SFPIO Rubrique de la Société Française de Parodontologie et d’Implantologie Orale
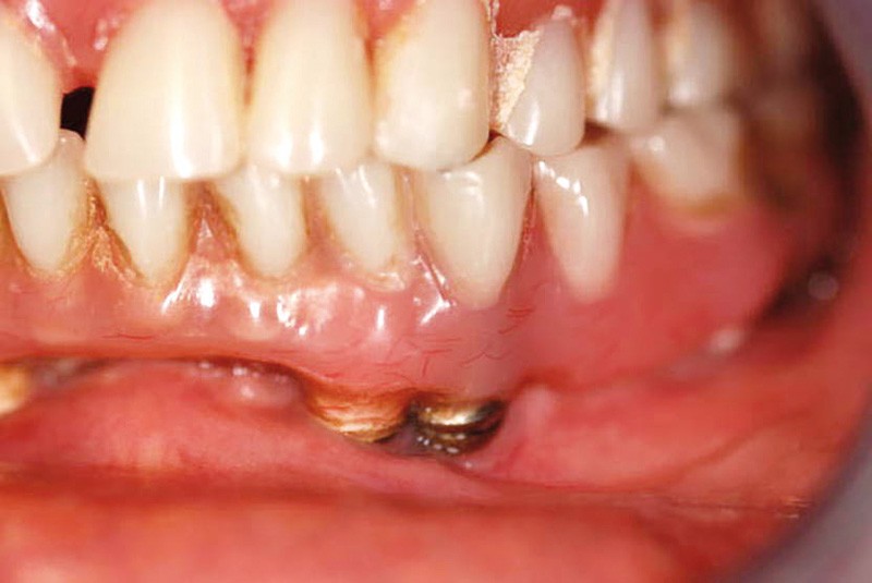
La présence de muqueuse kératinisée autour des implants est-elle indispensable ?
Les études cliniques randomisées répondant à cette question ne sont pas nombreuses. Pour preuve, l’absence d’essai relevée par Esposito en 2012 [2], ou l’impossibilité pour Thoma de réaliser une méta-analyse du fait de la trop grande hétérogénéité entre les études [3]. Plus récemment, Moraschini remet en question la qualité méthodologique de quatre revues systématiques retenues dans Medline (selon les critères AMSTAR) ; il conclut cependant, après analyse, à la corrélation entre une quantité de MK supérieure à 2 mm et des tissus péri-implantaires sains [4].
Ce résultat est en accord avec ceux proposés par Pranskunas en 2016 dans une revue systématique réalisée dans deux bases de données électroniques, Medline et Embase, portant sur des articles de 2011 à 2016 ; sept études cliniques prospectives et une étude rétrospective permettent de montrer que la quantité de muqueuse kératinisée a peu d’importance sur l’inflammation des tissus mous péri-implantaires en présence d’une bonne hygiène orale [5]. L’analyse détaillée de ces études permet de dégager plusieurs observations permettant de mieux cerner notre problématique.
Ainsi, une corrélation a été mise en évidence entre une hauteur de MK adéquate, c’est-à-dire supérieure à 2 mm, et les paramètres de l’inflammation des tissus péri-implantaires, indice de plaque, indice gingival et saignement au sondage, moins élevés qu’en présence d’une hauteur de MK inférieure à 2 mm [6-11]. Cette corrélation entre présence de MK et état de santé péri-implantaire est confirmée par la faible quantité de TNFα, l’un des médiateurs pro-inflammatoires, au niveau créviculaire, l’absence de MK s’accompagnant d’une situation inflammatoire et de la présence importante de TNFa [6].
L’étude du tissu osseux…
