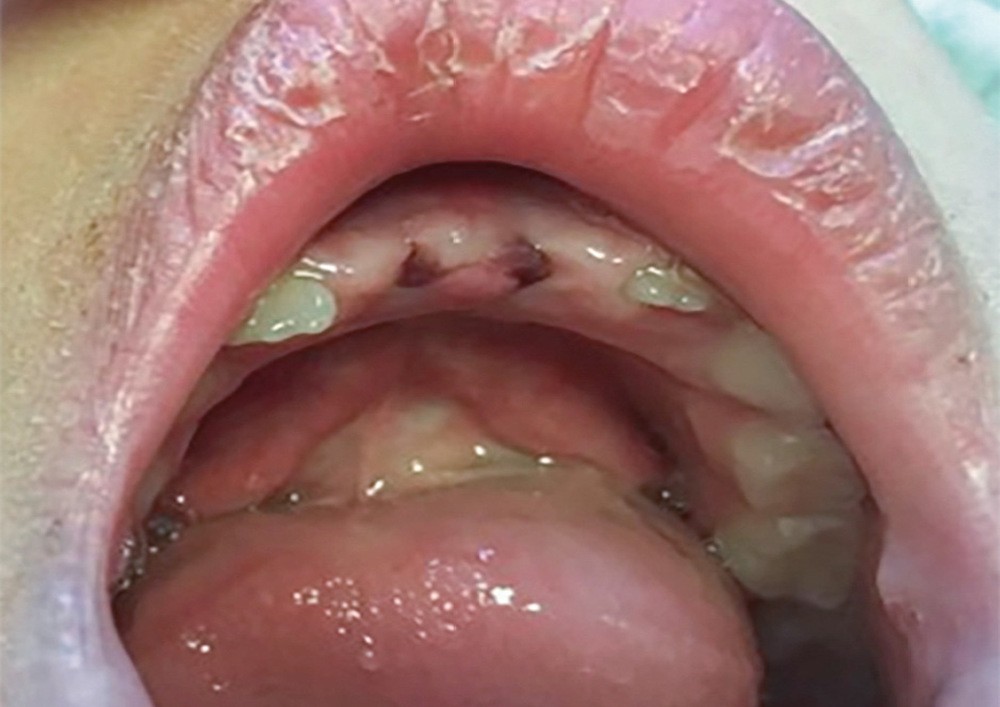
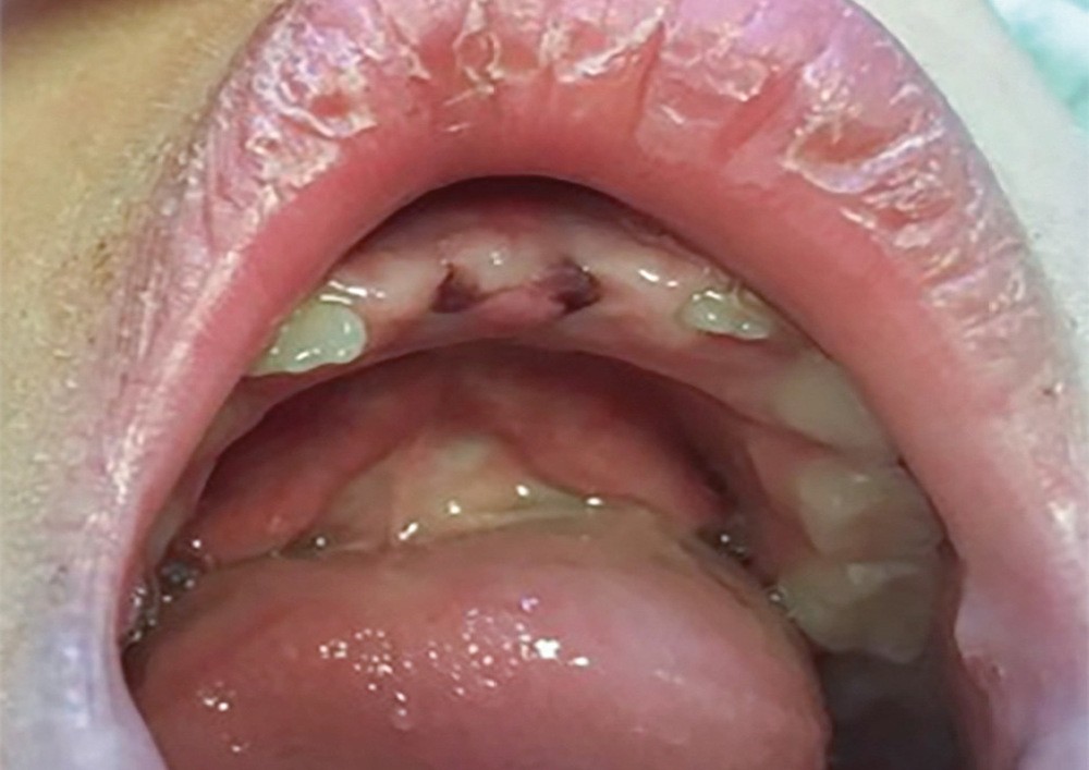
► L’examen endo-buccal montre une absence de 31/41 sur l’arcade (fig. 1). Celles-ci sont conservées dans du sérum physiologique dans un verre depuis seulement quelques heures (fig. 2).
► Un coagulum est présent dans chaque alvéole. Les dents sont examinées pour vérifier qu’il s’agit bien de dents permanentes et observer leur intégrité. Concernant l’état du desmodonte, il a disparu de plusieurs zones de la surface radiculaire.
► La radiographie rétro-alvéolaire réalisée en examen complémentaire montre deux alvéoles vides sans présence de débris (fig. 3). Il ne semble pas utile de compléter les examens par une radiographie occlusale qui doit être réalisée en cas de suspicion d’intrusion, de fracture de racine, de fracture alvéolaire ou de fracture de la mâchoire.
► Le diagnostic est une expulsion totale de 31 et 41 immatures par un fil élastique avec lequel l’enfant jouait, attaché d’un côté aux dents et de l’autre au radiateur.
Décision thérapeutique
Selon les recommandations internationales, la décision de réimplantation doit être prise en fonction de deux facteurs : la maturité de la dent et l’état du desmodonte. Ce dernier dépend de l’état des cellules desmodontales qui peuvent être classées comme non viables puisque le temps extra-oral est supérieur à 60 minutes quel que soit le milieu de conservation.
La décision de réimplanter est toujours la bonne décision…


