Diagnostic
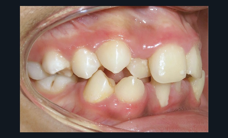
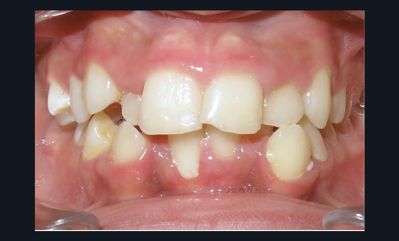
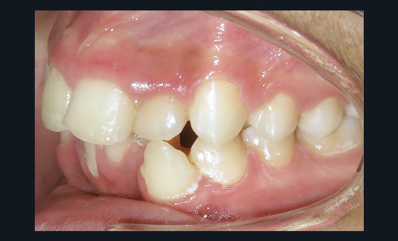
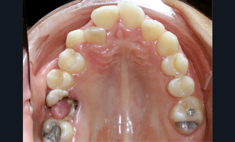
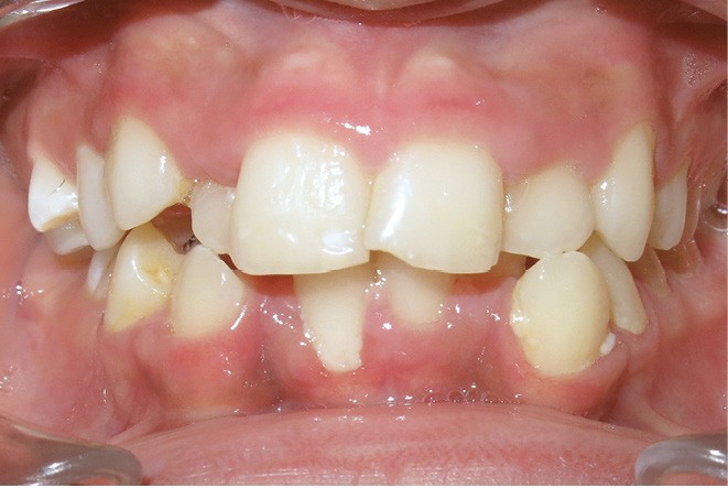
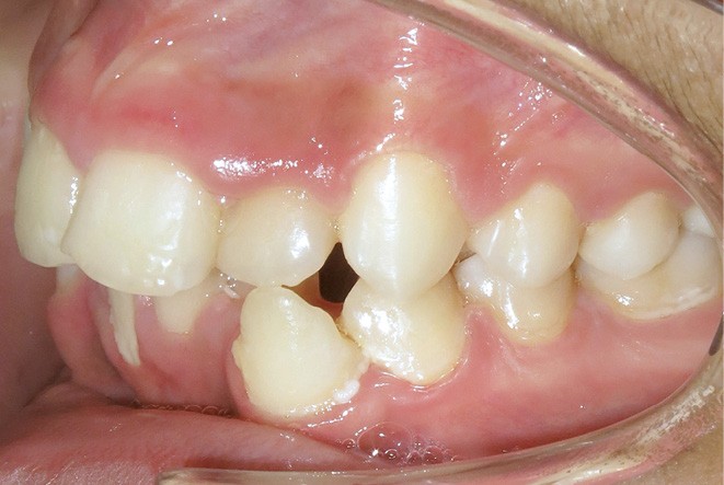
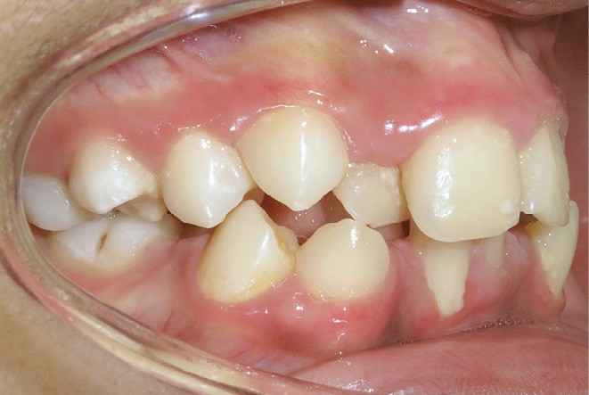
Le niveau d’hygiène est alarmant, car le rituel du brossage des dents n’est pas instauré dans la famille. Des caries se sont développées sur les dents temporaires et en ont imposé l’extraction. Les molaires permanentes ont dérivé mésialement, réduisant l’espace disponible sur l’arcade.
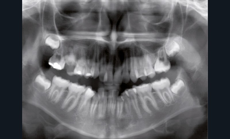
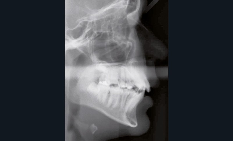
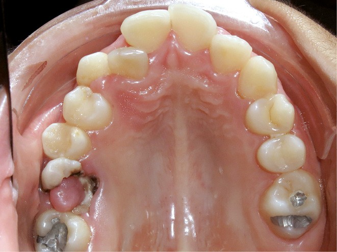
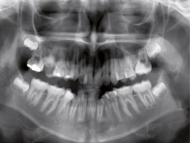
En denture adulte, la DDM est majeure avec un déficit de place estimé de 13 mm à la mandibule. Les lésions carieuses ont aussi touché les premières molaires permanentes maxillaires. La 26 a été avulsée et la 27 a pris sa place. Côté controlatéral, la 16 est fortement délabrée, rendant impossible sa conservation. Les molaires ayant plus mésialé à l’arcade mandibulaire, les rapports occlusaux sont de classe III. Les incisives sont versées vers l’avant, mais nous pouvons considérer qu‘il s’agit d’une biproalvéolie ethnique. Du point de vue squelettique, le patient présente une classe II squelettique par rétromandibulie sur un schéma facial hyperdivergent (fig. 1a-j).
Plan de traitement
Les 16 et 26 étant perdues et les dents de sagesse mandibulaires présentes, la première idée qui vient à l’esprit serait d’extraire le reste radiculaire de la 16 et les 36 et 46. Mais dans ce choix, la gestion du traitement n’est pas simple. En effet :
- Le risque de bowing effect vertical à la mandibule est important. Les 37 et 47 étant mésioversées (courbe de Spee), cette version risque d’augmenter avec des extractions postérieures. Les espaces à fermer étant importants, les portions d’arc non soutenues au niveau des molaires extraites sont étendues, réduisant la rigidité du système à ce niveau. Le nivellement est donc plus difficile à cause du manque de rigidité. À cela s’ajoutent les forces occlusales qui tendent à creuser cette courbe.
- Ce choix impose un traitement de trente mois environ. Cette mécanique…









