Dans cet article, nous allons tenter de préciser les étapes fondamentales de la conception et de la réalisation d’une PACTIR. Lors de ces dernières, le prothésiste peut choisir d’avoir recours à plusieurs procédés de fabrication.
à travers un cas clinique, nous décrirons donc les étapes clés pour le praticien et les divers procédés de fabrication au laboratoire pour mener à bien le traitement.
Anamnèse et proposition thérapeutique
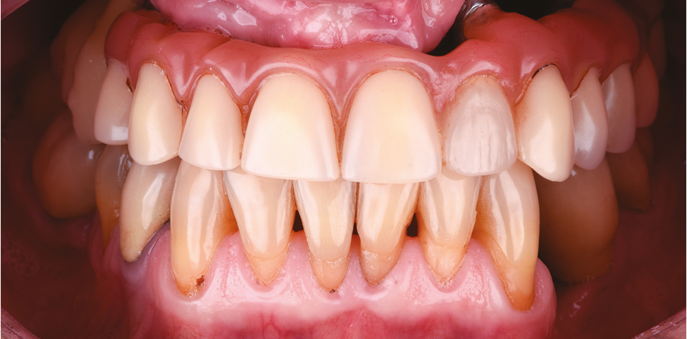
Un patient âgé de 60 ans, maquilleur professionnel, fumeur en bonne santé, consulte pour une prise en charge de sa prothèse implanto-portée maxillaire (fig. 1). À la première consultation, il présente au maxillaire un bridge implanto-porté (barre titane recouverte de dents en résine et fausse gencive) de 14 à 27 et deux couronnes unitaires sur implants en position de 15 et 16. Tous les implants présentent des signes plus ou moins importants de péri-implantites. Après plusieurs tentatives pour endiguer les lésions péri-implantaires, le patient conserve 4 implants en position de 13, 14, 15 et 16. Le bridge de 14 à 27 sert à ce stade de provisoire, car il est uniquement vissé sur deux implants.
À la mandibule, le patient présente des restaurations prothétiques dento-portées et implanto-portées dans les secteurs postérieurs. Le rapport maxillo-mandibulaire et la dimension verticale sont satisfaisants.
Malgré la perte de plusieurs implants, le patient accepte un nouveau traitement implantaire. Toutefois, on observe en différentes zones une forte résorption osseuse ne permettant pas de façon simple la mise en place de nouveaux implants. De plus, le patient est conscient du confort apporté par les solutions fixes implanto-portées, mais aussi de la rigueur nécessaire en termes d’hygiène buccale. Ces solutions fixes peuvent également rendre plus risquée la pérennité des restaurations prothétiques face à la perte d’implants, surtout s’ils sont situés dans…
