La prothèse fixée regroupe un ensemble de moyens thérapeutiques dont les buts sont de restaurer des dents délabrées, remplacer des dents absentes, immobiliser une ou plusieurs dents mobiles [1,2]. Elle se présente sous plusieurs formes cliniques [3,4] selon le nombre d’éléments (unitaire ou plurale), en fonction de la partie de la dent concernée par la restauration (coronaire ou corono-radiculaire), par rapport au matériau de restauration (métallique, métallo-cosmétique ou cosmétique), en fonction du moyen de fixation (scellée, collée ou vissée) et selon le pilier (prothèse dento-portée ou implanto-portée).
Les indications sont liées à plusieurs facteurs, principalement cliniques : état général du patient, état bucco-dentaire permettant d’apprécier la valeur intrinsèque et extrinsèque des dents piliers. La situation socio-économique du patient est également prise en compte.
La fixité de la prothèse permet une adaptation rapide et procure un confort et une « guérison » psychique du patient, tout en lui donnant une plus grande efficacité masticatoire.
Pour atteindre ces objectifs, une conception rigoureuse doit présider à sa réalisation. Les impératifs de conception sont d’ordre biologique, occluso-fonctionnel, esthétique et psychologique. La réalisation doit se conformer aux phases classiques du traitement prothétique [5], à savoir :
- une phase pré- prothétique qui permet une préparation psychologique du patient et la mise en état préalable de la cavité buccale, et prépare le cadre biologique, occluso-fonctionnel et esthétique de la prothèse ;
- une phase per-prothétique qui regroupe l’ensemble des étapes de réalisation de la prothèse, depuis les préparations jusqu’au scellement définitif des éléments prothétiques ;
- une phase post-prothétique, pour le suivi et l’évaluation des acquis thérapeutiques.
Le but de cet article est de proposer, à travers un cas clinique, la démarche diagnostique et thérapeutique inhérente aux restaurations de prothèse fixée de grande étendue.
Démarche diagnostique
Entretien clinique
Une patiente âgée de 55 ans, vient consulter pour des fractures répétées de son bridge transitoire maxillaire réalisé deux mois auparavant.
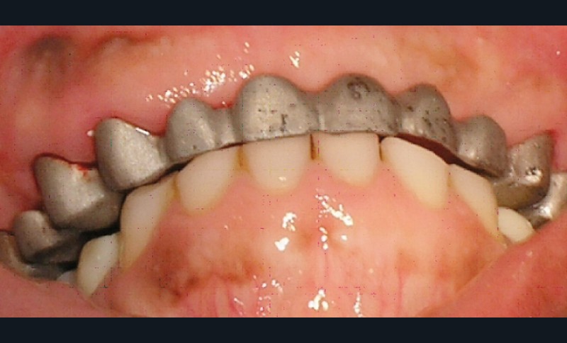
Lors de l’interrogatoire, elle déclare porter un bridge céramo-métallique, qui se descelle très souvent. Ce bridge de grande étendue a été réalisé deux ans avant notre consultation. Cela a conduit la patiente à la réfection de cette prothèse d’usage dans un autre cabinet, qui du reste a confectionné une prothèse transitoire fixée au maxillaire. Cependant, les fréquentes fractures du bridge transitoire, la sensibilité pulpaire de la 13, l’inconfort masticatoire et le déficit esthétique constituent les principaux motifs de cette nouvelle consultation. Par ailleurs, la patiente avoue être angoissée par la rapide dégradation de sa situation dentaire, en dépit des soins prodigués durant ces trois dernières années. Parmi ses doléances, elle manifeste peu d’enthousiasme pour les solutions implantaires.
