L’apparition de l’instrumentation mécanisée à la fin des années 90 a probablement permis d’améliorer la qualité des traitements canalaires, même si cette hypothèse n’a jamais pu être démontrée.
Depuis la mise sur le marché des premiers instruments en 1996, les industriels n’ont eu de cesse de travailler sur deux points pour les améliorer : leur souplesse et leur résistance à la fracture.
C’est ainsi que plusieurs générations d’instruments ont vu le jour au fil des années. Ces évolutions ont porté essentiellement sur :
- le dessin des instruments – leur évolution a très vite été limitée par blocage des brevets ;
- le mouvement d’utilisation – on notera d’une part l’augmentation des vitesses de rotation (certains systèmes étant proposés avec une utilisation à 800 ou 1 000 tours par minute) et d’autre part l’apparition de la réciprocité qui a permis de diminuer le stress impliqué aux instruments ;
- la nature des alliages. Au début dans leur composition, et plus tard avec des traitements thermiques qui ont permis d’améliorer encore la souplesse lorsque l’évolution des « design » n’était plus possible (fig. 1).
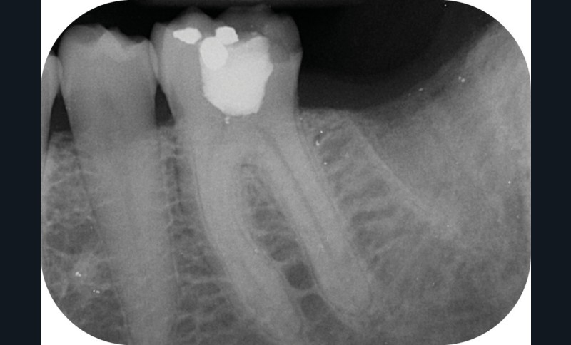
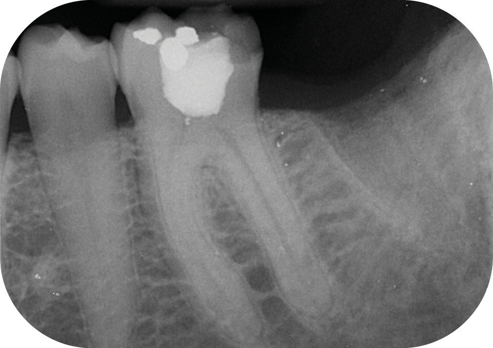
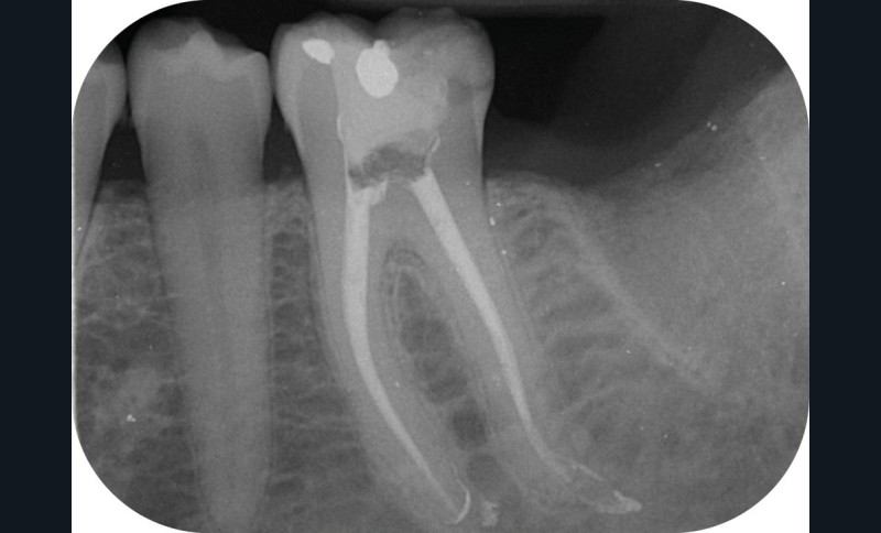
Au moment de la rédaction de ce document, dix-huit systèmes de mise en forme canalaire sont commercialisés sur le marché français. Toutes les publicités promeuvent des améliorations de l’efficacité, de la souplesse et surtout de la résistance à la fracture (fig. 2). Il faut reconnaître que même si ces systèmes sont très différents, les résultats obtenus sont finalement assez constants, et il faudrait des études très poussées pour démontrer la supériorité de l’un par rapport à l’autre (si tant est qu’il y en ait une !).
Parmi les reproches faits à ces systèmes de préparation canalaire, le risque de fracture est celui qui est le plus avancé. Et quelle frustration pour le praticien lorsqu’elle…


