L’apparition et la démocratisation de l’implantologie ont diminué les indications de PAP composite. Toutefois, dans certaines situations, conserver quelques dents et réaliser un échafaudage prothèse conjointe/prothèse amovible permet à la fois de restaurer les arcades dentaires du patient et d’éviter de passer par des étapes chirurgicales (nécessitant de longues périodes de cicatrisation et difficilement compatibles avec certains antécédents). En procédant par étapes et via plusieurs étapes de contrôle, nous permettons à la fois une solution de temporisation à court terme et l’évolution du plan de traitement. Notamment lorsque celui-ci est complexe et dépend de la réussite ou non des premières thérapeutiques mises en œuvre.
Présentation du cas clinique
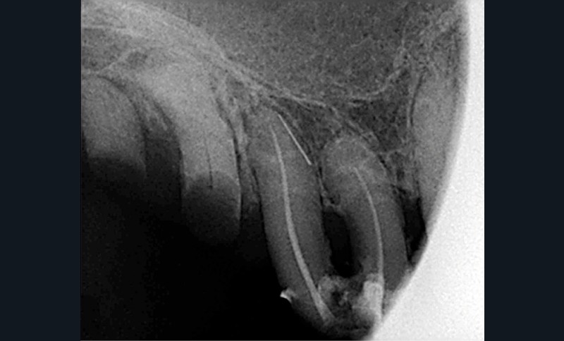
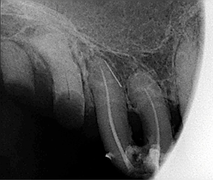
Un patient de 84 ans, en bon état de santé générale, consulte pour la perte de trois couronnes solidarisées métalliques 17, 16 et 15 qui permettaient la rétention d’une PAP à châssis métallique (fig. 1 à 5).
L’examen clinique permet de mettre en exergue, au maxillaire :
– 17, 16 sont à l’état de racines, 15 est déjà préparée et ne présente aucune symptomatologie pulpaire ;
– 13 est intacte ;
– 12 est couronnée et présente une mobilité importante et un épaississement ligamentaire ;
– 11 est couronnée ;
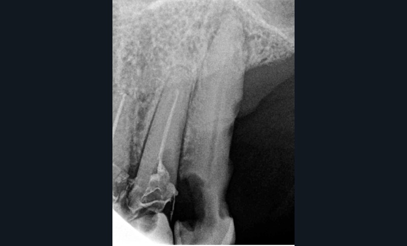
– carie radiculaire importante à la 21 ;
– 22 est couronnée et présente également une carie radiculaire ;
– 13 est très cariée et présente une alvéolyse dépassant le tiers apical de la racine.
À la mandibule, nous notons que :
– les dents 45, 46, et 47 sont absentes ;
– la dent 37 est liée à 36 par un jonc retenu dans un composite et présente une image apicale et une alvéolyse distale dépassant le tiers de la racine. L’édentement n’a jamais été compensé.
Le patient est fumeur depuis plusieurs dizaines d’années. Nous relevons plusieurs…




