Que cache cette gencive ?

  • Par
  • Publié le . Paru dans L'Information Dentaire n°18 - 5 mai 2020
Information dentaire
La gencive peut être le siège de nombreuses lésions localisées se traduisant par une augmentation de volume ; la plupart sont de nature inflammatoire ou infectieuse, directement en rapport avec la gencive ou une pathologie sous-jacente. Dans certains cas, la gencive ne participe pas au processus pathologique ; elle ne fait qu’exprimer ou révéler une affection intéressant initialement les maxillaires.

CAS 1

Motif de la consultation. Patient de 72 ans venu consulter sur les conseils de son hygiéniste dentaire [la prise en charge se déroule en Suisse, Ndlr] qui a remarqué la présence d’une tuméfaction gingivale vestibulaire.

Histoire de la maladie. La lésion a été découverte fortuitement lors de soins d’hygiène bucco-dentaire.

Interrogatoire. Le patient présentait une intoxication alcoolo-tabagique modérée mais il n’avait pas d’antécédents médico-chirurgicaux.

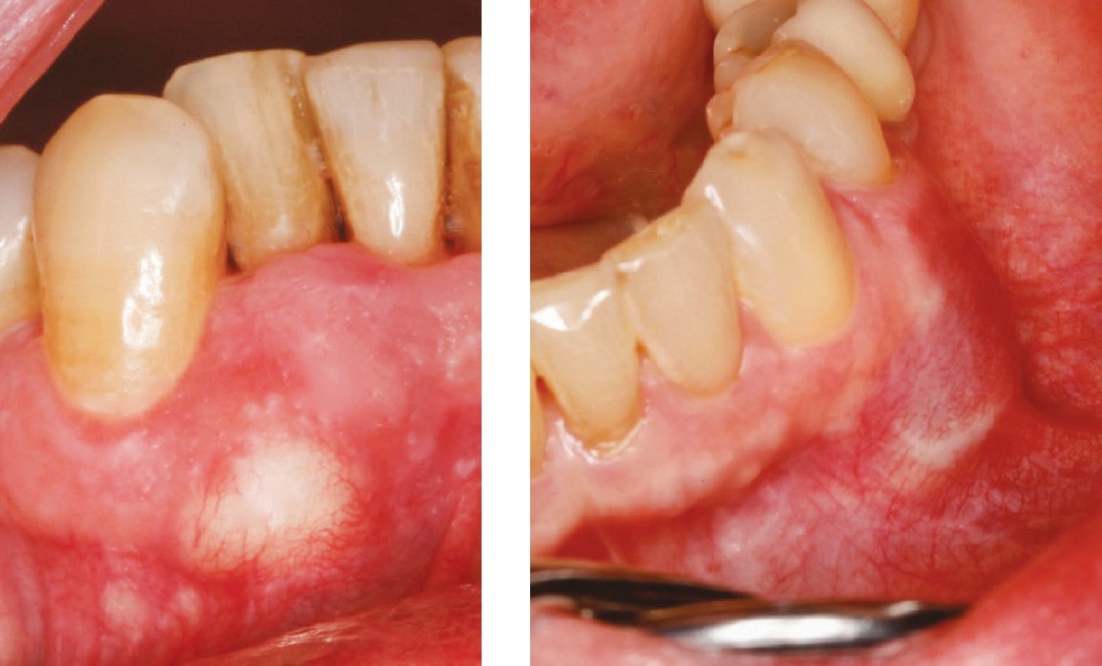
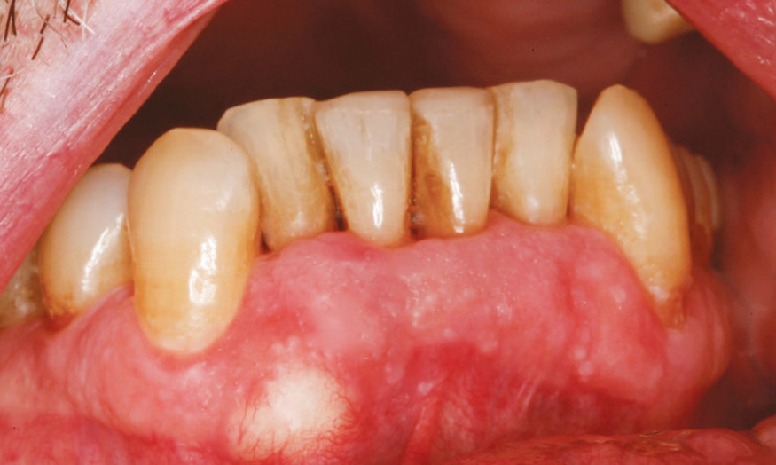
Examen clinique. La tuméfaction se traduisait par une masse jaunâtre, oblongue, de 10 x 7 mm, siégeant sur la limite inférieure de la fibromuqueuse ginigivale vestibulaire entre les racines de 42 et 43. Il n’y avait aucun signe inflammatoire d’accompagnement. La palpation de la tuméfaction, non douloureuse, révélait une collection liquidienne associée à une déhiscence osseuse s’étendant surtout vers le fond du vestibule ; la corticale osseuse autour de la déhiscence n’était pas soufflée.

Examens paracliniques. La radiographie panoramique montrait une volumineuse image kystique, bien limitée, polylobulée, entre les racines de 42 et 43, s’étendant de la crête alvéolaire au rebord basilaire. L’intervention chirurgicale a confirmé la nature kystique de la lésion. La paroi du kyste était bordée par un épithélium par endroits parakératosique et à surface ondulée ; l’assise basale était palissadique avec une face profonde rectiligne. La paroi conjonctive sous-jacente était le siège d’un dense infiltrat inflammatoire lymphocytaire. Il persistait focalement, attaché à l’épithélium de bordure, un peu du contenu du kyste représenté par des squames de kératine intriquées avec des polynucléaires. Cet aspect était assez caractéristique d’un kératokyste odontogène.

Synthèse. Les kératokystes odontogènes, qui se développent probablement à partir des débris épithéliaux de Serres issus de la lame dentaire, représentent environ…

Cet article est réservé aux abonnés.
Pour lire la suite :

Vous êtes abonné.e ? Connectez-vous
Mot de passe
oublié ?

Vous pouvez également :

Acheter l'article En version numérique
Acheter le numéro À l'unité

Thèmes abordés