Le succès d’une restauration prothétique, qu’elle soit fixe ou amovible, unitaire ou multiple, repose sur des exigences fonctionnelles mais aussi, et surtout à l’heure d’un biomimétisme toujours plus poussé, sur des critères esthétiques. Ceux-ci se sont d’abord attachés à une reproduction fidèle des tissus dentaires minéralisés (« le White Esthetic Score ») jusqu’à atteindre un naturel quasi parfait. Progressivement s’est imposée la gestion et/ou reproduction des tissus parodontaux (« le Pink Esthetic Score »), en particulier lors de pertes de substances tissulaires ostéo-muqueuses importantes.
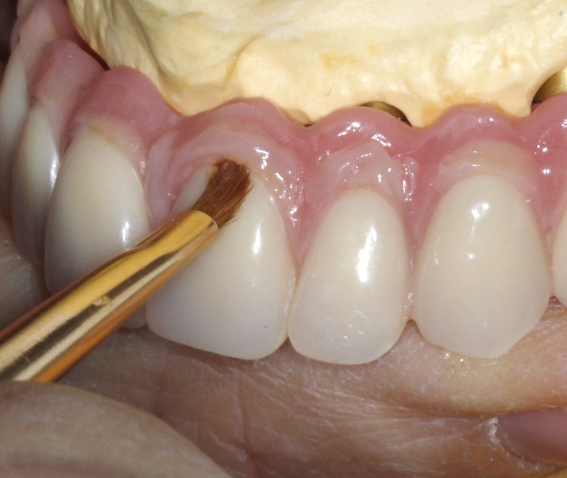
Parmi les artifices actuels, les résines acryliques traditionnelles, les céramiques et les résines composites permettent cette compensation tissulaire. Ce dernier matériau semble constituer une option appropriée en prothèse implantaire (1) et sa mise en œuvre sera illustrée par un cas clinique de réhabilitation complète implantoportée.
DE LA MACRO-ANATOMIE PARODONTALE à LA RÉALISATION PROTHÉTIQUE
Afin de reproduire le plus fidèlement possible les tissus gingivaux, une description anatomique, certes non exhaustive, du parodonte sain s’impose (fig. 1).
Celui-ci se compose de trois parties : la gencive marginale, la gencive attachée et la muqueuse alvéolaire (2).
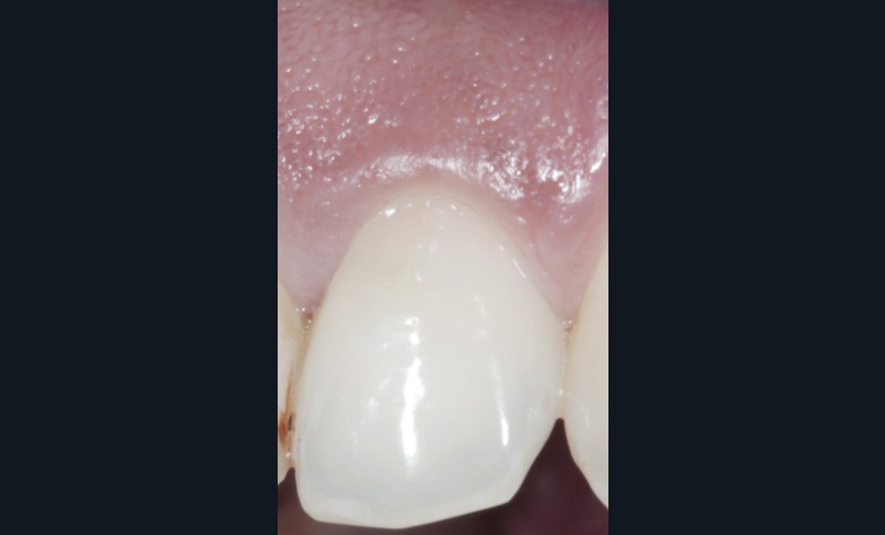
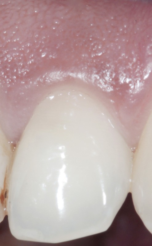
La gencive marginale constitue la première portion bordant directement la dent ; elle délimite le sillon gingivodentaire. La réunion de deux portions adjacentes donne naissance à une papille interdentaire. De couleur rose pâle le long du collet de la dent, elle s’assombrit légèrement au niveau des papilles. Sa texture est lisse et brillante. Son volume est régulier et apparaît bombé de profil ; elle s’étend sur une hauteur de 1 à 1,5 mm.
La gencive attachée s’étend apicalement à la gencive marginale jusqu’à la ligne de jonction mucogingivale. De couleur rose pâle et de texture granitée…