Antécédents prothétiques
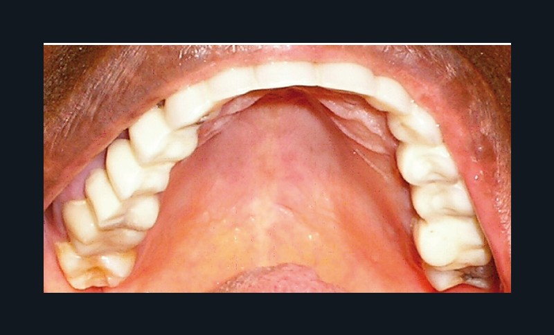
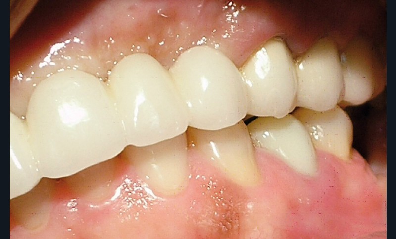
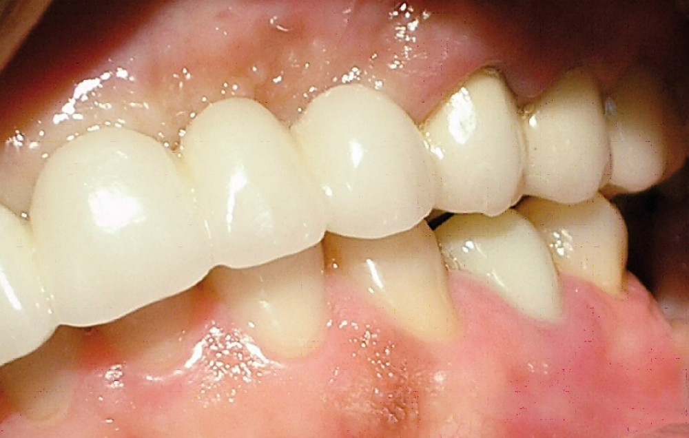
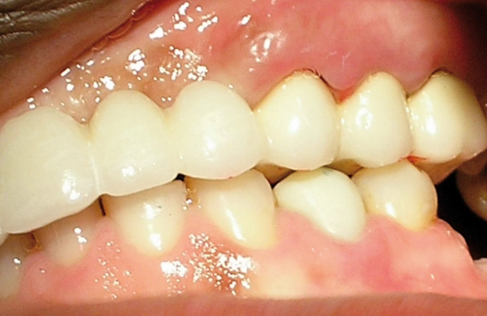
La patiente a été porteuse d’un bridge céramo-métallique de onze éléments au maxillaire pendant huit mois (fig. 1, 2), puis d’un bridge transitoire au maxillaire (fig. 3). Elle signale quelques rares épisodes de saignement probablement dus à l’irritation par la prothèse. Cette dernière se descelle couramment, créant ainsi un préjudice fonctionnel, esthétique et psychologique.
Examens
- Examen exobuccal : la patiente présente une symétrie faciale. L’examen musculaire est asymptomatique et montre une tonicité marquée. Aucun trouble des articulations temporo-mandibulaires (ATM) de type douleur ou bruit n’est décelé. La cinématique mandibulaire est normale. Toutefois, la patiente masque volontairement son sourire, évitant de découvrir sa denture.
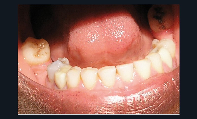
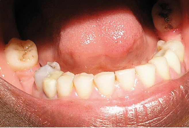
- Examen endobuccal : l’hygiène buccale est satisfaisante. Cependant, nous notons la présence d’un bridge transitoire fracturé au niveau de la 13 (fig. 3).
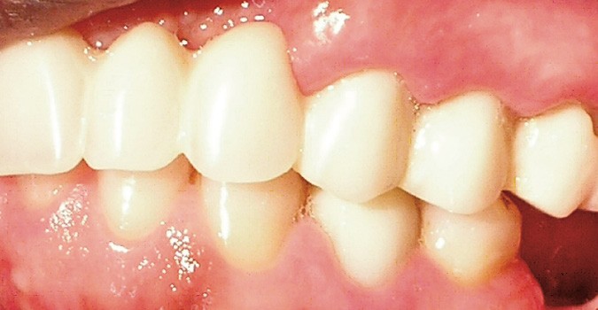
L’examen dentaire ne montre pas de mobilité dentaire. À l’arcade maxillaire, les dents 11, 14, 21, 22, 23 sont absentes. Les dents 13, 15, 24, 25 sont à l’état de racine (fig. 4). Nous notons des reconstitutions coronaires à l’amalgame sur les 26 et 16. À l’arcade mandibulaire, les dents 37, 36, 46, 47 sont absentes et une obturation coronaire à l’amalgame sur 38 est en place. Les bords libres du groupe incisivo-canin et les cuspides des prémolaires sont légèrement abrasés (fig. 5).
