Depuis 1999, l’Académie Américaine de Parodontologie a classé les différentes formes de maladies parodontales afin d’universaliser et formuler nos diagnostics, de déterminer la ou les causes de la maladie, d’évaluer son évolution et d’établir un plan de traitement.
Chaque forme de maladie parodontale est caractérisée par des signes cliniques particuliers (mobilité dentaire, saignement, mauvaise haleine…) et est principalement causée par une flore buccale pathogène en association avec des facteurs de risque du patient, comme le tabac, le stress, un diabète non équilibré, rendant ainsi, chaque situation spécifique par son pronostic et son plan de traitement.
Les gingivites induites par la plaque dentaire
Ce sont les formes les plus fréquentes, qui touchent en moyenne 80 % de la population.
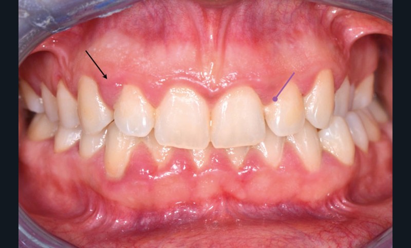
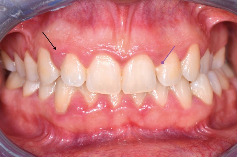
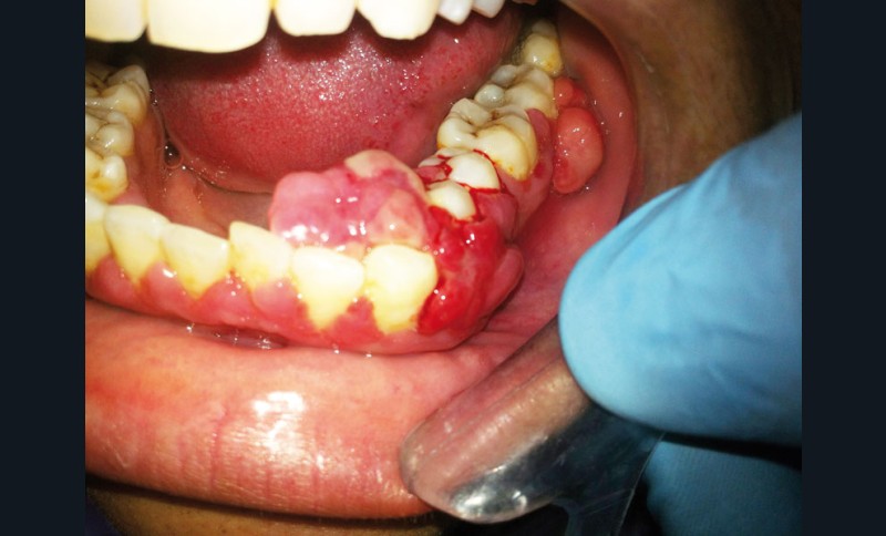
Elles s’identifient par une inflammation gingivale, caractérisée par une gencive rouge, voire violacée, œdématiée, qui saigne au brossage et/ou spontanément (fig. 1).
La spécificité des gingivites est l’absence de perte d’attache (ou de poches parodontales) et de destruction osseuse.
C’est pourquoi elles sont considérées comme réversibles, à condition d’un bon brossage et de détartrages réguliers.
Cas particuliers : les gingivites modifiées par des désordres hormonaux
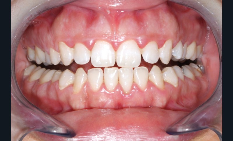
De nombreuses études ont mis en évidence l’influence des hormones sexuelles sur l’inflammation, par la présence de récepteurs au sein du tissu gingival.
Ainsi, lors des périodes de désordres hormonaux, comme la puberté, la grossesse et la ménopause, on observe fréquemment des inflammations exacerbées qui peuvent révéler une susceptibilité de l’hôte aux maladies parodontales. (fig. 2 et 3).
Souvent, les signes cliniques régressent spontanément lorsque…



