Prothèse fixée implantaire : scellement ou vissage ?

  • Par
  • Publié le . Paru dans Stratégie Prothétique n°5 - 15 décembre 2021 (page 350-362)
Information dentaire
  1. Quels sont les avantages et inconvénients de chaque technique ?
  2. Comment optimiser chaque méthode ?
  3. Comment choisir en fonction de la situation clinique ?

    En odontologie, s’il existe certains sujets à discussion, nul doute que celui-ci en fait partie [1] ! Les habitudes de chaque praticien, la formation initiale en fonction du lieu, les informations glanées dans telle ou telle conférence ou lecture… Difficile de se faire une opinion objective et de faire un choix éclairé sur le mode d’assemblage de la restauration.

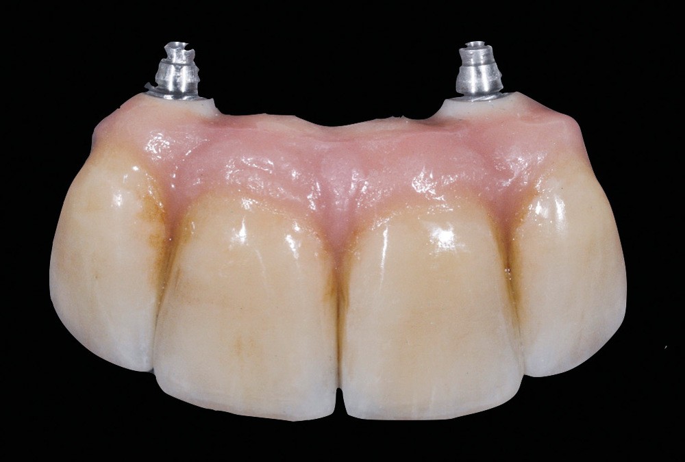
    Or, c’est bien au praticien, en collaboration avec le laboratoire, de choisir le type de prothèse implantaire adapté et de mettre en œuvre des protocoles cliniques rigoureux pour limiter les risques [2]. La conception même des premières réhabilitations implantaires par le Pr Bränemark était uniquement vissée. Les pionniers de l’implantologie, à l’époque chirurgiens et prothésistes à la fois, ont découvert ce type d’assemblage alors totalement différent de la prothèse dentoportée.

    Puis avec l’essor de l’implantologie et le souhait de la rendre accessible aux omnipraticiens, les industriels ont imaginé des solutions techniques s’approchant des habitudes de la prothèse dentaire conventionnelle.

    Ainsi sont nés les piliers implantaires standardisés puis personnalisés, vissés ou le plus souvent transvissés sur les implants, et supportant des couronnes ou bridges scellés. Celle solution s’est vite imposée et a longtemps quasiment éclipsé les solutions vissées, à part en prothèse complète et chez quelques praticiens fidèles au concept initial. Mais les choses changent : les modes de fabrication évoluent avec la CFAO, notamment, la passivité est devenue excellente et reproductible, la résistance des matériaux et leur biocompatibilité augmentent. La recherche sur les connectiques implantaires et les études par éléments finis [3] ont beaucoup modifié les profils et états de surface des pièces implantaires et prothétiques.

    Enfin les systèmes de correction d’axe permettent d’étendre les indications du vissage.

    La prothèse vissée revient…

    Cet article est réservé aux abonnés.
    Pour lire la suite :

    Vous êtes abonné.e ? Connectez-vous
    Mot de passe
    oublié ?

    Vous pouvez également :

    Acheter l'article En version numérique
    Acheter le numéro À l'unité

    Thèmes abordés