L’examen occlusal met en évidence une classe I d’Angle canine, un calage molaire insuffisant, une OIM instable, un plan d’occlusion perturbé et un guidage antérieur afonctionnel.
- Examen radiographique : l’orthopantomogramme ne révèle aucune lésion apicale (fig. 6). Les traitements endodontiques semblent corrects. Des ancrages corono-radiculaires sont visibles sur 34 et 44.
Diagnostic
La collecte des données physiques et complémentaires révèle, au maxillaire, l’existence d’un édentement de classe III Kennedy-Applegate, modification 1 (antérieure) et un important délabrement coronaire de la 15, 13, 23, 24 ; à la mandibule, la présence d’un édentement de classe III Kennedy-Applegate, modification 1.
Démarche thérapeutique
Objectifs de traitement
Face à cette anomalie, il est nécessaire de mettre en place un traitement dont les buts sont, d’une part d’assurer une fonction occlusale optimale par la construction d’une occlusion statique et dynamique équilibrée, et d’autre part de rechercher une harmonie du visage et un alignement satisfaisant de la denture avec des contacts dentaires interproximaux convenables [6-9].
Propositions thérapeutiques
Différentes solutions thérapeutiques sont envisageables. Elles sont expliquées à la patiente, en précisant leurs avantages et inconvénients, leurs durées et leurs coûts respectifs.
- À l’arcade maxillaire, la première solution consiste en une prothèse fixée implanto-portée. Les avantages sont le confort psychologique, l’esthétique et le fait que les dents adjacentes seraient intactes ; les inconvénients concernent la durée du traitement, le coût financier élevé et la séance chirurgicale redoutée.
La deuxième solution est une prothèse composite, ce qui impose la confection de couronnes sur toutes les dents délabrées associées à une prothèse partielle adjointe métallique. On note comme points positifs l’esthétique, la réversibilité et le faible coût. En revanche, le confort est réduit par rapport à la première solution.
La troisième solution est un bridge de grande étendue dento-portée. Les avantages sont l’esthétique, le confort, le contexte clinique, biologique, occluso-fonctionnel favorable, et les possibilités techniques et financières raisonnables.
La dernière solution semble être un choix raisonnable. - À l’arcade mandibulaire, la première solution consiste en une prothèse fixée sur quatre implants remplaçant les quatre molaires absentes. Cela apporterait un confort psychologique et une esthétique, mais engendrerait un long traitement, un coût financier élevé et la séance chirurgicale redoutée. La deuxième solution est un bridge à appui dentaire sur les dents bordant l’édentement. Les avantages sont l’esthétique, le confort et la pérennité. En revanche, cette solution implique une mutilation des dents voisines saines et un coût financier élevé. La troisième solution est une prothèse adjointe partielle à châssis métallique. Elle a l’avantage d’être esthétique, réversible et d’un coût faible, mais le confort s’en trouve réduit.
Décision thérapeutique
En tenant compte de l’exposé des différentes solutions thérapeutiques et en accord avec la patiente, le choix prothétique retenu est, au maxillaire, un bridge céramo- métallique, et à la mandibule, une prothèse amovible partielle à infrastructure métallique (PAPIM).
Séquences de traitement
Première étape : conception prothétique
Choix des piliers du bridge : l’analyse du descellement intempestif du bridge céramo-métallique et de la fracture du bridge transitoire nous amène à remarquer que :
- le nombre de dent piliers (16, 15, 13, 12, 24, 25, 26) est supérieur au nombre de dents absentes (14, 11, 21, 22 et 23). Cependant, les valeurs intrinsèque et extrinsèque des piliers sont peu élevées ;
- la répartition topographique des piliers est inégale et asymétrique (16, 15, 14 et 12 sont à droite contre 24, 25 et 26 à gauche) ;
- l’édentement antérieur est trop important par rapport au nombre de piliers postérieurs favorisant ainsi la flèche antérieure plus élevée.
