Un cas clinique transversal
La prothèse complète sur implant nécessite des compétences dans deux techniques souvent bien maîtrisées, la prothèse complète conventionnelle et la prothèse sur implants [1-3]. Que le choix se fasse entre la prothèse fixée ou la prothèse stabilisée, les exigences sont les mêmes en ce qui concerne les protocoles prothétiques, et même chirurgicaux : critères esthétiques et fonctionnels de réussite d’une prothèse complète, bilan pré-implantaire et planification de la chirurgie, technique chirurgicale sûre et adaptée.
L’évolution à long terme de nos traitements est exposée aux risques mécaniques prothétiques, mais aussi aux péri-implantites. Ces dernières peuvent dans certains cas entraîner des pertes osseuses majeures, en plus de compromettre la survie prothétique. Nous verrons à travers ce cas clinique la coordination entre la chirurgie maxillo-faciale, l’implantologie et la prothèse dentaire au sein du même service. La technique de réalisation des prothèses complètes et d’un bridge complet sur implant sera détaillée.
Cas clinique : synopsis et indications chirurgicales
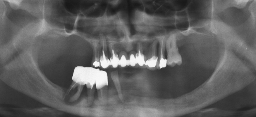
Il s’agit d’une patiente de 64 ans n’ayant pas d’antécédent particulier, qui est prise en charge dans le service de chirurgie maxillo-faciale du CHU de Nantes pour une situation dentaire préterminale au niveau maxillaire et mandibulaire (fig. 1).

Traitement de première intention
Le projet initial était de stabiliser des prothèses complètes sur quatre implants, sur chaque maxillaire.
Les implants mandibulaires ont été posés en septembre 2009 en un temps chirurgical sans mise en charge immédiate. La prothèse complète a été réalisée avec des cavaliers attachés à des barres de…