Protocole de mise en charge en 36 heures chez l’édenté total

  • Par
  • Publié le . Paru dans L'Information Dentaire (page 18-26)
Information dentaire
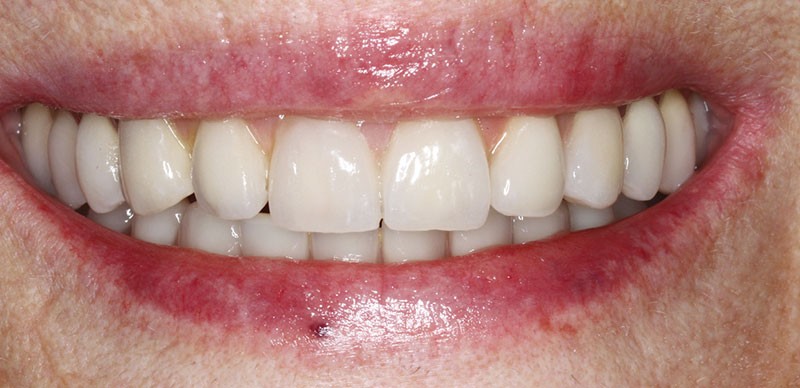
Cet article présente le protocole de mise en charge immédiate en 36 heures que les auteurs appliquent de manière routinière. Le patient est généralement traité le matin à 8 heures et reçoit sa prothèse le lendemain en fin d’après-midi. Cela offre au laboratoire un jour et demi pour élaborer une prothèse complète renforcée. Toutefois, ce protocole requiert une maîtrise dans la transmission des informations relatives au rapport intermaxillaire et à la position des implants. Le cas décrit est l’occasion d’exposer l’approche mise en place ainsi que quelques astuces et tours de main pour faciliter cette transmission et la réalisation de la prothèse d’usage.

De nos jours il est presque inconcevable de proposer un traitement implantaire au patient en voie d’édentement au maxillaire sans inclure une composante de temporisation immédiate. Les avis divergent quant à la définition de « l’immédiateté » de ce type de protocole. Considère-t-on que la mise en charge est immédiate seulement lorsque la prothèse complète est délivrée durant la même séance [6], le même jour [1] ou dans les 24 heures [9] ? Ou cette définition est-elle dictée par la mise en œuvre immédiate de l’étape prothétique au terme de la chirurgie, que la prothèse soit délivrée au patient dans les 36 ou 72 heures [2, 8] ?
Quelle que soit l’opinion du praticien par rapport à cette question au demeurant académique, le protocole doit s’intégrer dans le flux quotidien de l’agenda du cabinet. Il ne doit pas occasionner d’occupation excessive du fauteuil au détriment des autres patients. C’est pourquoi nous considérons qu’il est préférable d’optimiser le temps du praticien en déléguant au maximum les tâches réalisables par le laboratoire de prothèse, même si cela doit différer d’un ou deux jours le moment où le patient reçoit sa prothèse provisoire.
Cette solution exige de savoir préparer les informations à transmettre au laboratoire et de demander au patient d’attendre 24 à 48 heures avant de recevoir sa nouvelle denture. Ce délai est en général bien accepté par les patients en dépit de leur impatience à bénéficier d’une réhabilitation harmonieuse, pour la première fois depuis longtemps.

Une grille spécifique pour l’évaluation clinique
Dans de précédentes publications [3, 4], nous avons décrit une nouvelle grille d’évaluation clinique (GEC) que nous avons associée à un arbre décisionnel (ArDec) dans le but de faciliter la prise de décision thérapeutique lors du traitement de l’édentement unitaire.
Cette GEC passe en revue dix paramètres déterminants dans l’appréciation…

Cet article est réservé aux abonnés.
Pour lire la suite :

Vous êtes abonné.e ? Connectez-vous
Mot de passe
oublié ?

Vous pouvez également :

Acheter l'article En version numérique

Thèmes abordés