D’où la nécessité d’augmenter le nombre de piliers, d’assurer une répartition topographique plus équilibrée, d’accroître la valeur des piliers à l’état de racine. Par conséquent, les 16 et 26 sont ajoutées aux piliers déjà préparés pour obtenir sept piliers (quatre à droite et trois à gauche) pour six intermédiaires de bridge.
Les 16 et 26 sont des appuis postérieurs supplémentaires, qui augmentent la résistance contre la valeur de la flèche et du moment de renversement de la courbe antérieur. Des reconstitutions corono-radiculaires coulées (RCRC) sont effectuées pour tous les autres piliers sauf la 12 conservée pulpée.
Analyse sur articulateur : les moulages d’étude transférés par le biais d’un arc facial sur articulateur semi-adaptable à la bonne dimension verticale d’occlusion sont analysés.
La grande étendue de l’édentement antérieur est marquée par l’absence du guide antérieur.
La relative faible valeur ostéo-parodontale de certains piliers milite pour le choix d’une occlusion de protection de groupe postérieur. Ce schéma occluso-fonctionnel présente l’avantage de repartir les forces occlusales en latéralité.
- Cire de diagnostic : le wax-up, ou cire de diagnostic, a été effectué (fig. 7). Ce guide référentiel thérapeutique permet de concrétiser le projet prothétique d’un point de vue esthétique et fonctionnel ; il constitue un outil indispensable de communication à la triade patient/praticien/prothésiste [10-12].

Deuxième étape : confection des prothèses
Réalisation des restaurations corono-radiculaires coulées : l’empreinte pour les RCRC sur les 15, 14, 24, 25 et 26 est réalisée selon la wash technique (fig. 8).
Les maquettes en cire pour inlay-core sont ensuite confectionnées (fig. 9). Les inlay-cores sont scellés en bouche (fig. 10), puis une prise d’empreinte des piliers est effectuée selon la wash technique (fig. 11).
La prothèse transitoire issue du wax-up est posée (fig. 12a-d). Elle constitue une véritable proposition thérapeutique au plan occluso-fonctionnel, parodontal, esthétique et psychologique.
Confection de la prothèse d’usage : la prothèse transitoire est restée deux mois en bouche, jusqu’à l’intégration fonctionnelle et la satisfaction esthétique de la patiente [13,14]. Puis, la prothèse d’usage est confectionnée, en commençant par la réalisation de l’armature métallique au laboratoire (fig. 13a-h).
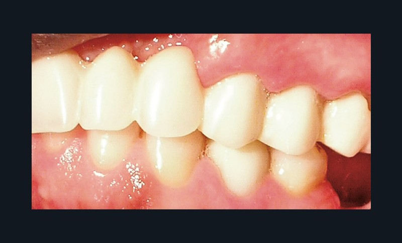
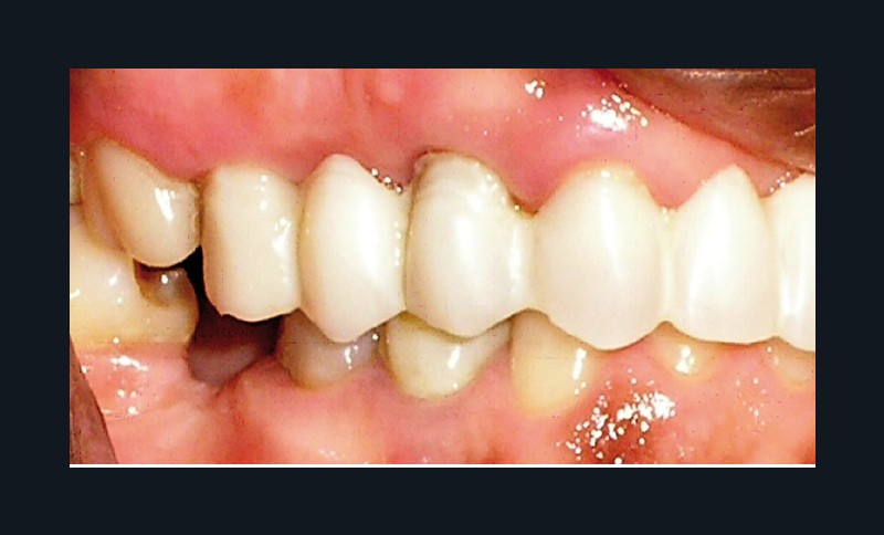
La phase suivante consiste à l’essayage clinique des armatures qui permet de contrôler la précision de leur adaptation cervicale, les épaisseurs métalliques et l’ouverture des embrasures (fig. 14) [15].
