Prothèses implanto-stabilisées : clinique

  • Par
  • Publié le . Paru dans Stratégie Prothétique n°2 - 15 avril 2017 (page 125-134)
Information dentaire
Pourquoi choisir le matériau PEEK pour les PMPIS ?
Comment procéder aux étapes cliniques ?
Que constate-t-on lors de la réévaluation de ce cas ?

DÉCISION THÉRAPEUTIQUE

Après la période d’ostéointégration, la troisième étape clinique peut débuter. Concernant ce patient, le choix de PMPIS, et non de réhabilitations supra implantaires fixes, s’est établi sur des critères cliniques et non des impossibilités techniques strictes.
1. Au regard de la reconstitution de l’anamnèse du patient, son principal motif de perte dentaire a été l’étiologie parodontale qui l’a amené en l’espace de 16 ans à la perte de ses dents. Si les conditions buccales extrinsèques ont changé, les conditions intrinsèques demeurent les mêmes et la susceptibilité parodontale reste présente dans nos décisions thérapeutiques et nous fait privilégier, dans un tel cas, les solutions susceptibles d’assurer des conditions de maintenance aisée [1-6].
2. Le second élément décisionnel est la nécessité de soutien des tissus labiaux et jugaux afin de préserver le morphotype bi-pro-alvéolaire de ce patient [7-12].
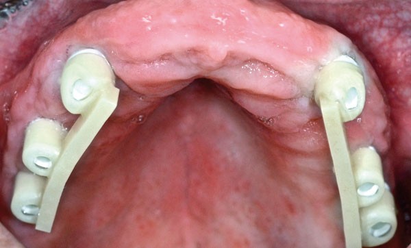
3. Le fil conducteur du protocole thérapeutique choisi est d’opter pour une restauration physiologique, esthétique, fonctionnelle sécurisante et durable. Dans ce cadre, notre choix pour la PMPIS s’est porté sur une prothèse réalisée sur piliers télescopiques individuels [13-21]. L’utilisation de tels attachements est répandue en Suisse, en Allemagne, dans les pays anglo-saxons et au Japon mais reste limitée voire confidentielle en France [22, 23].
Ce sont des attachements non résilients.
Ils constituent des guides de positionnement et assurent la stabilité des overdentures par friction passive : la rétention des overdentures est déléguée aux implants et non aux muqueuses.
Le comportement de ces restaurations s’apparente davantage à celui des overdentures stabilisées par barre et à celui des restaurations supra-implantaires fixes qu’à celui des overdentures réalisées sur des attachements résilients type Locator [21].
Une répartition symétrique et antéropostérieure des…

Cet article est réservé aux abonnés.
Pour lire la suite :

Vous êtes abonné.e ? Connectez-vous
Mot de passe
oublié ?

Vous pouvez également :

Acheter l'article En version numérique
Acheter le numéro À l'unité

Thèmes abordés