En raison de l’augmentation de l’espérance de vie, le nombre de patients édentés continue d’augmenter malgré les progrès de prévention et de traitements (1). Chez ces séniors, la technologie de Conception et Fabrication Assistées par Ordinateur (CFAO) permet désormais la réalisation de prothèses amovibles complètes (2, 3 ,4). Les acteurs du marché de la CFAO mettent en avant plusieurs avantages à la fois pour le patient, le praticien et le laboratoire. En effet lors des derniers salons de l’IDS, d’Aria CAD-CAM et de l’ADF, les sociétés spécialisées rapportent une plus grande rapidité d’exécution et un confort de travail pour le prothésiste, avec une précision accrue.
Ces prothèses CFAO répondent-elles aux critères mécaniques et biologiques d’une prothèse complète? Sont-elles mieux adaptées en termes de précision qu’une prothèse conventionnelle? Nous proposons d’apporter certaines réponses à travers la présentation d’un cas clinique réhabilité par une prothèse complète CFAO mais également par une prothèse conventionnelle pour comparaison.
PREMIERE ETAPE
Observation clinique et enregistrements d’informations initiales
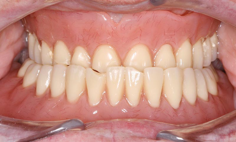
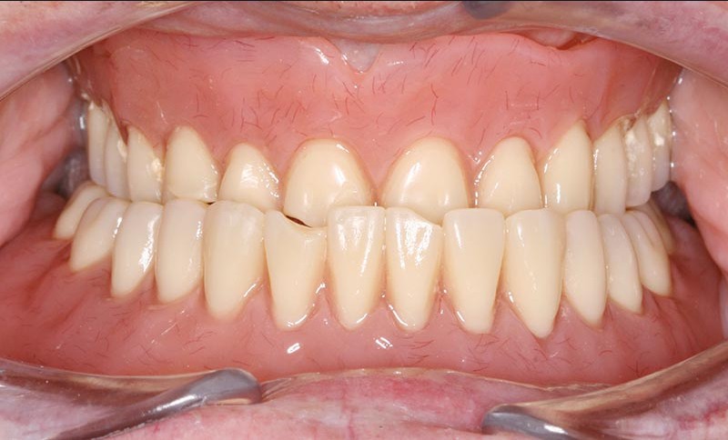
Le patient consulte pour la confection d’une nouvelle prothèse. Sa doléance principale est une fonction masticatrice peu efficace et un profil esthétique qui s’est dégradé au cours du temps (fig. 1a et b). Agé de 77 ans, il est porteur de prothèses complètes réalisées 15 ans plus tôt à la suite d’extractions multiples. L’examen clinique met en évidence quelques zones muqueuses irritées au fond de la zone vestibulaire antérieure maxillaire et mandibulaire (fig. 1c et d). L’examen des prothèses révèle une usure importante des dents, tout particulièrement dans le secteur antérieur (fig. 1e et f).
Aucune douleur musculaire ou articulaire n’est à noter malgré une dimension verticale (DV)…