Un nouvel enregistrement occlusal est ensuite réalisé (fig. 15, 16). Ce qui permet la réalisation du premier biscuit (fig. 17a, b), suivie de son essayage clinique occluso-fonctionnelle et esthétique (fig. 18a, b).
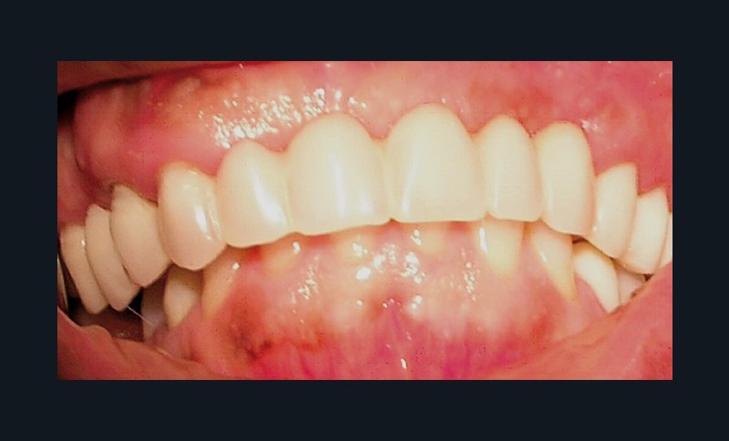
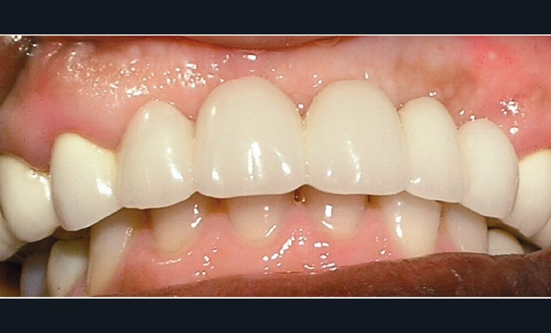
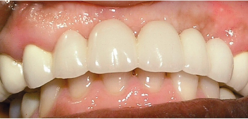
Scellement de la prothèse fixée : la phase de l’essayage étant validée, le bridge d’usage est glacé (fig. 19), puis réessayé et avant d’être scellé au ciment verre ionomère modifié par adjonction de résine. Les conseils d’usage de maintenance de la prothèse fixée sont donnés à la patiente.
Contrôle et maintenance : la patiente a été revue une semaine plus tard, puis à un mois, et ensuite six mois après le scellement pour les contrôles(fig. 20). Elle est satisfaite, aussi bien sur le plan esthétique que fonctionnel, en adéquation avec ses attentes.
Conclusion
L’objectif majeur du traitement, en accord avec le motif principal de consultation, est de reconstituer les dents délabrées et de restaurer un sourire agréable. Cela passe par une restauration globale de l’arcade maxillaire et partielle de la mandibule de façon à rétablir la DVO tout en recréant des courbes de compensation occlusales.
Ces objectifs doivent être en adéquation avec les aspects techniques, biologiques, mais également psycho-sociologues exacerbé chez cette patiente qui commence à perdre confiance en elle et envers les chirurgiens-dentistes.
Face à une restauration prothétique fixée de grande étendue, la réalisation d’un projet prothétique réfléchi et bien construit est indispensable pour l’ensemble des acteurs de cette réhabilitation, mais également pour le patient. Il est de notre devoir d’informer puis de conseiller le patient pour aboutir, avec son assentiment, à la solution la mieux adaptée à sa situation clinique. Le traitement qui résulte de cette démarche doit ensuite être conduit dans le respect d’un plan de traitement bien codifié.

































Commentaires